La prolificità delle scrofe è aumentata considerevolmente negli ultimi anni e, di conseguenza, la disomogeneità delle figliate e il numero di suinetti con basso peso alla nascita. È stato dimostrato che i suinetti con basso peso alla nascita crescono più lentamente rispetto ai loro compagni con peso alla nascita normale. Questi suinetti, in particolare i maschi, hanno uno scarso sviluppo degli organi, una maggiore prevalenza di malattie e una mortalità più elevata. Nei suinetti lattanti e svezzati, l'integrazione con glutammina è stata associata ad un miglioramento della crescita e dello sviluppo intestinale.
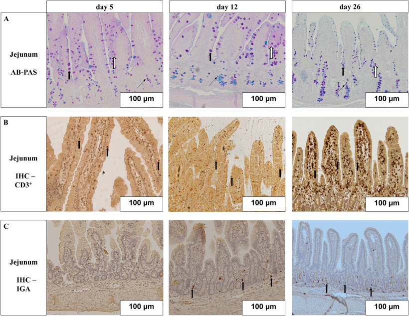
Metodi: Questo studio è stato progettato per esaminare gli effetti dell'integrazione orale di glutammina sulla crescita dell'intestino tenue e sui parametri di sviluppo nei suinetti lattanti con peso alla nascita basso e normale. Alla nascita (giorno 0), sono stati selezionati un totale di 72 suinetti maschi di basso peso alla nascita (1,10 ± 0,06 kg) e 72 di peso alla nascita normale (1,51 ± 0,06). Il giorno 1, le figliate furono standardizzate a 12 suinetti e ai suinetti sperimentali fu aggiunta quotidianamente glutammina (1 g/kg di peso corporeo) o quantità isotrogene di alanina come controllo (1,22 g/kg di peso corporeo fino al giorno 12). A 14 è stato offerto loro del mangime per i piccoli. Sottogruppi di suinetti sono stati soppressi nei giorni 5, 12 e 26 per analizzare la morfometria del digiuno, la proliferazione cellulare, la concentrazione di glutatione e l'abbondanza del trascritto delle proteine a giunzione stretta (transcript abundance of tight junction proteins).

Risultati: Dall'11° al 21° giorno di età, i suinetti con basso peso alla nascita trattati con glutammina pesavano più dei loro fratelli con basso peso alla nascita trattati con alanina, mentre i suinetti con peso alla nascita normale pesavano di più fino al 26° giorno di età rispetto ai loro compagni con basso peso alla nascita. L'altezza dei villi era maggiore nei suinetti di basso peso alla nascita trattati con glutammina rispetto ai suinetti di basso peso alla nascita trattati con alanina al 12° giorno di vita. Sono state rilevate differenze sporadiche tra i gruppi che assumevano integratori e quelli con peso alla nascita nella proliferazione delle cellule del digiuno, nella popolazione cellulare e nella concentrazione di glutatione, mentre l'età era il fattore più dominante.

Conclusione L'integrazione con glutammina ha migliorato la crescita dei suinetti LBW (basso peso alla nascita) rispetto ai suinetti LBW integrati con alanina oltre il completamento dell'integrazione con glutammina, ma ciò non è stato associato ad effetti coerenti sui parametri selezionati dallo sviluppo del digiuno.
Schregel J, Schulze Holthausen J, Sciascia QL, Görs S, Li Z, Tuchscherer A, Albrecht E, Zentek J, Metges CC. Acute and persistent effects of oral glutamine supplementation on growth, cellular proliferation, and tight junction protein transcript abundance in jejunal tissue of low and normal birthweight pre-weaning piglets. Plos one. 2024; 19(1): e0296427. https://doi.org/10.1371/journal.pone.0296427
