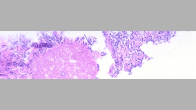
Se realizó un estudio transversal en 70 explotaciones porcinas polacas de ciclo cerrado. Para cada explotación se determinó la presencia de patógenos intestinales seleccionados (Escherichia coli, Clostridium perfringens y Salmonella) en heces de lechones lactantes mediante métodos bacteriológicos y PCR. Utilizando modelos de regresión logística, se establecieron factores de riesgo para E. coli enterotoxigénico con fímbrias F4 (ETEC-F4) y C perfringens tipo A.
La prevalencia de los enteropatógenos bacterianos en las explotaciones investigadas fue la siguiente (a nivel de explotación y de muestra): ETEC-F4 30,0% y 9,3%, respectivamente, C perfringens tipo A 91,4% y 58,3%, C perfringens tipo C 1,4% y 0,3%, Salmonella 2,9% y 0,5%. La presencia de ETEC-F4 se asoció con presencia de diarrea en lechones y descarga vulvar en cerdas. También la descarga vulval en las cerdas, pero no el tipo de suelo con slat en las salas de parto y la falta de prevención frente a les coccidiosis fueron factores de riesgo para C perfringens tipo A.
Los resultados obtenidos en el estudio muestran la alta prevalencia de bacterias enteropatógenas en las explotaciones porcinas e indican como el manejo y la organización de la producción son factores que tienen un importante impacto en la incidencia de enteropatógenos bacterianos en lechones antes del destete.

A. Dors, E. Czyżewska-Dors, D. Wasyl, and M. Pomorska-Mól. Prevalence and factors associated with the occurrence of bacterial enteropathogens in suckling piglets in farrow-to-finish herds. Veterinary Record 2016;179:598 doi:10.1136/vr.103811

