Getahvirus (vGET), um alfavírus de RNA de fita simples, foi isolado pela primeira vez de mosquitos na Malásia em 1950. Os mosquitos foram associados a uma plantação de borracha. O nome do vírus vem da palavra indonésia getah, que significa “borracha”, ou a seiva de látex da seringueira. Em 1978, um surto de vGET no Japão causou febre, erupções cutâneas e patas inchadas em cavalos de corrida. O Getahvirus está disseminado na Ásia e sua incidência é variável, mas geralmente bastante baixa, embora tenha aumentado nos últimos anos.


Nosso primeiro caso observado de doença getahviral em suínos ocorreu em uma granja de 2.000 matrizes reprodutoras no norte da China no início do outono de 2022. Leitões de várias leitegadas apresentaram febre > 40°C, incoordenação, tremores, depressão, diarreia e morte (Figura 1) . Todos os leitões pareciam normais ao nascimento. Aproximadamente metade dos leitões das leitegadas afetadas adoeceu nos primeiros dias de vida. A mortalidade entre os leitões afetados em uma leitegada foi de quase 100%, apesar dos tratamentos, enquanto os leitões não afetados nas mesmas leitegadas cresceram normalmente e pareciam saudáveis. O excesso de mortalidade (acima do normal esperado) foi de cerca de 500 leitões em aproximadamente 100 leitegadas afetadas. Nem todas as leitegadas foram afetadas e o os casos foram limitados a uma maternidade. A doença não parecia ser contagiosa para leitões saudáveis. A necropsia revelou pulmões gomosos (pneumonia intersticial), linfonodos pulmonares hemorrágicos aumentados e encefalite fibrino-hemorrágica (Figura 2).

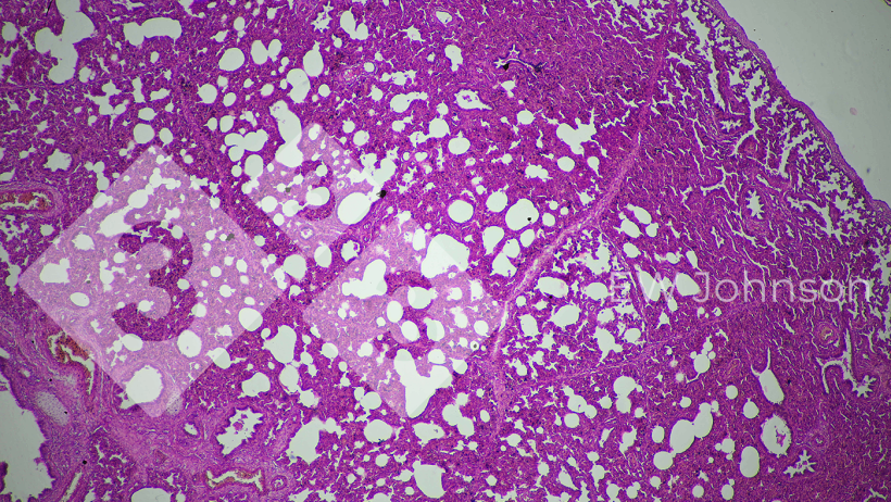
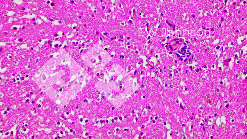
A PCR foi negativa para PRRS, pseudo-raiva (doença de Aujeszky), circovírus suíno PCV2 e PCV3, peste suína clássica (PSC) e peste suína africana (PSA). A granja era conhecida como livre de PRRS, Aujeszky, Circovirose e PSA antes deste evento. A PCR para Getahvirus em pulmão de leitão foi altamente positiva. A histopatologia revelou pneumonia intersticial grave (Figura 3) e meningoencefalite fibrino-hemorrágica (Figura 4). Foi diagnosticada doença perinatal por Getahvirus. A granja foi informada de que esta doença é transmitida principalmente por mosquitos e medidas de controle foram aplicadas. Não houve mais casos ou sinais clínicos na granja e a produção voltou ao normal.


Em setembro-outubro de 2022, ocorreu um segundo caso em uma granja de 2.400 matrizes no centro-leste da China. O aumento de abortos que afetaram 2 das suas 4 unidades de produção foi inicialmente pensado como sendo devido ao PRRS, embora o estado da granja fosse positivo mas estável. O aumento de abortos durou várias semanas, 20 leitegadas abortadas por semana, a maioria entre 70 e 110 dias de gestação (Figura 5).

Alguns retornos irregulares ao cio também foram observados. Algumas matrizes apresentaram leve anorexia após um ou dois dias sem comer. A mortalidade das fêmeas foi baixa/nula e normal. Não foram observados outros sinais significativos. A síndrome de aborto tardio/trabalho de parto prematuro fez do vPRRS o principal suspeito. A PCR para PRRS foi negativa, e o teste repetido de PCR de fetos abortados e amostras de sangue de porcas foi negativo para PRRS, PPC, PCV2, PCV3, PRV, PPC e PPA. A PCR no fluido pulmonar e torácico de fetos abortados e no sangue de matrizes abortadas foi altamente positiva para Getahvirus por rt-PCR. Uma infecção por Getahvirus foi diagnosticada como a causa do aborto. A granja relatou uma grande população de mosquitos Culicoídes picando as matrizes. Medidas corretivas foram tomadas para controlar os mosquitos e o problema foi resolvido.
Um terceiro caso ocorreu no final do outono de 2022, afetando uma granja de reprodução em larga escala de vários milhares de matrizes no centro-norte da China, com um aumento acentuado nos abortos. Temia-se uma iminente "tempestade de abortos espontâneos". A granja de alto status sanitário foi negativa para PRV, ASF, ASF e PRRS. A PCR do pulmão e fluido torácico fetal foi fortemente positiva para Getahvirus e negativa para outras doenças endêmicas e transfronteiriças, incluindo PRRS, Aujeszky PRV, PSA, PCV2 e PCV3. Não houve outros sinais significativos na granja e os abortos cessaram com o controle de mosquitos e moscas picadoras e a chegada do frio que marcou o fim da temporada de artrópodes voadores.
Devemos nos preocupar com o Getahvirus?
2022 marcou nosso primeiro encontro com o Getahvirus. Um trabalhador em nosso laboratório o detectou pela primeira vez por meio de uma descoberta fortuita ao identificar uma banda desconhecida em um gel de PCR. O sequenciamento dessa banda revelou o DNA complementar do vírus Getah, que foi então verificado nas amostras originais com primers adequadamente projetados.
"A diligência é a mãe da boa sorte." – Cervantes
Sentimo-nos afortunados por nossa equipe reconhecer essas coisas e se sentir confiante para se expressar livremente em seu trabalho.
"A liberdade, Sancho, é um dos dons mais preciosos que o céu deu aos homens." - Don Quixote
Getahvirus já havia sido relatado em cavalos, raposas, bovinos e suínos na China. Em um estudo recente realizado na China, o Getahvirus foi detectado em 3% dos mosquitos e 1% dos suínos. Casos de síndrome reprodutiva viral e mortalidade perinatal em suínos devido ao Getahvirus foram relatados, bem como uma incidência bastante alta (~ 50% dos suínos) do vírus e anticorpos contra ele em algumas regiões e sua completa ausência em outras. A doença em cavalos no Japão tem sido motivo de preocupação suficiente para justificar o desenvolvimento de uma vacina morta para sua prevenção. Alta mortalidade em raposas e febre transitória em bovinos devido a vGetah foram observadas. Casos humanos com febre e soroconversão para o vírus foram observados, mas acredita-se que a infecção seja geralmente assintomática. Existem 4 tipos principais de getahvirus, dos quais o tipo III é o mais importante na China hoje. Acredita-se que vários gêneros diferentes de mosquitos e moscas que picam sejam capazes de espalhar o vírus. Experimentalmente, o vírus pode ser transmitido pela via oro-nasal usando culturas de células do vírus, mas atualmente acredita-se que a excreção do vírus seja baixa, então uma dose infecciosa raramente está disponível para causar transmissão horizontal de suíno para suíno. Casos em granjas até o momento apoiam a teoria de que os artrópodes são o principal vetor do vGetah. A biossegurança interna da granja e os históricos de casos tornam improvável que seringas e agulhas contaminadas estivessem espalhando a doença nesses casos, mas parece possível que procedimentos inadequados de coleta de sangue e reutilização de agulhas possam se tornar um fator de transmissão, uma vez que uma alta viremia foi observada no matrizes e leitões infectados.
Em áreas onde se sabe da existência de vGetah (China e Ásia), seria conveniente incluí-lo no diagnóstico diferencial de problemas reprodutivos e mortalidade perinatal, juntamente com os "suspeitos habituais", ou seja, encefalite B japonesa, parvovirose suína, PRV, PRRS, CSF, ASF, PCV2/3, estresse por calor, manuseio inadequado, infertilidade sazonal, etc., e suas interações. As granjas de suínos geralmente estão localizadas em áreas isoladas com altas populações naturais de mosquitos e moscas picadoras. Lagoas lamacentas e água estagnada ao redor das granjas podem estimular a proliferação de mosquitos. A encefalite B japonesa é um flavovírus transmitido por mosquitos que causa a síndrome reprodutiva viral em marrãs e leitoas virgens e também pode causar degeneração testicular grave (orquite) em cachaços. A maioria das granjas de suínos na China e na Ásia vacinam contra a encefalite B japonesa e o parvovírus, de modo que suas graves sequelas reprodutivas são geralmente evitadas. Uma vacina trivalente contra Getahvirus, parvovirus e múltiplas cepas de encefalite B japonesa pode ser uma necessidade no futuro.






