Introduction
Il s'agit d'un élevage commercial naisseur-engraisseur avec 350 truies en Irlande du Nord.

L'élevage est négatif en pneumonie enzootique (Mycoplasma hyodysenteriae), pleuropneumonie porcine (Actinobacillus pleuropneumoniae), grippe porcine et SDRP.
Le tableau 1 illustre le protocole de vaccination:
Tableau 1. Programme vaccinal
| Vaccin | Cochettes | Truies | Verrats | Porcelets |
|---|---|---|---|---|
| Parvovirus + Rouget + Leptospirose | 2 ml injectés au moment de la sélection et 2 semaines avant l'insémination | Injection de 2 ml 2 semaines avant l'insémination | Injection de 2 ml 2 fois par an | |
| Autovaccin (Streptococcus suis y Staphylococcus hyicus) | 2 ml 65 et 95 jours après l'insémination | 2 ml 95 jours après l'insémination |
Le cheptel de renouvellement est élevé sur l'élevage même. Les verrats sont utilisés pour la détection. Les nullipares et les truies sont saillies par insémination artificielle avec du sperme provenant d'un seul fournisseur.
L'élevage le plus proche est à 6 km.
Historique
L'éleveur a contacté le vétérinaire en raison d'une augmentation de la détresse respiratoire et de la mortalité chez les porcs d'engraissement au cours des 3 derniers jours.
Investigations
3.1. Investigation clinique
Lors d'une visite de l'élevage en novembre 2017, de nombreux porcs âgés de 18 à 24 semaines présentaient des signes cliniques de toux (photo 1 et vidéo 1) et de cyanose sur les parties les plus distales du corps. La mangeoire avec aliment humide n’était pas vide, ce qui indique un manque d’appétit. La température rectale de plusieurs animaux cliniquement affectés a été prise et il a été observé qu'ils étaient atteints de fièvre. L'état corporel des animaux était normal.

Figure 1. Porc qui tousse dans une case infirmerie. Remarque: la mangeoire de case infirmerie a de la farine ad libitum.
Vídéo 1. Porcs cliniquement malades avec toux.
Une deuxième visite 2 a été effectuée deux semaines plus tard pour prélever des échantillons de sang chez les truies et les charcutiers.
Avant l'épisode, la mortalité depuis le sevrage jusqu'à la fin de l'engraissement était de 3,5%, principalement en raison d'animaux euthanasiés à cause d'une hernie et / ou d'un prolapsus rectal.
3.2. Recherches de laboratoire
En novembre 2017, trois porcs ont été autopsiés à l'élevage (figure 2).

Figure 2. Porc en finition atteint de cyanose dans les parties inférieures et distales du corps.
Les trois porcs autopsiés présentaient de multiples pétéchies dans le parenchyme pulmonaire (figure 3). Des prélèvements ont été collectés et envoyés au laboratoire pour analyse.

Figure 3. Pétéchies multiples dans le parenchyme pulmonaire.
Le tableau 2 résume les examens de laboratoire sur les poumons.
Tableau 2. Résultats de laboratoire des 3 poumons reçus
| Résultats bactériologiques | Résultats biomoléculaires | |
|---|---|---|
| Poumon 1 | Absence de pousse | Négatif en Mycoplasma hyopneumoniae et SDRP par RT-PCR. Positif en virus influenza tipe A por RT-PCR (CT:18.1) sous-type H1N1. |
| Pulmón 2 | Absence de pousse | Négatif en Mycoplasma hyopneumoniae et SDRP par RT-PCR. Positif en virus influenza tipe A por RT-PCR (CT:26.9) sous-type H1N1. |
| Pulmón 3 | Absence de pousse | Négatif en Mycoplasma hyopneumoniae et SDRP par RT-PCR. Positif en virus influenza tipe A por RT-PCR (CT:31.5) sous-type H1N1. |
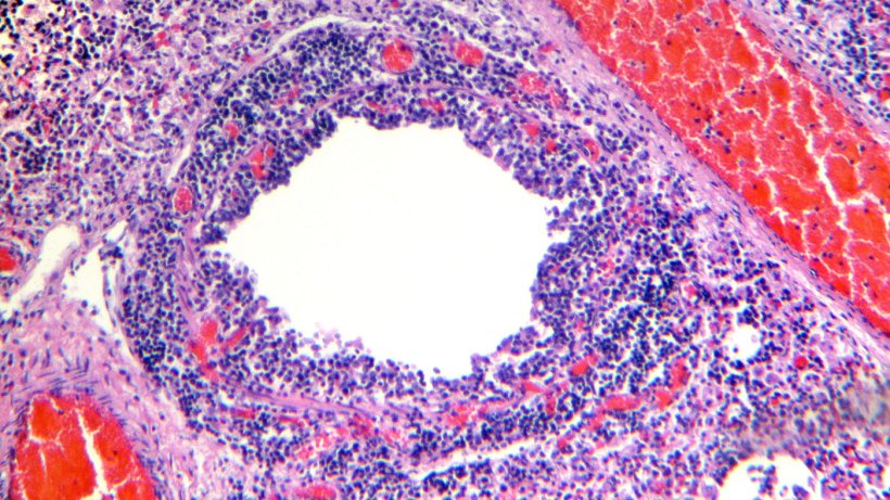
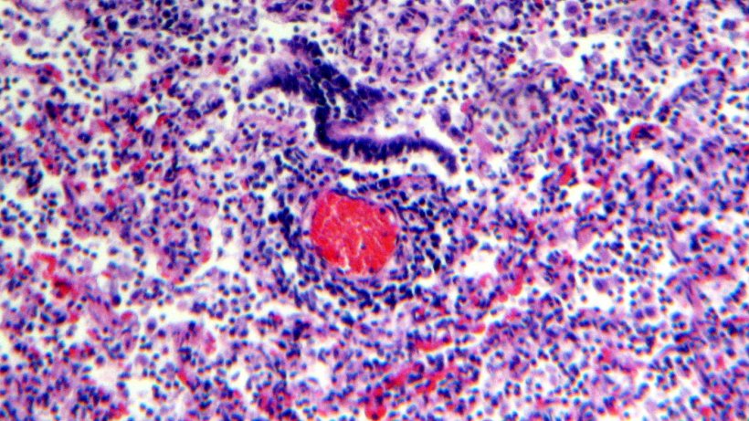
Examen histologique du tissu pulmonaire montrant une infiltration lymphocytaire de la lamina propria et de la sous-muqueuse bronchique (Figures 4 et 5).

Figure 4. Bronchiole montrant la desquamation et la nécrose de l'épithélium respiratoire, ainsi qu'une infiltration lymphocytaire marquée de la lamina propria et de la sous-muqueuse.

Figure 5. Infiltrat de lymphocytes périvasculaires.
Le tableau 3 résume les examens de laboratoire effectués sur les 14 échantillons de sang prélevés sur les truies et sur l'engraissement.
Tableau 3. Résultats de laboratoire sur les 14 échantillons de sang reçus.
| SDRP (ELISA) | Influenza A (ELISA) | Actinobacillus pleuropneumoniae (ELISA) | PCV-2 (ELISA) | Mycoplasma hyopneumoniae (ELISA) | |
|---|---|---|---|---|---|
| 3 porcs de 12 semaines avec symptômes respiratoires | 3 (-) | 2 (+) 1 (-) |
3 (-) | 3 (-) | 3 (-) |
| 2 porcs ayant récupéré | 2 (-) | 1 (+) 1 (-) |
2 (-) | 2 (-) | 2 (-) |
| 2 porcelets avec toux issus de truies différentes | 2 (-) | 2 (+) | 2 (-) | 2 (-) | 2 (-) |
| 7 truies | 7 (-) | 7 (+) | 7 (-) | 7 (-) | 7 (-) |
Les échantillons positifs pour la grippe A ont été analysés en cherchant les anticorps contre les sous-types H1N1, H3N2 et H1N2 et les sous-types pandémique panH1N1 et panH1N2. Des titres très élevés d'anticorps contre tous ces sous-types (≥320 à 2560) ont été détectés chez les animaux atteints, indiquant une infection récente.
4. Diagnostic différentiel
Sur la base des investigations cliniques et des recherches de laboratoire, la liste suivante pour le diagnostic différentiel a été préparée:
- SDRP (syndrome dysgénésique et respiratoire porcin).
- Virus influenza de type A (grippe).
- Pneumonie enzootique (Mycoplasma hyopneumoniae).
- Pleuropneumonie porcine (Actinobacillus pleuropneumoniae).
Sur la base des antécédents et de la cohérence des recherches cliniques et de laboratoire, le virus grippal de type A a été diagnostiqué.
5. Programme de contrôle
Le protocole d'urgence suivant pour la grippe a été mis en œuvre:
- Vaccination de masse de toutes les truies: deux fois, à intervalles de 3 semaines entre les injections.
- Les porcs ont été vaccinés au sevrage avec 2 ml d'un vaccin commercial contre la grippe dès le diagnostic de l'infection.
- Supplémentation de tous les aliments avec 85 ppm de tartrate de tylvalosine par tonne pendant 20 jours pour lutter contre les agents pathogènes respiratoires.
Une fois que toute la reproduction a été immunisée deux fois, les opérations suivantes ont été effectuées:
- Vaccination des nullipares: deux fois avant l'insémination, avec un intervalle de 3 semaines entre les injections.
- Les reproductrices ont reçu un rappel 14 jours avant la mise-bas (une dose).
Malheureusement, au moment de l'épidémie, les vaccins disponibles dans le pays ne couvraient pas les sous-types pandémiques panH1N1 et panH1N2. À titre de précaution, un vaccin couvrant les sous-types pandémiques a été introduit depuis septembre 2018.
6. Réponse au programme de contrôle
La mortalité a augmenté de 3,5% au début de l’épidémie à 11,5% au pic 4 semaines plus tard. La mortalité a progressivement été ramenée à la normale 10 semaines après le début de l'épidémie.
Le taux de conception est tombé de 94% à 86% pendant deux mois. Cela s'est traduit par une réduction du taux de mise-bas de 91% à 84% au cours de la même période. Il n'y a pas eu d'avortement.
7. Discussion
La grippe porcine est une maladie respiratoire infectieuse aiguë causée par le virus Influenza de type A. Cette maladie se caractérise par une apparition soudaine, la toux, la dyspnée, la fièvre et la prostration, suivies d'un rétablissement rapide. Les lésions se développent généralement rapidement dans les voies respiratoires et disparaissent rapidement, mais dans certains cas, une pneumonie virale grave peut entraîner la mort (Easterday et al., 1999). Tous ces signes cliniques ont été observés dans ce cas.
La grippe porcine est causée par le virus Influenza de type A, de la famille des Orthomyxoviridae. Il existe de nombreuses informations sur les caractéristiques antigéniques, génétiques, structurelles et biologiques des virus Influenza de type A (Murphy et al., 1990, Lamb et al., 1996). Les deux glycoprotéines de surface du virus, l'hémagglutinine (H) et la neuraminidase (N), sont les principaux antigènes permettant d'induire une immunité protectrice chez l'hôte et présentent donc les plus grandes variations.
La surveillance effectuée en Irlande du Nord entre 2011 et 2013 a montré que le principal sous-type isolé chez les porcs était H1N1 pandémique, suivi, moins fréquemment, par d'autres sous-types (H1N1, H3N2) (Borobia et al., 2015).
Les conditions météorologiques étaient favorables à la propagation du virus au moment de l’épidémie. Il y avait de l'humidité avec une température fluctuante au cours des 3 mois précédents et avec des périodes de vents forts. Il est probable que des êtres humains ou des étourneaux (figure 6) ont pu infecter des porcs par contact direct ou par infection aérogène en raison de la proximité d'autres élevages. Les deux options peuvent avoir eu lieu dans ce cas.

Figure 6. Etourneaux en contact direct avec les porcs, mangeant les restes d'aliments dans les mangeoires.
La morbidité de la grippe porcine est décrite comme élevée (prochede 100%) (Taylor, 1995, Easterday et al., 1999), comme on l'a vu dans ce cas. Taylor (1995) et Easterday et autres (1999) ont décrit un taux de mortalité inférieur à 1% sauf en cas d'infections concomitantes et / ou si les porcs sont très jeunes. Malheureusement, dans ce cas, la mortalité a dépassé 1%, comme décrit ci-dessus.
Différents auteurs ont décrit des problèmes de reproduction, de mises-bas et néonataux dans des cas de grippe porcine (Taylor, 1995, Muirhead et al., 1997, Easterday et al., 1999, Jackson et al., 2007). Dans ce cas, seuls des effets sur le taux de retours en chaleurs et le taux de mises-bas ont été observés.
L'utilisation du tartrate de tylvalosine dans l'aliment est basée sur les rapports des docteurs David Brown et Amanda Stuart du département de pathologie de l'Université de Cambridge. L'effet de cet antibiotique macrolide sur le SDRP a réduit le nombre de cellules infectées in vitro par rapport à un autre antibiotique macrolide, la tylosine. La tylvalosine a également réduit le nombre de cellules infectées par d'autres virus, notamment les virus de la grippe humaine et équine (Brown et al., 2006). De plus, la tylvalosine a une accumulation et une distribution intracellulaires par rapport aux autres macrolides (Stuart et al., 2007).










