El Getahvirus (vGET), un alfavirus de ARN monocatenario, se aisló por primera vez en mosquitos en Malasia en 1950. Los mosquitos estaban asociados a una plantación de caucho. El virus recibió su nombre de la palabra indonesa getah, que significa "goma", o la savia de látex del árbol del caucho. En 1978, un brote de vGET en Japón causó fiebre, erupciones cutáneas e inflamación en las patas en caballos de carreras. El Getahvirus está muy extendido en Asia y su incidencia es variable, pero en general bastante baja, aunque ha aumentado en los últimos años.

Figura 1. Lechón con fiebre >40° C, incoordinación, temblor, depresión y diarrea.

Nuestro primer caso observado de enfermedad getahviral en cerdos se produjo en una granja de reproductoras de dos mil cerdas en el norte de China a principios de otoño de 2022. Lechones individuales de varias camadas presentaron fiebre >40° C, incoordinación, temblores, depresión, diarrea y muerte (Figura 1). Todos los lechones parecían normales al nacer. Aproximadamente la mitad de los lechones de las camadas afectadas enfermaron en los primeros días de vida. La mortalidad entre los lechones afectados de una camada fue de casi del 100% a pesar de los tratamientos, mientras que los lechones no afectados de las mismas camadas crecieron con normalidad y parecían sanos. El exceso de mortalidad (por encima de lo normal esperado) fue de unos 500 lechones dentro de las aproximadamente 100 camadas destetadas afectadas. No todas las camadas se vieron afectadas y los casos se limitaron a una paridera. La enfermedad no parecía ser contagiosa para los lechones sanos. La necropsia reveló pulmones de consistencia gomosa (neumonía intersticial), linfonodos pulmonares hemorrágicos aumentados de tamaño y encefalitis fibrinohemorrágica (Figura 2).

Figura 2. Pulmones de aspecto gomoso con ganglios linfáticos pulmonares hemorrágicos agrandados.
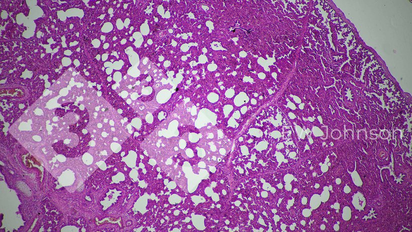
La PCR fue negativa a PRRS, pseudorabia (PRV, enfermedad de Aujeszky), circovirus porcinos PCV2 y PCV3, peste porcina clásica (PPC) y peste porcina africana (PPA). Se sabía que la granja estaba libre de PRRS, PRV, PPC y PPA antes de este evento. La PCR para Getahvirus en pulmón de lechón fue altamente positiva. La histopatología reveló neumonía intersticial grave (Figura 3) y meningoencefalitis fibrinohemorrágica (Figura 4). Se diagnosticó enfermedad perinatal por Getahvirus. Se informó a la granja de que esta enfermedad la transmiten principalmente los mosquitos y se aplicaron medidas de control. No se produjeron más casos ni signos clínicos en la granja y la producción volvió a su nivel normal.

Figura 3. La neumonía intersticial sugiere un posible origen vírico.

Figura 4. Encefalitis cerebral con vasculitis, satelitosis y neuronofagia.
En septiembre-octubre de 2022 se produjo un segundo caso en una granja de 2400 cerdas en el centro-este de China. Al principio se pensó que el aumento de abortos que afectó a 2 de sus 4 unidades de reproductoras se debía al PRRS, aunque el estado de la granja era positivo pero estable.El aumento de abortos duró varias semanas, alcanzando un máximo de unas 20 camadas abortadas por semana, la mayoría entre los 70 y 110 días de gestación (Figura 5).

Figura 5. Fetos abortados
También se observaron algunos retornos al celo irregulares. Algunas cerdas mostraron una leve anorexia con uno o dos días sin comer. La mortalidad de las cerdas fue baja/nula y no es destacable. No se observaron otros signos significativos. El síndrome de aborto tardío/parto prematuro hizo del vPRRS el principal sospechoso. La PCR para PRRS fue negativa, y las repetidas pruebas PCR de fetos abortados y de muestras de sangre de cerdas fueron negativas para PRRS, PPC, PCV2, PCV3, PRV, PPC y PPA. La PCR en pulmón y en fluido torácico de fetos abortados y de sangre de cerdas abortadas fue bastante positiva para Getahvirus por rt-PCR. Se diagnosticó una infección por Getahvirus como causante del aborto. La granja informó de la existencia de una gran población de mosquitos Culicoides que picaban a las cerdas. Se tomaron medidas correctivas para el control de los mosquitos y se resolvió el problema.
A finales de otoño de 2022 se produjo un tercer caso que afectó a una granja de reproductoras a gran escala de varios miles de cerdas en el centro-norte de China, con un fuerte repunte de los abortos. Se temía un inminente "tormenta de abortos". La granja de alta sanidad era negativa a PRV, PPA, PPC y PRRS. La PCR del líquido torácico fetal y de pulmón fue fuertemente positiva para Getahvirus y negativa para otras enfermedades endémicas y transfronterizas, incluyendo PRRS, PPC, PRV, PPA, PCV2 y PCV3. No se produjeron otros signos significativos en la granja y los abortos cesaron con el control de mosquitos y moscas picadoras y la llegada del frío que anunciaba el final de la temporada de artrópodos voladores.
¿Deberíamos preocuparnos por el Getahvirus?
El 2022 marcó nuestro primer encuentro con el Getahvirus. Un trabajador de nuestro laboratorio lo detectó al principio mediante un descubrimiento fortuito al detectar una banda desconocida en un gel de PCR. La secuenciación de esa banda reveló el ADN complementario del virus Getah, que luego se verificó en las muestras originales con primers diseñados adecuadamente.
“La diligencia es la madre de la buena fortuna.” – Cervantes
Nos sentimos afortunados de que nuestro personal identifique cosas así y se sientan con confianza para expresarse libremente en su trabajo.
“La libertad, Sancho, es uno de los más preciosos dones que a los hombres dieron los cielos.” - El Quijote
El Getahvirus se ha notificado anteriormente en caballos, zorros, bovinos y cerdos en China. En un estudio reciente realizado en China se detectó el Getahvirus en el 3% de los mosquitos y el 1% de los cerdos. Se han notificado casos de síndrome reproductivo viral y mortalidad perinatal en cerdos debidos al Getahvirus, así como una incidencia bastante elevada (~50% de los cerdos) del virus y de anticuerpos frente a él en algunas regiones y su ausencia total en otras. La enfermedad en caballos en Japón ha sido motivo suficiente de preocupación como para merecer el desarrollo de una vacuna muerta para su prevención. Se ha observado una elevada mortalidad en zorros y una fiebre transitoria en bovinos debida al vGetah. Se han observado casos en humanos con fiebre y seroconversión al virus, pero se cree que la infección es generalmente asintomática. Existen 4 tipos principales del getahvirus, de los cuales el tipo III es el más importante actualmente en China. Se cree que varios géneros diferentes de mosquitos y moscas picadoras pueden propagar el virus. Experimentalmente, el virus puede transmitirse por vía oro-nasal utilizando cultivos celulares del virus, pero actualmente se cree que la excreción del virus es escasa, por lo que rara vez se dispone de una dosis infecciosa para ocasionar transmisiones horizontales de cerdo a cerdo. Los casos en las granjas hasta ahora apoyan la teoría de que los artrópodos son el vector primario del vGetah. La bioseguridad interna de las granjas y el historial de los casos hacen improbable que jeringuillas y agujas contaminadas estuvieran propagando la enfermedad en estos casos, pero parece posible que los procedimientos inadecuados de extracción de sangre y la reutilización de agujas pudieran convertirse en un factor de transmisión, ya que se observó una elevada viremia en las cerdas y lechones infectados.
En las zonas donde se conoce la existencia del vGetah (China y Asia), sería conveniente incluirlo en el diagnóstico diferencial de los problemas reproductivos y de mortalidad perinatal, junto con los "sospechosos habituales", es decir, la encefalitis japonesa B, el parvovirus porcino, el PRV, el PRRS, la PPC, la PPA, el PCV2/3, el estrés térmico, mal manejo, la infertilidad estacional, etc., y sus interacciones. Las granjas de cerdos suelen estar situadas en zonas aisladas con elevadas poblaciones naturales de mosquitos y moscas picadoras. Las balsas de purín y el agua estancada alrededor de las granjas pueden favorecer la proliferación de mosquitos. La encefalitis B japonesa es un flavovirus transmitido por mosquitos que causa un síndrome reproductivo vírico en primerizas y cerdas sin exposición previa y también puede causar una grave degeneración testicular (orquitis) en los verracos. La mayoría de las granjas de cerdos de China y Asia vacunan contra la encefalitis B japonesa y el Parvovirus, por lo que en general se evitan sus graves secuelas reproductivas. Una vacuna trivalente contra Getahvirus, parvovirus y múltiples cepas de encefalitis B japonesa podría ser una necesidad en el futuro.







