A foto da semana

Semana de 20-Jun-2023
Quais são as causas da esplenomegalia?

Semana de 13-Jun-2023
Qual é o agente patogênico mais frequente nas artrites?

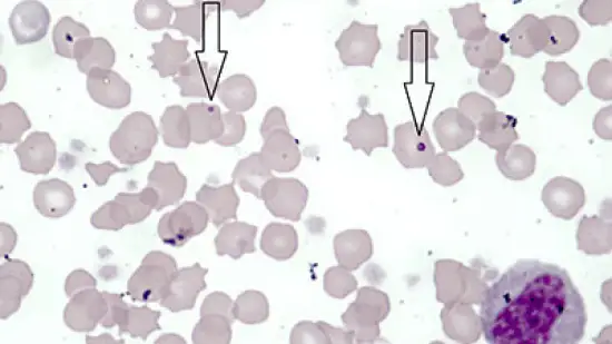
Semana de 06-Jun-2023
O que são estes pequenos pontos de 1µm de diâmetro (setas) dentro dos glóbulos vermelhos do sangue coletado de uma fêmea nulípara pálida e anêmica?

Semana de 23-Mai-2023
Ao inspecionar os tetos de uma matriz, observou a existência de algumas lesões. Qual a causa?

Semana de 16-Mai-2023
É detectado um nódulo bem definido na região do flanco de um leitão recém-nascido. O que é?

Semana de 09-Mai-2023
Durante a inspeção no frigorífico, verificou-se que na área de inserção dos ovários existiam duas massas globulares (imagem). Ao corte, a estrutura interna era similar à de testículos normais. Qual o nome dessa alteração do desenvolvimento?

Semana de 02-Mai-2023
Foi observado diarreia escura em animais da terminação. Qual é a causa mais provável?

Semana de 25-Abr-2023
Vários suínos de terminação apresentavam vômitos após comer e perda de peso. Durante a necropsia, a única lesão macroscópica é um megaesôfago. Qual é a possível causa?

Semana de 18-Abr-2023
No frigorífico, constatou-se a existência de um processo supurativo situado na coluna vertebral do suíno. De que se trata?

Semana de 11-Abr-2023
Leitões de 3 dias, da mesma leitegada, apresentam vômitos e diarreia com duração de dois ou três dias. Qual poderá ser a causa?

Semana de 04-Abr-2023
Foi encontrado um suíno de terminação em decúbito lateral, ofegante, pálido e com tremores musculares. Qual é a causa mais provável?

Semana de 28-Mar-2023
Qual lesão pode ser observada na imagem?

Semana de 21-Mar-2023
Vários suínos de terminação apresentam lesões na zona perineal. De que lesão se trata?

Semana de 14-Mar-2023
No frigorífico, foi detectado no pulmão a presença de zonas de consolidação (hepatização) cranioventral, as quais são sugestivas de Pneumonia enzoótica. Qual o principal agente associado a esta patologia?

Semana de 07-Mar-2023
É observado uma matriz com o úbere muito firme. Mostra incômodo quando se faz pressão, mas não tem dor. É um úbere normal ou não?

Semana de 28-Fev-2023
Lesão encontrada no rim de um suíno no frigorífico. Trata-se de uma patologia compatível com:

Semana de 21-Fev-2023
Este leitão desmamado tem lesões não-pruríticas na pele. Qual é a causa mais provável desta lesão?

Semana de 07-Fev-2023
Ovários e útero de uma matriz de terminação retirados no frigorífico. O ovário do lado esquerdo da imagem encontra-se normal. Já o do lado direito, bem como o útero, encontram-se com anomalias. O que pode ser?

Semana de 31-Jan-2023
Pulmão observado no frigorífico, com espuma misturada com fluído. Qual a causa mais provável?

Semana de 24-Jan-2023
Qual é o nome da lesão desta bexiga?

Semana de 17-Jan-2023
Na necropsia de uma matriz foram encontrados nódulos na cavidade torácica. O que são?

Semana de 10-Jan-2023
Essas são as fezes de uma matriz que acabou de parir. O que provocou este quadro?

Semana de 03-Jan-2023
As manchas no córtex destes rins, devem ser devido a:

Semana de 27-Dez-2022
Episódio de mortes súbitas, inapetência, febre alta e dificuldade respiratória em suínos entre 12 semanas e o abate. Qual é a causa mais provável desse quadro?

Semana de 20-Dez-2022
Gânglios linfáticos mesentéricos e inguinais aumentados de tamanho e hemorrágicos na necrópsia de um leitão desmamado. Qual a possível causa?

Semana de 13-Dez-2022
Qual o provável diagnóstico da massa firme no tecido mamário dessa matriz?

Semana de 06-Dez-2022
São encontrados leitões mumificados de vários tamanhos e leitegadas pequenas em uma granja. Qual é a possível causa deste problema?