Introduction
Inaba et al. (1983) ont été parmi les premiers auteurs à démontrer l'utilité de l'échographie en mode B dans le contrôle de la gestation chez les truies. Au cours des années suivantes, diverses études ont été menées dans lesquelles la supériorité de l'échographie a été démontrée à plusieurs reprises par rapport à d'autres méthodes de diagnostic telles que l'observation des retours ou les tests endocrinologiques.

Des travaux plus récents ont également confirmé la validité de l'échographie pour visualiser les structures ovariennes en période périovulatoire et dans le diagnostic des pathologies ovariennes.
Base, matériaux et utilisation des ultrasons
Il existe différents types de sondes sur le marché, qui diffèrent par leur forme, leur fréquence et leur type d'utilisation : en médecine vétérinaire, on utilise essentiellement des sondes linéaires et sectorielles.
La fréquence de 5 MHz est celle qui offre la plus grande polyvalence dans l'observation de l'appareil reproducteur des truies ; cependant, plusieurs études ont utilisé d'autres fréquences (3,5 MHz et 7,5 MHz) pour diagnostiquer la gestation et examiner l'ovaire.
Contrôle de gestation classique vs précoce
Une sonde avec une fréquence de 5 MHz peut déterminer la gestation à partir du jour 20-21, tandis qu'une sonde de 7,5 MHz ou un bon appareil à ultrasons avec une sonde électronique peut la détecter après 18 jours.
Le principal avantage du diagnostic précoce de gestation avec une sonde de 7,5 MHz est l'identification des truies non gestantes et, avec l'évaluation de l'état ovarien, permet à la truie à retour de reprendre la production plus tôt, évitant l'accumulation de jours non productifs; il permet également une évaluation individuelle du tractus urogénital pour rechercher des anomalies physiopathologiques, accélérant les décisions de traitement ou d'abattage.
Contrôle échographique de la puberté
L'utilisation de l'échographie dans l'évaluation de l'utérus et des ovaires s'est avérée être un outil valable pour diagnostiquer l'état pubertaire chez les nullipares.
La présence exclusive de petits follicules (2-5 mm de diamètre) en l'absence de corps jaunes est une constatation typique chez les nullipares prépubères. La taille de l'utérus peut également être utile pour déterminer l'état de maturation sexuelle de l'appareil reproducteur : Martinat Botté et al. (2003) ont été les premiers à évaluer la taille de l'utérus, définissant la « zone utérine » comme la zone qui comprend toutes les parties visibles de l'utérus dans l'image échographique.

Figure 1. Corps jaune.
Kauffold et al. (2004) ont également utilisé la taille de l'utérus pour évaluer l'état pubertaire, en mesurant la surface de la section transversale de l'utérus avec le diamètre le plus grand et le plus petit.
Selon ces paramètres, les cochettes avec une surface ≤1 cm2 sont considérées comme prépubères, tandis que celles avec une surface ≥ 1,2 cm2 sont considérées pubères.
Détermination du cycle ovarien par échographie
Dès le début des chaleurs et jusqu'à 24 heures avant l'ovulation, les follicules présentent un diamètre compris entre 7 et 9 mm, bien qu'il existe une grande variabilité individuelle (Soede et al., 1998).
Près de l'ovulation, les follicules préovulatoires passent d'une forme sphérique à une forme ovoïde/polygonale. Le processus ovulatoire peut durer plusieurs heures et des follicules pré-ovulatoires peuvent être observés avec des corps hémorragiques ; ces derniers sont clairement identifiables par leur aspect échogènique. L'ovulation est considérée comme terminée lorsque les différentes observations séquentielles montrent la disparition de tous les follicules pré-ovulatoires ou une diminution marquée du nombre de follicules pré-ovulatoires observés.

Figure 2. Follicules en ovulation.
Infertilité et cas pathologiques
Le diagnostic de kystes ovariens uniques ou multiples est relativement simple, bien que l'identification complète du type de kyste par échographie ne soit pas toujours certaine.
Concernant les structures utérines, la présence de liquide, non attribuable à la gestation, à la semence ou aux chaleurs, doit être considérée comme pathologique et indicative d'une inflammation exsudative de l'utérus. L'observation échographique de l'exsudat n'est possible qu'en cas d'inflammation aiguë.
En revanche, l'endométrite chronique, qui est le type d'inflammation le plus courant chez les truies, ne peut être diagnostiquée avec certitude par échographie.

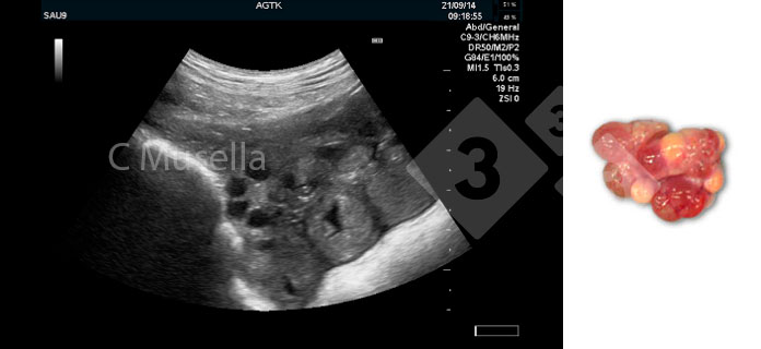
Figure 3. Ovaires polykystiques.
Conclusions
Ces dernières années, l'utilisation des ultrasons a été largement mise en œuvre dans les élevages porcins ; malgré cela, leur utilisation principale est limitée au diagnostic de gestation à partir de 21 jours post-IA.
D'autre part, avec une échographie de haute précision, il est possible d'explorer l'état du système reproducteur, en particulier celui des ovaires et de l'utérus, fournissant une aide valable au vétérinaire de l' élevage et à l'éleveur dans le diagnostic des problèmes de reproduction et dans le amélioration des performances de l'élevage.









