Joaquim Segalés

CReSA - UAB - Espagne Auteurs

Joaquim Segalés i Coma est né à Vic (Barcelone) en 1968, et a obtenu la licence (Bac+5) à la Faculté de Médecine Vétérinaire de l'Université Autonome de Barcelone (UAB) en 1991. Il a ensuite obtenu son doctorat en Médecine Vétérinaire en 1996 dans la même Université après un séjour de 15 mois à l'Université du Minnesota (UM) aux Etats-Unis, étant codirigé par les Drs Mariano Domingo (UAB) et Carlos Pijoan (UM). En 2000 il a obtenu la licence au European College of Veterinary Pathology (ECVP). En 2004, il est diplômé du European College of Porcine Health and Management (ECPHM), qui est un membre fondateur et actuel vice-président. Il est professeur titulaire du Département de Santé et d'Anatomie Animales de la Faculté de Médecine Vétérinaire de la UAB, où il enseigne dans le domaine de l'anatomie pathologique et de clinique porcine. Il est par ailleurs directeur du Centre de Recherche en Santé Animale (CReSA), au sein de l'UAB.

Le Dr Segalés a participé à de multiples projets de recherche aussi bien dans le cadre espagnol qu'européen, plus spécialement tournés vers différentes maladies du porc, ainsi qu'à des accords de collaboration avec des entreprises du secteur, tant nationales qu'internationales. Parmi les lignes d’investigation auxquelles il a participé ou participe actuellement, il est important de souligner le virus du syndrome dysgénésique et respiratoire porcin (SDRP), Haemophilus parasuis, virus de la maladie d'Aujeszky (ADV), Mycoplasma hyopneumoniae, virus de l'hépatite E (HEV), torque teno sus virus et maladies associées au circovirus porcin type 2 (PCV2). Il est à remarquer que le Dr Segalés a participé à la première description en Espagne du Maladie d'Amaigrissement du Porcelet (MAP) ou circovirose porcine en 1997 et du syndrome de dermatite et néphropathie porcine en 1996. Les fruits de ces investigations sont plus de 200 articles dont il est co-auteur parus dans des revues scientifiques internationales, ainsi que 10 chapitres dont il est aussi co-auteur dans des ouvrages de prestige international, parmi lesquels l’important Porcine circovirus diseases dans la 9ème et 10ème édition du livre Diseases of Swine. Il est également co-auteur d’un ouvrage sur la nécropsie de l’élevage porcin, ainsi que de trois ouvrages portants sur des cas cliniques chez le porc.

Curriculum actualisé : 14-Mai-2013

TwitterLinkedinTelegramTelegram

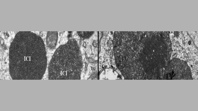
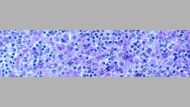
Quand 1 + 1 = plus de 2 : interactions à l'origine du Complexe Respiratoire Porcin (CRP) (1/3)

Jean Paul Cano, vétérinaire possédant une vaste expérience sur le terrain aux États-Unis et actuellement en Espagne, a apporté son point de vue pratique sur la gestion du CRP dans le contexte productif. Joaquim Segalés, professeur à l'UAB et chercheur au CReSA, a offert une perspective académique et a partagé les dernières avancées sur la pathogenèse du CRP.

J'aimecommente
Partager
Mes favoris
TwitterLinkedinTelegramTelegram
J'aimecommente
Partager
Mes favoris
TwitterLinkedinTelegramTelegram
J'aimecommente
Partager
Mes favoris
TwitterLinkedinTelegramTelegram
1 J'aimecommente
Partager
Mes favoris
TwitterLinkedinTelegramTelegram
J'aimecommente
Partager
Mes favoris
TwitterLinkedinTelegramTelegram
J'aimecommente
Partager
Mes favoris
TwitterLinkedinTelegramTelegram
1 J'aimecommente
Partager
Mes favoris
TwitterLinkedinTelegramTelegram
J'aimecommente
Partager
Mes favoris
TwitterLinkedinTelegramTelegram
1 J'aime1 Commentaires
Partager
Mes favoris
07-Mar-2018Pascal Guilavogui Vraiment c'est une grande joie pour moi car à travers ce site j'apprends chaque jour qu'il fait merci
TwitterLinkedinTelegramTelegram
J'aimecommente
Partager
Mes favoris
TwitterLinkedinTelegramTelegram
J'aime2 Commentaires
Partager
Mes favoris
14-Avr-2016Soro NamongoMes porcelets respirent très mal et je souhaite que vous me conseillez des produits pour les soigner à distance.
TwitterLinkedinTelegramTelegram
J'aimecommente
Partager
Mes favoris
TwitterLinkedinTelegramTelegram
J'aimecommente
Partager
Mes favoris
TwitterLinkedinTelegramTelegram
J'aimecommente
Partager
Mes favoris
TwitterLinkedinTelegramTelegram
J'aimecommente
Partager
Mes favoris
TwitterLinkedinTelegramTelegram
J'aimecommente
Partager
Mes favoris

Bienvenue sur 3trois3

Connecte-toi, échange et contacte la plus large communauté de professionnels de la filière porcine.

Nous sommes déjà 203175 Utilisateurs

inscrivez-vousDéjà membre ?
Comptes recommandés
CIMA srl

CIMA srl

Vétérinaire - Italie
sidoine  nzie

sidoine nzie

Agronome - Cameroun
PIC France

PIC France

Entreprise - France
333shop.com FR
Entreprise - Afghanistan
Ceva Santé Animale - Français
Entreprise - France