X
XLinkedinWhatsAppTelegramTelegram
0
Leggere questo articolo in:

Getahvirus: perdite riproduttive e mortalità perinatale nei suini in Cina ed in Asia

Dovremmo preoccuparci del virus Getah?... Ecco alcuni casi di come questo virus trasmesso dalle zanzare abbia causato problemi riproduttivi e mortalità perinatale in Cina...

Il Getahvirus (vGET), un alfavirus a RNA a filamento singolo, è stato isolato per la prima volta dalle zanzare in Malesia nel 1950. Le zanzare erano associate ad una piantagione di caucciù. Il virus ha preso il nome dalla parola indonesiana getah, che significa "gomma-cacciù" o linfa di lattice dell'albero della gomma. Nel 1978, un'epidemia di vGET in Giappone ha causato febbre, eruzioni cutanee e piedi gonfi nei cavalli da corsa. Il Getahvirus è molto diffuso in Asia e la sua incidenza è variabile, ma generalmente piuttosto bassa, anche se negli ultimi anni è aumentata.

Figura 1. Suinetto con febbre >40°C, incoordinazione, tremore, depressione e diarrea.
Figura 1. Suinetto con febbre >40°C, incoordinazione, tremore, depressione e diarrea.

Il nostro 1° caso osservato di malattia Getahvirale nei suini si è verificato in un allevamento di 2.000 scrofe nel nord della Cina all'inizio dell'autunno 2022. I singoli suinetti di più figliate presentavano febbre >40°C, incoordinazione, tremori, depressione, diarrea e morte (Figura 1) . Tutti i suinetti apparivano normali alla nascita. Circa la metà dei suinetti delle figliate colpite si è ammalata nei primi giorni di vita. La mortalità tra i suinetti colpiti in una figliata era quasi del 100% nonostante i trattamenti, mentre i suinetti non affetti nelle stesse figliate crescevano normalmente e apparivano sani. La mortalità in eccesso (al di sopra del normale previsto) era di circa 500 suinetti all'interno delle circa 100 figliate svezzate colpite. Non tutte le figliate sono state colpite ed i casi si sono limitati ad una sala parto. La malattia non sembrava essere contagiosa per i suinetti sani. L'autopsia ha rivelato polmoni di consistenza gommosa (polmonite interstiziale), linfonodi polmonari emorragici ingrossati ed encefalite fibrinoemorragica (Figura 2).

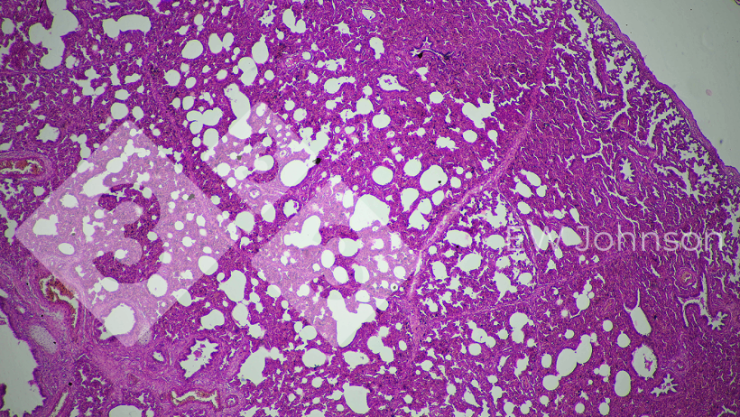
Figura 2. Polmoni dall'aspetto gommoso con linfonodi polmonari emorragici ingrossati.
Figura 2. Polmoni dall'aspetto gommoso con linfonodi polmonari emorragici ingrossati.

La PCR è risultata negativa per PRRS, pseudorabbia (PRV, Malattia di Aujeszky), circovirus suini PCV2 e PCV3, peste suina classica (PSC) e peste suina africana (PSA). L'allevamento era noto per essere indenne da PRRS, PRV, PSC e PSA prima di questo evento. La PCR per il Getahvirus nel polmone dei suinetti è risultata altamente positiva. L'istopatologia ha rivelato una grave polmonite interstiziale (Figura 3) e meningoencefalite fibrinoemorragica (Figura 4). È stata diagnosticata la malattia perinatale da Getahvirus. L'azienda è stata informata che questa malattia è trasmessa principalmente dalle zanzare e sono state applicate misure di controllo. Non ci sono stati ulteriori casi o segni clinici nell'allevamento e la produzione è tornata alla normalità.

Figura 3. La polmonite interstiziale suggerisce una possibile origine virale.
Figura 3. La polmonite interstiziale suggerisce una possibile origine virale.
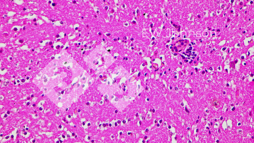
Figura 4. Encefalite cerebrale con vasculite, satellitosi e neuronofagia.
Figura 4. Encefalite cerebrale con vasculite, satellitosi e neuronofagia.

Nel settembre-ottobre 2022, si è verificato un 2° caso in un allevamento di 2.400 scrofe nella Cina centro-orientale. Inizialmente si pensava che l'aumento degli aborti che interessavano 2 dei loro 4 allevamenti fosse dovuto alla PRRS, sebbene lo stato dell'allevamento fosse positivo, ma stabile. L'aumento degli aborti è durato per diverse settimane, con un picco di alcune settimane con 20 figliate abortite alla settimana, la maggior parte tra i 70 e 110 giorni di gestazione (Figura 5).

Figura 5. Feti abortiti
Figura 5. Feti abortiti

Sono stati osservati anche alcuni ritorni irregolari in calore (fuori ciclo). Alcune scrofe hanno mostrato una lieve anoressia dopo uno o due giorni senza mangiare. La mortalità delle scrofe è stata bassa/nulla e insignificante. Non sono stati osservati altri segni significativi. La sindrome da aborto tardivo/parto prematuro ha reso il vPRRS il principale sospettato. La PCR per la PRRS era negativa e il test PCR ripetuto su feti abortiti e campioni di sangue delle scrofe era negativo per PRRS, PSC, PCV2, PCV3, PRV, PSC e PSA. La PCR nel liquido polmonare e toracico di feti abortiti e nel sangue di scrofe abortite è risultata altamente positiva per il Getahvirus mediante rt-PCR. Un'infezione da Getahvirus è stata diagnosticata come causa dell'aborto. L'allevamento ha segnalato una grande popolazione di zanzare Culicoides che pungevano le scrofe. Sono state prese misure correttive per controllare le zanzare ed il problema è stato risolto.

Un 3° caso si è verificato nel tardo autunno 2022, interessando un allevamento su larga scala di diverse migliaia di scrofe nella Cina centro-settentrionale, con un forte aumento degli aborti. Si temeva un'imminente "tempesta di aborti". L'allevamento ad alta igiene era negativo per PRV, PSA, PSA e PRRS. La PCR del liquido polmonare e del torace fetale è risultata fortemente positiva per Getahvirus e negativa per altre malattie endemiche e transfrontaliere, tra cui PRRS, PSC, PRV, PSA, PCV2 e PCV3. Non ci sono stati altri segnali significativi in ​​allevamento e gli aborti si sono interrotti con il controllo delle zanzare e delle mosche pungenti (biting fly) e con l'arrivo del freddo che ha preannunciato la fine della stagione degli artropodi volanti.

Dovremmo preoccuparci del Getahvirus?

Il 2022 ha segnato il nostro primo incontro con il Getahvirus. Un lavoratore del nostro laboratorio l'ha rilevato per la prima volta attraverso una scoperta fortuita individuando una "banda" sconosciuta su un gel PCR. Il sequenziamento di quella banda ha rivelato il DNA complementare del virus Getah, che è stato poi verificato nei campioni originali con primer appositamente progettati.

“La perseveranza è la madre della buona fortuna.” – Cervantes

Ci sentiamo fortunati che il nostro personale riconosca queste cose e si senta sicuro di esprimersi liberamente nel proprio lavoro.

“La libertà, Sancio, è uno dei doni più preziosi che il cielo ha fatto agli uomini..” - El Quijote

Il Getahvirus è stato precedentemente segnalato in cavalli, volpi, bovini e suini in Cina. In un recente studio condotto in Cina, il Getahvirus è stato rilevato nel 3% delle zanzare e nell'1% dei suini. Sono stati segnalati casi di sindrome riproduttiva virale e mortalità perinatale nei suini dovuti al Getahvirus, nonché un'incidenza piuttosto elevata (~50% dei suini) del virus e degli anticorpi contro di esso in alcune regioni e la sua completa assenza in altre. La malattia nei cavalli in Giappone è stata motivo di preoccupazione sufficiente per giustificare lo sviluppo di un vaccino morto per la sua prevenzione. Sono stati osservati un'elevata mortalità nelle volpi e febbre transitoria nei bovini dovuta a vGetah. Sono stati osservati casi umani con febbre e sieroconversione al virus, ma si ritiene che l'infezione sia generalmente asintomatica. Esistono 4 tipi principali di getahvirus, di cui il tipo III è il più importante oggi in Cina. Si ritiene che diversi generi di zanzare e "mosche pungenti-biting fly" siano in grado di diffondere il virus. Sperimentalmente, il virus può essere trasmesso per via oro-nasale utilizzando colture cellulari del virus, ma attualmente si ritiene che l'escrezione del virus sia bassa, quindi raramente è disponibile una dose infettiva per causare la trasmissione orizzontale da suino a suino. I casi in allevamento fino ad oggi supportano la teoria secondo cui gli artropodi sono il vettore principale del vGetah. La biosicurezza interna dell'allevamento e la casistica rendono improbabile che siringhe e aghi contaminati diffondessero la malattia in questi casi, ma sembra possibile che procedure improprie di prelievo del sangue e il riutilizzo degli aghi possano diventare un fattore di trasmissione, dal momento che è stata osservata un'elevata viremia nelle scrofe e suinetti infetti.

Nelle aree in cui è nota l'esistenza del vGetah (Cina e Asia), sarebbe conveniente includerlo nella diagnosi differenziale dei problemi riproduttivi e della mortalità perinatale, insieme ai "soliti sospettati", ovvero encefalite giapponese B, parvovirus suino, PRV, PRRS, PSC, PSA, PCV2/3, stress da caldo, maltrattamento, infertilità stagionale, ecc... e le loro interazioni. Gli allevamenti di suini si trovano spesso in aree isolate con un'elevata popolazione naturale di zanzare e "mosche pungenti-biting fly". Gli stagni di liquame e l'acqua stagnante intorno agli allevamenti possono favorire la proliferazione delle zanzare. L'encefalite B giapponese è un flavovirus trasmesso dalle zanzare che causa la sindrome riproduttiva virale nelle scrofette e nelle scrofe senza precedente contatto e può anche causare una grave degenerazione testicolare (orchite) nei verri. La maggior parte degli allevamenti di suini in Cina e in Asia vaccinano contro l'encefalite B giapponese e il parvovirus, quindi le loro serie conseguenze riproduttive sono generalmente evitate. Un vaccino trivalente contro Getahvirus, parvovirus e ceppi multipli di encefalite B giapponese potrebbe essere una necessità in futuro.

Commenti sull'articolo

Questo spazio non è dedicato alla consultazione agli autori degli articoli, ma uno spazio creato per essere un punto di incontro per discussioni per tutti gli utenti di 3tre3
Pubblica un nuovo commento

Per commentare ti devi registrare su 3tre3 ed essere connesso.

Non sei iscritto nella lista la web in 3 minuti

Un riassunto settimanale delle news di 3tre3.it

Fai il log in e spunta la lista

Articoli correlati

Prodotti associati al negozio on line

Il negozio specializzato in sunicoltura
Supporto e Servizio tecnico specializzato
Oltre 120 marchi e fabbricanti
Non sei iscritto nella lista la web in 3 minuti

Un riassunto settimanale delle news di 3tre3.it

Fai il log in e spunta la lista