Descrição da granja
A granja é uma instalação convencional de ciclo completo localizada em Piemonte, em uma área com alta densidade de suínos. A granja mais próxima fica a cerca de 500 metros de distância.

A granja é composta por cerca de 300 reprodutoras de genética dinamarquesa, inseminadas com machos de genética Talent, organizados em lotes de 35 dias; os leitões são desmamados aos 26 dias de idade com um peso médio de cerca de 6 kg. A média de nascidos vivos é de 14,3 leitões por nascimento, 12,3 desmamados com mortalidade de 13,9% na maternidade. As principais causas de morte incluem aquelas relacionadas ao baixo peso ao nascer de alguns leitões, problemas entéricos esporádicos e estreptococos. Do total de animais 25% ficam até 30 kg no mesmo local 1 e 75% são transferidos para o local 2 no desmame.
As marrãs de reposição chegam 4 vezes por ano de uma granja negativa para PRRSv com bom estado sanitário, um núcleo GP do mesmo proprietário.
Ao chegarem, elas são alojadas em sala de quarentena por 90 dias, durante os quais são realizadas vacinações e aclimatação.
O plano de vacinação inclui doença de Aujeszky, PRRSV, influenza, PCV2, Mycoplasma, E. coli, clostridia, rinite atrófica, pleuropneumonia, doença de Glasser, erisipela e parvovírus. Os leitões são vacinados aos 21 dias de idade contra PRRSv, PCV2 e Mycoplasma.
Para monitoramento, a análise de fluidos de processados (testículos) é realizada em cada lote para PRRSv por RT-PCR, pois a granja não é estável.
As reprodutoras são alojadas em gaiolas de gestação para estimulação do cio e inseminação, seguidas de uma fase de recuperação da condição corporal. Em seguida, são transferidas para a gestação em grupos, baias com 6/12 animais, e são alimentadas apenas uma vez ao dia para diminuir as brigas dentro do grupo.
A maternidade é tradicional: gaiola individual durante todo o período de lactação, piso ripado adequado para leitões e piso compacto no escamoteador. A temperatura na maternidade é mantida em torno de 24 graus e no escamoteador em 29 graus com lâmpadas infravermelhas durante os primeiros 10 dias de vida dos leitões. Entre o terceiro e o quinto dia de vida, são tratados com ferro e toltrazuril e, ao mesmo tempo, é realizado o corte da cauda e castração. As fêmeas são levadas para a maternidade cinco dias antes do parto, onde são alimentadas três vezes ao dia e água à vontade.
Alimentação
O produtor possui uma fábrica de ração onde produz alimentos comprando matérias-primas e um núcleo de vitaminas e minerais.
As matérias-primas são monitoradas quanto aos nutrientes e as micotoxinas mais comuns. Além de fornecer um suplemento mineral, o núcleo contém um bom nível de vitaminas B, E (110 mg) e polifenóis com função antioxidante.
Os oligoelementos são parcialmente fornecidos na forma orgânica e o valor dos hepatoprotetores colina e betaína é bastante alto.
As rações são baseadas em milho e soja, mas também incluem altos níveis de cevada e polpa, além de farelo de folhas largas, para atingir boa quantidade de fibra funcional; em particular, isso ocorre na fase pré parto graças ao uso de alimentos específicos.
Três rações são utilizadas para as reprodutoras: lactação, gestação e pré-parto.
Fórmula/análise
| Tipo de ração: Gestação | |
|---|---|
| Ingredientes | Quantidade % |
| Milho | 30,00 |
| Soja 48 | 10,00 |
| Farelo | 26,00 |
| Cevada | 20,00 |
| Óleo de soja | 1,00 |
| Casca de arroz | 5,00 |
| Polpa | 3,00 |
| Premix | 5,00 |
| Total | 100,00 |
| Características analíticas | |
| Proteína bruta | 13,80% |
| Lipídeo total | 4,50% |
| Fibra bruta | 6,10% |
| Cinzas | 6,10% |
| Energia digestível | 2.995 |
| Cálcio | 0,90% |
| Fósforo | 0,70% |
| Lisina total | 0,65% |
| Tipo de Ração: Lactação plus | |
|---|---|
| Ingredientes | Quantidade% |
| Milho | 30,00 |
| Soja 48 | 18,00 |
| Farelo | 15,00 |
| Cevada | 15,00 |
| Óleo de soja | 1,50 |
| Polpa | 3,00 |
| Premix energético | 8,00 |
| Banha suína | 1,50 |
| Casca de arroz | 3,00 |
| Premix | 5,00 |
| Total | 100,00 |
| Características analíticas | |
| Proteína bruta | 16,20% |
| Lipídeo total | 6,50% |
| Fibra bruta | 4,80% |
| Cinzas | 5,90% |
| Energia digestível | 3.290 |
| Cálcio | 0,95% |
| Fósforo | 0,70% |
| Lisina total | 1,00% |
| Tipo de ração: Fêmea pré parto light | |
|---|---|
| Ingredientes | Quantidade % |
| Milho | 16,00 |
| Soja 48 | 7,00 |
| Farelo | 22,50 |
| Cevada | 34,00 |
| Premix energético | 7,00 |
| Polpa | 9,00 |
| Óleo de soja | 0,50 |
| Premix | 4,00 |
| Total | 100,00 |
| Características analíticas | |
| Proteína bruta | 13,10% |
| Lipídeo total | 3,60% |
| Fibra bruta | 6,20% |
| Cinzas | 5,30% |
| Energia digestível | 2.985 |
| Cálcio | 0,80% |
| Fósforo | 0,60% |
| Lisina total | 0,75% |
Descrição do problema
Em março de 2021, uma alta porcentagem de claudicação severa apareceu em leitões de 12/17 dias - cerca de 20% dos animais - com prevalência da parte distal do membro, edema severo da banda coronária e sola e, em alguns casos, afetando o casco inteiro: foram tratados com antibióticos (amoxicilina) e spray tópico com clortetraciclina com boa resposta e remissão da infecção. Porém, em casos específicos, os tecidos ficavam tão comprometidos que ocasionavam a perda do casco.



A primeira hipótese diagnóstica estava relacionada a causas mecânicas e ambientais, sugerindo o aparecimento de feridas complicadas por patógenos; os animais foram então monitorados para evidências adicionais. Ao mesmo tempo, foi introduzido o uso de pós secantes durante o parto.
Intensificando as observações nos lotes posteriores, lesões necróticas e inflamatórias independentes foram observadas nos recém-nascidos envolvendo o coxim plantar, a banda coronária, em alguns casos o umbigo, a cauda e os tetos.
O conjunto de lesões, que também surgiram precocemente, nos levou a afastar as causas mecânicas diretas e primárias e a suspeitar de uma origem endógena.
Assim, levantou-se a suspeita de que se tratava da recém-identificada síndrome SINS (síndrome da necrose e inflamação suína).
Descrição da síndrome
A SINS (Síndrome de Necrose e Inflamação Suína, descrita por G. Reiner et al., 2021) é uma síndrome caracterizada por inflamação e necrose, principalmente dos tecidos mais periféricos, em consequência de lesões na microcirculação (hiperemia e / ou vasoconstrição, edema, trombos, proliferação da camada íntima, infiltração de granulócitos e macrófagos).
A síndrome é desencadeada pela ativação do sistema imunológico e da cascata inflamatória por inúmeras causas concomitantes que vão desde situações de estresse ambiental (termorregulação) e psicológico (competição), qualidade da comida, água e ar ou infecções. Tudo isso pode envolver a liberação na corrente sanguínea de várias moléculas pró-inflamatórias (endotoxinas, micotoxinas, lipopolissacarídeos, padrões moleculares associados a micróbios - MAMP) tanto do próprio corpo quanto da microbiota intestinal quando são capazes de superar a barreira intestinal e a capacidade desintoxicante do fígado.
As lesões comprometem o bem-estar do animal e a síndrome tem sido relacionada à qualidade de vida das fêmeas. Sinais de SINS também podem ser vistos no desmame e no crescimento (Reiner et al., 2020).
A predisposição genética entre os fatores predisponentes para vulnerabilidade a esta síndrome é ainda pesquisada (Reiner et al., 2021).
Investigações posteriores
1- Os leitões foram examinados no terceiro dia de vida (29 leitegadas) em referência ao estudo clínico apresentado por G. Reiner e outros para identificar a prevalência de lesões (Reiner et al., 2019).
Dos 403 leitões avaliados (sem avaliação do grau específico), todos apresentaram lesões localizadas em uma ou mais áreas ao mesmo tempo das quais:
- 399 (99,1%) no coxim plantar e faixa coronária
- 250 (62,03%) nas bochechas
- 50 (12,41%) na base das orelhas
- 17 (4,22%) na cauda
- 255 (63,28%) no umbigo
- 44 (10,92%) nos tetos




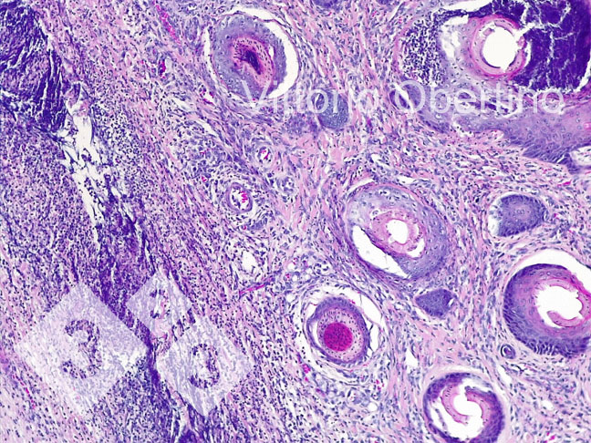
2- Amostras de tecido foram enviadas à Universidade de Torino para verificar se as lesões eram histologicamente compatíveis com as imagens descritas na literatura (Kuehling et al. 2020).


3- Foram realizados controles alimentares que não revelaram desvios significativos nos parâmetros nutricionais. O monitoramento de micotoxinas encontrou valores muito baixos, apenas os níveis de alcalóides apresentaram níveis de possível importância. Níveis estranhamente altos de fitoestrogênios foram observados, mas a origem e o significado ainda não foram pesquisados.

4- A presença de coprostasia foi observada nas fêmeas na maternidade e gestação.
5- A presença de alterações cutâneas e edema nas mamas foi detectada esporadicamente nas fêmeas em período de parto.

Medidas corretivas
- Um aditivo de amplo espectro, baseado em agentes de captura e enzimas, foi introduzido na ração.
- O nível de fibra foi ligeiramente maior e, acima de tudo, sua estrutura foi modificada pela substituição do farelo de folha larga.
- Um sistema de desinfecção de peróxido foi introduzido para água potável.
- A palha foi administrada diariamente (100 g / animall/ dia) na fase de gestação.
Conclusões
Em resumo, quanto aos elementos coletados:
- A presença de lesões clínicas e o quadro histológico.
- Lesões mamárias e coprostase observadas em porcas.
Confirma-se a suspeita de que se trata de um caso de síndrome de necrose e inflamação suína.
A eficácia das medidas corretivas adotadas será avaliada nos próximos meses.
Agradecimentos
- Agradecimentos à Universidade de Torino, Dra. Raffaella Demaria do Departamento de Ciências Veterinárias.
- Obrigado à empresa Allevamenti 1910 Andorno por sua colaboração constante.
- Agradecimentos ao Dr. Ettore Bosco por seu monitoramento no campo.

