
Efecto del entorno en el desarrollo del sistema inmunitario de los lechones
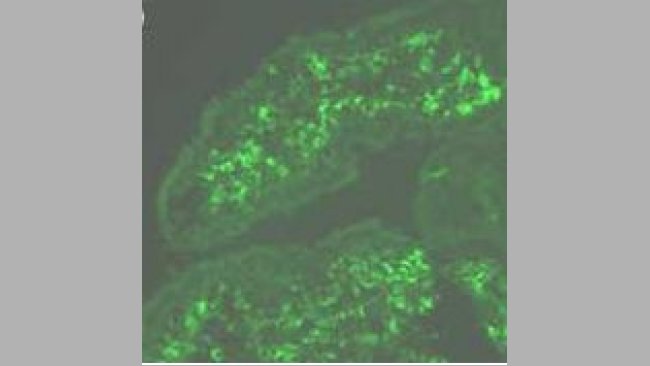
Para explicar parte de la diarrea post-destete se ha estudiado el desarrollo del sistema inmunitario intestinal.
Noticias, eventos y reportajes de actualidad del sector porcino
Los eventos del sector porcino que se organizan en todo el mundo
Un resumen semanal de las novedades de 3tres3 Latam
Boletín de noticias sobre el mundo del porcino
La salud de los cerdos: noticias y artículos sobre PRRS, PCV2, bioseguridad, etc., guía de enfermedades del cerdo, atlas de patología, casos clínicos...
Cómo realizar una necropsia en un cerdo, paso a paso, de una forma muy visual y práctica.
Biocheck.UGent es un sistema de puntuación científico independiente, basado en riesgos, para evaluar la calidad de su bioseguridad en la granja.
Toda la información sobre la PPA
Descripción de las enfermedades y afecciones más importantes en cerdos
Lesiones y signos de las principales enfermedades del cerdo
Herramienta para diagnosticar enfermedades del cerdo
Un diccionario sobre terminología específica de la porcicultura
Calcula la cantidad de medicamento a incorporar en el agua cuando usamos un dosificador de flujo
Un resumen semanal de las novedades de 3tres3 Latam
Precios del cerdo por países. Producción y comercio de carne de cerdo. Noticias del mercado porcino y las materias primas
Últimas cotizaciones de los mercados mundiales más importantes del cerdo. Históricos de precios en diversas monedas y en formato gráfico.
Últimas cotizaciones de las principales materias primas para alimentación de cerdos. Históricos, precios del cerdo y estimación del precio del alimento.
Datos de censos, producción de carne de cerdo, número de granjas, etc.
Datos de producción y comercio mundial de las principales materias primas utilizadas en la alimentación de cerdos
Un resumen semanal de las novedades de 3tres3 Latam
Artículos sobre nutrición y alimentación de cerdos, características de las materias primas y aditivos para porcinos y precios de las materias primas
Últimas cotizaciones de las principales materias primas para alimentación de cerdos. Históricos, precios del cerdo y estimación del precio del alimento.
Datos de producción y comercio mundial de las principales materias primas utilizadas en la alimentación de cerdos
Fichas técnicas de las principales materias primas y aditivos. Incluyen información de valores nutricionales, producción y comercio, estudios recientes, ...
Un diccionario sobre terminología específica de la porcicultura
Utiliza esta herramienta para diagnosticar problemas con el índice de conversión. Haz click en el diagrama de flujo o en los botones dentro del texto para navegar por las distintas partes de la herramienta.
Un resumen semanal de las novedades de 3tres3 Latam
Artículos sobre genética y reproducción en cerdos: selección genética, genómica, inseminación artificial, uso de hormonas...
Compara los datos productivos, calcula el número de plazas para cerdas, transición y cebo y visualiza tus tareas sobre el calendario según cada tipo de MEB.
Calcula las entradas de cerdas necesarias en una granja activa, una granja que inicia la actividad o una granja que amplía
Herramienta para comparar los datos reproductivos de tu granja con la base de datos BDporc y ver la evolución de los parámetros reproductivos de BDporc
Un diccionario sobre terminología específica de la porcicultura
Utiliza esta herramienta para investigar porque tu tasa de partos es inferior a la ideal. Da click en el diagrama de flujo o en los botones dentro del texto para navegar por las distintas partes de la herramienta.
Un resumen semanal de las novedades de 3tres3 Latam
Manejo y gestión de las granjas porcícolas y organización del trabajo en cada una de las fases de producción.
Compara los datos productivos, calcula el número de plazas para cerdas, transición y cebo y visualiza tus tareas sobre el calendario según cada tipo de MEB.
Calcula las entradas de cerdas necesarias en una granja activa, una granja que inicia la actividad o una granja que amplía
Herramienta para comparar los datos reproductivos de tu granja con la base de datos BDporc y ver la evolución de los parámetros reproductivos de BDporc
Aquí puedes comparar diversos objetos o juguetes usados como material de enriquecimiento para prevenir el estrés y las mordeduras de cola en cerdos.
Un diccionario sobre terminología específica de la porcicultura
Un resumen semanal de las novedades de 3tres3 Latam
Información sobre el diseño de instalaciones para granjas porcícolas, equipos y materiales para granjas y una herramienta para compararlos
Biocheck.UGent es un sistema de puntuación científico independiente, basado en riesgos, para evaluar la calidad de su bioseguridad en la granja.
Calculadora de la Huella Ambiental a lo largo de la cadena de valor del sector porcino
¿Qué comedero se adapta mejor a mis necesidades? Aquí puedes comparar las características de diversos tipos de comederos comerciales.
¿Qué bebedero se adapta mejor a mis necesidades? Aquí puedes comparar las características de diversos bebederos comerciales.
Un diccionario sobre terminología específica de la porcicultura
Utiliza esta herramienta para investigar que estrategia de gestión de excretas se adapta mejor a tu situación. Da click en el diagrama de flujo o en los botones dentro del texto para navegar por las distintas partes de la herramienta.
Un resumen semanal de las novedades de 3tres3 Latam
Aquí encontrarás los autores especialistas en porcino que colaboran en 3tres3.com con información de su curriculum

Para explicar parte de la diarrea post-destete se ha estudiado el desarrollo del sistema inmunitario intestinal.
Un resumen semanal de las novedades de 3tres3 Latam
Accede y apúntate a la lista
Bienvenido a 3tres3
Conecta, comparte y relaciónate con la mayor comunidad de profesionales del sector porcino.
¡Ya somos 202404 Usuarios!
Regístrate¿Ya eres miembro?




