In condizioni di campo, i problemi respiratori nei suini sono raramente causati da un singolo agente patogeno, la cosa normale è che più agenti patogeni agiscono contemporaneamente, il che sommato a condizioni gestionali ed ambientali inadeguate, danno origine al processo noto come Complesso Respiratorio Suino (CRP).
Nella maggior parte dei casi, sono sempre coinvolti i principali agenti primari che agiscono sul sistema respiratorio: il Virus della Sindrome Riproduttiva e Respiratoria Suina (PRRSV dall'inglese Porcine Reproductive and Respiratory Syndrome Virus), Circovirus Suino tipo 2 (PCV2, dall'inglese Porcine Circovirus type 2), virus Influenza Suina (SIV, dall'inglese Swine Influenza Virus) e Mycoplasma hyopneumoniae (figura 1), che sarà accompagnato da batteri opportunisti che sfruttano l'infezione primaria per sviluppare la loro azione patogena, come Pasteurella multocida, Bordetella bronchiseptica o Glaesserella parasuis, tra i vari.


Nella figura 1, possiamo apprezzare come il M. hyopneumoniae è l'agente che partecipa alla maggior parte delle co-infezioni riscontrate nel polmone di suini diagnosticati nei casi di CRP. Questo patogeno, che attacca le ciglia delle cellule dell'epitelio di bronchi e bronchioli, alterando l'apparato muco-ciliare, provoca anche l'iperplasia del tessuto linfoide associato alla mucosa respiratoria. Entrambe le azioni favoriscono la colonizzazione, proliferazione e meccanismi patogeni di altri agenti, sia primari che secondari, che agiscono sul sistema respiratorio del suino. In diversi studi sperimentali è stato possibile verificare che, oltre a favorire l'azione di altri patogeni, tende a potenziarla, così che le combinazioni in cui compare il M. hyopneumoniae, tendono ad essere quelle che hanno le peggiori conseguenze per i suini colpiti, e quindi, per la redditività dell'allevamento.
Una delle co-infezioni più frequenti negli allevamenti di suini nei casi di CRP è quella prodotta dal M. hyopneumoniae e dal PRRSV (figura 2). In quei casi in cui è stata diagnosticata questa co-infezione, è stata osservata una correlazione positiva tra i suini sieropositivi per ciascuno dei due agenti, ovvero la maggior parte dei suini positivi al PRRSV sono positivi anche al M. hyopneumoniae. Inoltre, è stato riscontrato che il M. hyopneumoniae prolunga ed aumenta la polmonite prodotta dal PRRSV, il che potrebbe essere dovuto al fatto che nei suini co-infettati con entrambi i patogeni, c'è un aumento delle citochine pro-infiammatorie, come IL1-β, IL-8 e TNF-α, che aumentano la reazione infiammatoria a livello polmonare, ma anche un aumento della sintesi di IL-10, che è una citochina antinfiammatoria che inibisce e modula la produzione di altre citochine e che permetterebbe di perpetuare il danno a livello polmonare prevenendo l'attivazione di una reazione infiammatoria incontrollata. IL-10 a sua volta è anche in grado di modulare la risposta immunitaria del suino, che insieme all'attivazione di altri meccanismi, altera la risposta immunitaria adattativa, consentendo al patogeno di continuare ad esercitare la sua azione a livello polmonare per un tempo più lungo.

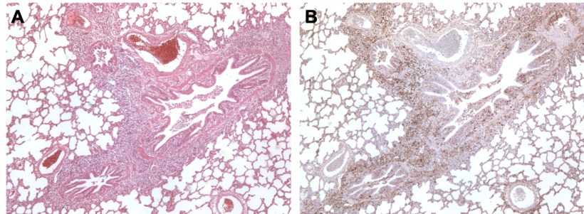
Nel caso della co-infezione da M. hyopneumoniae e da PCV2, è stato riscontrato che il M. hyopneumoniae potenzia la gravità delle lesioni prodotte dal PCV2 nel polmone e negli organi linfoidi, favorendo una maggiore replicazione del virus, nonché la sua persistenza nei tessuti (figura 3), aumentando così costituisce l'incidenza dei casi di circovirosi sistemica (nome che attualmente riceve il processo denominato PMWS, dall'inglese Postweaning Multisystemic Wasting Syndrome).

Nei suini co-infettati da M. hyopneumoniae e da SIV (figura 4), è stato osservato che quando i suini vengono infettati da un ceppo a bassa virulenza del virus dell'influenza suina dopo l'infezione da M. hyopneumoniae, si verifica un aumento significativo dei sintomi e delle lesioni polmonari, deducendo che il micoplasma è in grado di aumentare la virulenza di questi ceppi SIV.

Il M. hyopneumoniae, appare anch'esso frequentemente associato ad altri batteri, sia che siano agenti primari, come l'Actinobacillus pleuropneumoniae (figura 5), o altri agenti opportunisti, come la Pasteurella multocida (figura 6), potenziando l'azione di questi nel polmone.


Come abbiamo potuto vedere, quando il M. hyopneumoniae compare nelle co-infezioni insieme ad altri agenti primari del CRP, agisce potenziando e prolungando le lesioni causate da questi patogeni, quindi il loro controllo è essenziale per minimizzare gli effetti del CRP e ridurre le perdite economiche associate alla malattia.









