Parassitismo intestinale - Atlante di patologia

Localizzazione: sistema digerente, intestini
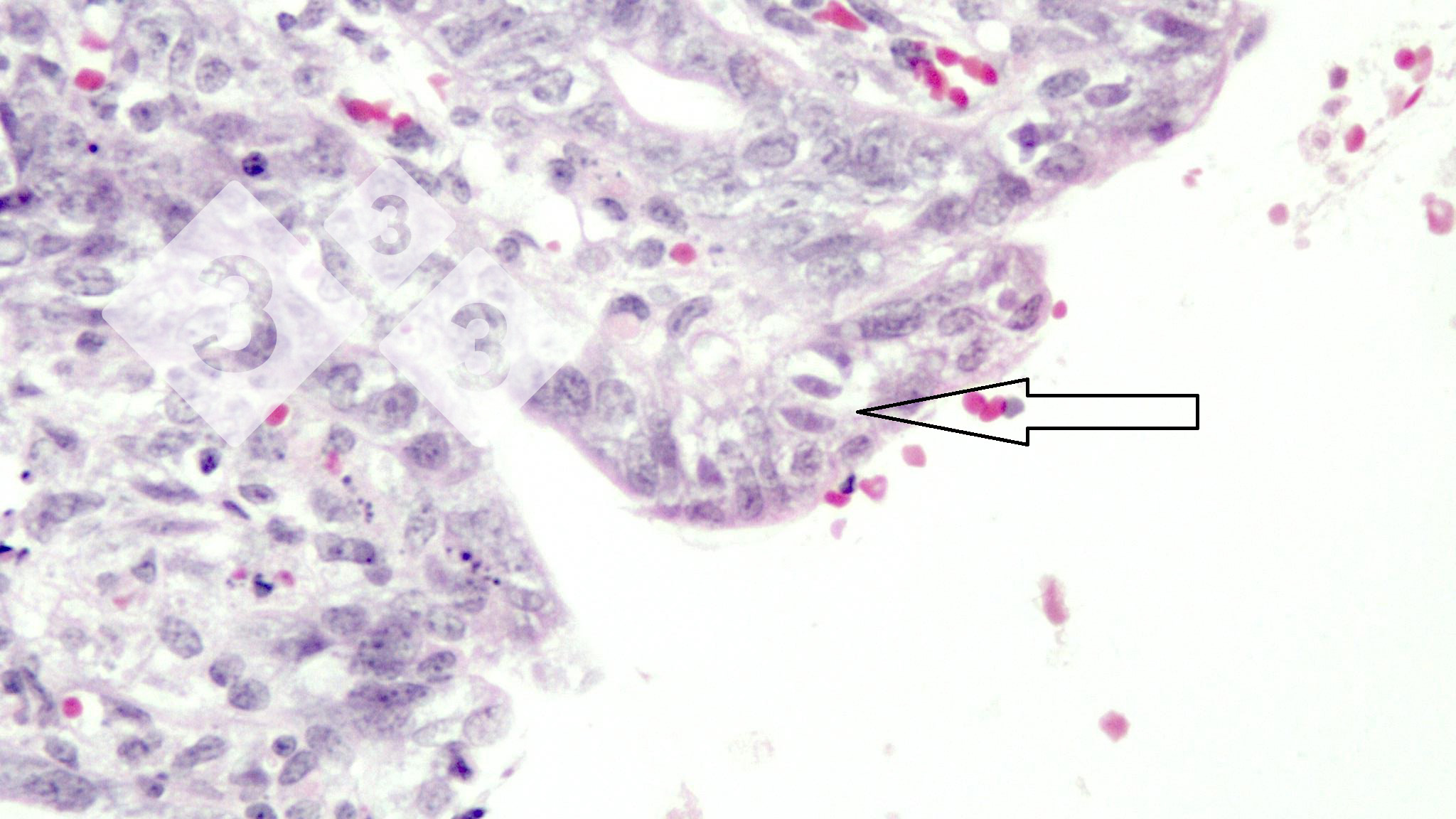
Causata da: Coccidiosi
Questi microrganismi sono Isospora suis, l'agente della coccidiosi nei suini. I suinetti più colpiti sono quelli di 1 o 2 settimane di età , si presentano con perdita di peso e condizione corporale scadente.Isospora suis si sviluppa nelle cellule intestinali dei suinetti neonati durante vari giorni, danneggiando l'epitelio intestinale. Normalmente, il quadro peggiora d'estate, dato che le oocisti sopravvivono per più tempo nell'ambiente di lattazione. Le feci dei suinetti colpiti sono molli, cremose o pastose, con un colore grigio-giallastro, con aspetto di dentifricio. Sono colpiti sia suinetti figli di scrofe primipare che pluripare. Alla necroscopia gli intestini hanno un contenuto tra pastoso e liquido, con aspetto pallido e gessoso nella mucosa della parte centrale dell'intestino tenue. I campioni intestinali richiedono l'esame istologico dettagliato delle cellule epiteliali per la visualizzazione dei coccidi a forma di una "doppia banana".
Un riassunto settimanale delle news di 3tre3.it
Fai il log in e spunta la lista





















































































































































































































































































































