X
XLinkedinWhatsAppTelegramTelegram
0
1
Lire cet article dans:

Cas clinique : boiteries anormales chez les porcelets sous la mère

En mars 2021, un pourcentage élevé de boiteries sévères est apparu chez les porcelets de 12/17 jours, sur environ 20% des porcelets présents

Description de l'élevage

L'élevage est une installation conventionnelle à cycle ouvert (naissage et sevrage) située dans le Piémont dans une zone à forte densité porcine. L'élevage le plus proche est à environ 500 mètres.

L'élevage se compose d'environ 300 truies de génétique danoise inséminées avec des mâles de génétique Talent organisées en bandes de 35 jours ; les porcelets sont sevrés à 26 jours avec un poids moyen d'environ 6 kg. La moyenne des naissances vivantes est de 14,3 porcelets par mise-bas, 12,3 sevrés avec une mortalité de 13,9% en salle de mise-bas. Les principales causes de mortalité sont celles liées au faible poids à la naissance de certains porcelets, les problèmes entériques sporadiques et les streptocoques. 25 % de la production reste jusqu'à 30 kg dans le même site 1 et 75 % sont transférés sur le site 2 au sevrage.

Les cochettes de remplacement arrivent 4 fois par an d'un élevage négatif SDRPv avec un bon état sanitaire, un noyau GP appartenant au même producteur.

Dès leur entrée, elles sont hébergées dans une salle de quarantaine pendant 90 jours pendant lesquels sont effectués les vaccinations et l'acclimatation.

Le plan de vaccination des reproducteurs comprend la vaccination contre la maladie d'Aujeszky, le SDRP, la grippe, le PCV2, les mycoplasmes, E. coli, les clostridies, la rhinite atrophique, la pleuropneumonie, la maladie de Glasser, le rouget et le parvovirus. Les porcelets sont vaccinés à 21 jours contre le SDRPv, le PCV2 et Mycoplasma.

Pour le suivi, l'analyse des fluides de traitement (testicules) est effectuée sur chaque bande pour effectuer l'analyse du SDRPv par RT-PCR et l'élevage n'est pas stable.

Les truies sont logées dans des cages de gestation pour la stimulation des chaleurs et l'insémination, suivie d'une phase de récupération de l'état corporel ; elles sont ensuite transférées en gestation en groupe, avec des enclos de 6/12 animaux, et ne sont nourries qu'une fois par jour pour réduire les conflits au sein du groupe.

Les salles de maternité sont traditionnelles : enclos individuel avec la truie en cage pendant toute la période de lactation, sol en caillebotis adapté aux porcelets et sol en dur dans la zone de nid. La température dans la pièce est maintenue autour de 24 degrés et dans le nid à 29 degrés avec des lampes infrarouges pendant les 10 premiers jours de la vie des porcelets. Entre le troisième et le cinquième jour de vie, ils sont traités avec du fer et du toltrazuril et en même temps, une caudectomie et une castration sont effectuées. Les truies sont amenées à la salle de mise bas cinq jours avant la mise bas, où elles sont nourries trois fois par jour et ont beaucoup d'eau à disposition.

Alimentation

Le producteur possède une usine d'aliments pour animaux où il produit des aliments en achetant des matières premières et un noyau de vitamines et de minéraux.

Les matières premières sont contrôlées pour caractériser les nutriments et les mycotoxines les plus courants. En plus d'apporter un complément minéral, le noyau contient un bon niveau de vitamines B, E (110 mg) et de polyphénols à fonction antioxydante.

Les oligo-éléments sont partiellement apportés sous forme organique et la valeur des hépatoprotecteurs choline et bétaïne est assez élevée.

Les aliments sont à base de maïs et de soja mais comprennent également des niveaux élevés d'orge et de pulpe pour atteindre, grâce également à la bonne quantité de son, des niveaux importants de fibres fonctionnelles ; en particulier, cela se produit en phase antepartum grâce à l'utilisation d'un aliment spécifique.

Trois aliments sont utilisés pour les truies : lactation, gestation et prépartum.

Formule / analyse

Type d'aliment : gestation
Ingrédient Quantité %
Maïs 30,00
Soja 48 10,00
Son 26,00
Orge 20,00
Huile de Soja 1,00
Balle de riz 5,00
Pulpe 3,00
Premix 5,00
Total 100,00
Caractéristiques analytiques
Protéine brute 13,80%
Graisse brute 4,50%
Fibre brute 6,10%
Cendres 6,10%
Energíie digestible 2.995
Calcium 0,90%
Phosphore 0,70%
Lysine totale 0,65%
Type d'aliment : lactation plus
Ingrédient Quantité %
Maïs 30,00
Soja 48 18,00
Son 15,00
Orge 15,00
Huile de Soja 1,50
Pulpe 3,00
Prémix énergétique 8,00
Graisse de porc 1,50
Balle de riz 3,00
Prémix 5,00
Total 100,00
Caractéristiques analytiques
Protéine brute 16,20%
Graisse brute 6,50%
Fibre brute 4,80%
Cendres 5,90%
Energie digestible 3.290
Calcium 0,95%
Phosphore 0,70%
Lysine totale 1,00%
Type d'aliment : Truie prépartum light
Ingrédient Quantité %
Maïs 16,00
Soja 48 7,00
Son 22,50
Orge 34,00
Prémix énergétique 7,00
Pulpe 9,00
Huile de Soja 0,50
Prémix 4,00
Total 100,00
Caractéristiques analytiques
Protéine brute 13,10%
Graisse brute 3,60%
Fibre brute 6,20%
Cendres 5,30%
Energie digestible 2.985
Calcium 0,80%
Phosphore 0,60%
Lysine totale 0,75%

Description du problème

En mars 2021, un pourcentage élevé de boiteries sévères est apparu chez des porcelets de 12/17 jours - environ 20 % des animaux - avec une atteinte prédominante de la partie distale du membre, un œdème sévère de la bande coronaire et de la sole et, dans certains cas, étendu à l'ensemble du sabot : ils ont été traités avec des antibiotiques (amoxicilline) et un spray topique de chlortétracycline avec une bonne réponse et une rémission de l'infection. Cependant, dans des cas spécifiques, les tissus étaient tellement compromis qu'ils ont causé la perte du sabot.

Figure 1. Inflammation de la bande coronaire  

Figure 1. Inflammation de la bande coronaire  

Figure 2. Lésion plantaire chez un porcelet de 15 jours.

Figure 2. Lésion plantaire chez un porcelet de 15 jours.

Figure 3. Perte du sabot chez un porcelet de 15 jours.

Figure 3. Perte du sabot chez un porcelet de 15 jours.

La première hypothèse diagnostique était liée à des causes mécaniques et environnementales, suggérant l'apparition de plaies compliquées par des agents pathogènes ; les animaux ont ensuite été surveillés pour rechercher des preuves supplémentaires. Parallèlement, l'utilisation de poudres desséchantes lors de la mise-bas a été introduite.

En intensifiant les observations sur les bandes postérieures, des lésions nécrotiques et inflammatoires indépendantes ont été observées chez les nouveau-nés touchant le coussinet plantaire, la bande coronaire, dans certains cas le nombril, la queue et les tétines.

L'ensemble des lésions, également apparues très précocement, nous a conduit à écarter les causes mécaniques directes et primaires et à suspecter une origine endogène.
Par conséquent, on a soupçonné qu'il s'agissait d'un cas du syndrome SINS récemment identifié (Swine Inflammation and Necrosis Syndrome ou syndrome d'inflammation et de nécrose du porc).

Description du syndrome

Le SINS (Swine Inflammation and Necrosis Syndrome, décrit par G. Reiner et al., 2021) est un syndrome caractérisé par une inflammation et une nécrose, notamment des tissus plus périphériques, à la suite de lésions de la microcirculation (hyperémie et/ou vasoconstriction, œdème, thrombus, prolifération de l'intima, infiltration de granulocytes et de macrophages).

Le syndrome est déclenché par l'activation du système immunitaire et de la cascade inflammatoire et par de nombreuses causes concomitantes qui vont des situations de stress environnemental (thermorégulation) et psychologique (concurrence), de la qualité de l'aliment, de l'eau et de l'air ou des infections. Tout cela peut impliquer la libération dans la circulation sanguine de diverses molécules pro-inflammatoires (endotoxines, mycotoxines, lipopolysaccharides, motifs moléculaires associés aux microbes - MAMP) à la fois de l'organisme lui-même et du microbiote intestinal lorsqu'elles sont capables de franchir la barrière intestinale et la capacité de détoxification du foie.

Les lésions compromettent le bien-être de l'animal et le syndrome a été mis en relation avec la qualité de la truie. Des signes de SINS peuvent également être observés au sevrage et à l'engraissement. (Reiner et al., 2020).

La prédisposition génétique parmi les facteurs prédisposant à la vulnérabilité à ce syndrome est étudiée (Reiner et al., 2021)

Recherches ultérieures

1- Des porcelets ont été examinés au troisième jour de vie de 29 portées en référence à l'étude clinique présentée par G. Reiner et al. pour identifier la prévalence des lésions (Reiner et al., 2019).

Sur 403 porcelets évalués (sans évaluation du grade spécifique), tous présentaient des lésions localisées sur une ou plusieurs zones à la fois dont :

  • 399 (99,1%) sur le coussinet plantaire et la bande coronaire
  • 250 (62,03 %) sur les joues
  • 50 (12,41 %) à la base des oreilles
  • 17 (4,22%) sur la queue
  • 255 (63,28%) au nombril
  • 44 (10,92 %) sur les tétines.
Figure 4. Lésions du nombril et des tétons.

 

Figure 4. Lésions du nombril et des tétons.

 

Figure 5. Lésions à la base des oreilles.

 

Figure 5. Lésions à la base des oreilles.

 

Figure 6. Lésions du pied (coussinet plantaire et bande coronaire) à l'âge de 4 jours.

Figure 6. Lésions du pied (coussinet plantaire et bande coronaire) à l'âge de 4 jours.

 Figure 7. Lésion sur la queue

 Figure 7. Lésion sur la queue

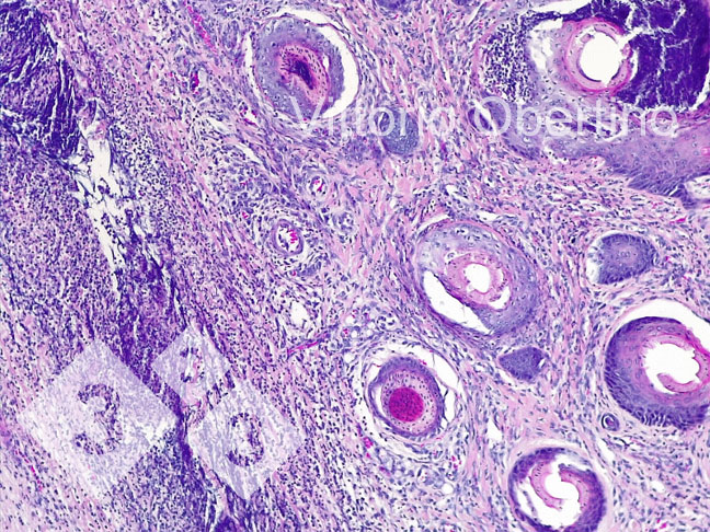
2- Des échantillons de tissus ont été envoyés à l'Université de Turin pour vérifier que les lésions étaient histologiquement compatibles avec les images décrites dans la littérature (Kuehling et al. 2020).

Figure 8. Nombril. Zone dermique localement étendue constituée de fibroplasie avec fibroblastes activés et de nombreux petits vaisseaux immatures (tissu de granulation nouvellement formé), infiltrat inflammatoire multifocal avec une prédominance de cellules lymphoplasmacellulaires ; dans certaines structures vasculaires, il existe un infiltrat inflammatoire granulocytaire qui entoure la paroi vasculaire et l'infiltre focalement (vascularite leucotarienne).

Figure 8. Nombril. Zone dermique localement étendue constituée de fibroplasie avec fibroblastes activés et de nombreux petits vaisseaux immatures (tissu de granulation nouvellement formé), infiltrat inflammatoire multifocal avec une prédominance de cellules lymphoplasmacellulaires ; dans certaines structures vasculaires, il existe un infiltrat inflammatoire granulocytaire qui entoure la paroi vasculaire et l'infiltre focalement (vascularite leucotarienne).

Figure 9. Peau. Érosion épithéliale focale dans laquelle la couche superficielle est remplacée par un matériel éosinophile amorphe à granulaire abondant avec des débris cariorectiques (nécrose) et des granulocytes neutrophiles dégénérés et viables abondants. Multifocalement, l'épithélium apparaît modérément à fortement hyperplasique avec une hyperkératose orthokératosique modérée à sévère. Il existe également une présence multifocale de croûtes. Le derme apparaît diffus et modérément fibreux.

Figure 9. Peau. Érosion épithéliale focale dans laquelle la couche superficielle est remplacée par un matériel éosinophile amorphe à granulaire abondant avec des débris cariorectiques (nécrose) et des granulocytes neutrophiles dégénérés et viables abondants. Multifocalement, l'épithélium apparaît modérément à fortement hyperplasique avec une hyperkératose orthokératosique modérée à sévère. Il existe également une présence multifocale de croûtes. Le derme apparaît diffus et modérément fibreux.

3- Des contrôles de l'aliment ont été effectués qui n'ont pas révélé d'écarts significatifs dans les paramètres nutritionnels. La surveillance des mycotoxines a trouvé des valeurs très faibles, seuls les niveaux d'alcaloïdes de l'ergot de seigle ont montré des niveaux d'importance possible. Des niveaux étrangement élevés de phytoestrogènes ont été observés, mais l'origine et la signification doivent encore être explorées.

Figure 10. Test mycotoxines

Figure 10. Test mycotoxines

4- La présence de coprostase a été observée chez les truies en salle de mise-bas et de gestation.

5- La présence d'altérations cutanées et d'œdèmes au niveau mammaire a été détectée sporadiquement chez les truies en mise bas.

Figure 11. Lésion mammaire chez une truie allaitante.

Figure 11. Lésion mammaire chez une truie allaitante.

Mesures correctives

  • Un additif à large spectre, à base d'agents de capture et d'enzymes, a été introduit dans l'aliment.
  • Le taux de fibres a été légèrement augmenté et, surtout, sa structure a été modifiée en substituant le son par du son à feuilles larges
  • Un système de désinfection au peroxyde pour l'eau potable a été mis en place.
  • De la paille a été administrée quotidiennement (100 g par tête et par jour) pendant la phase de gestation.

Conclusion

En résumé, au vu des éléments collectés :

  • La présence de lésions cliniques et le tableau histologique.
  • Lésions mammaires et coprostase observées chez les truies.

La suspicion d'un cas de syndrome d'inflammation et de nécrose porcine est confirmée.

L'efficacité des mesures correctives adoptées sera évaluée au cours des prochains mois.

Remerciements

  • Merci à l'Université de Turin en la personne du Dr Raffaella Demaria du Département des Sciences Vétérinaires.
  • Merci à la société Allevamenti 1910 Andorno pour leur constante collaboration.
  • Merci au Dr Ettore Bosco pour son suivi au niveau du terrain

Commentaires de l'article

Cet espace n'est pas destiné a être une zone de consultation des auteurs mais c'est un lieu de discussionouverts à tous les utilisateurs de 3trois3.
Publier un nouveau commentaire

Pour commenter, vous devez être utilisateur de 3trois3 et vous connecter

Vous n'êtes pas inscrit à la liste Dernière heure

Dernières nouvelles de la filière porcine

Connectez-vous et inscrivez-vous à la liste

Produits liés dans la boutique

La boutique spécialiste en élevage porcin
Conseil et service technique
Plus de 120 marques et fabricants
Vous n'êtes pas inscrit à la liste La newsletter de 3trois3

Un résumé tous les 15 jours des nouveautés de 3trois3.com

Connectez-vous et inscrivez-vous à la liste