
Vídeo de necrópsia: broncopneumonia fibrinosa
Como complemento ao curso de necrópsia, produzimos uma série de vídeos sobre diferentes processos em porcos.
Notícias, eventos e reportagens da actualidade do sector suinícola
Os eventos relacionados com o sector suinícola existem a nível mundial
Fórum de discussão sobre temas dos suínos
Um resumo semanal das novidades da 3tres3.com.pt
Um boletim periódico de notícias sobre o mundo suinícola
A saúde dos suínos: notícias e artigos sobre PRRS, PCV2, biossegurança, etc., guia de doenças do porco, atlas de patologia, casos clínicos...
Como realizar uma necrópsia num porco, passo a passo, numa forma muito visual e prática.
Toda a informação sobre a Peste Suína Africana (PSA) na 3tres3,com.pt e em links externos
Descrição das doenças e afecções mais importantes nos suínos
Descrição fotográfica das lesões mais significativas dos suínos
Ferramenta para diagnosticar doenças nos suínos
Calcula a quantidade de medicamento a incorporar na água quando usamos um dosificador de fluxo
Um resumo semanal das novidades da 3tres3.com.pt
Preços do porco por países. Produção e comércio de carne de porco. Notícias do mercado do porco e das matérias-primas
As últimas cotações e a evolução histórica dos mercados mais importantes do suíno
Calcula o teu custo de produção, compara-o com o custo de referência e avalia como cada parâmetro afecta o custo de produção total e a margem
Dados e tendências do efectivo, produção e comércio de carne.
Dados de produção e comércio mundial das principais matérias-primas
Um resumo semanal das novidades da 3tres3.com.pt
Artigos sobre nutrição e alimentação de suínos, características das matérias primas e dos aditivos para suínos e preços das matérias-primas
Fichas técnicas das principais matérias-primas e aditivos. Incluem informação de valores nutricionais, produção e comércio, estudos recentes,...
Dados de produção e comércio mundial das principais matérias-primas
Utilize esta ferramenta para diagnosticar problemas com o Índice de Conversão. Clique no diagrama de fluxo ou nos botões dentro do texto para navegar pelas diferentes partes da ferramenta.
Um resumo semanal das novidades da 3tres3.com.pt
Um boletim mensal de notícias sobre a nutrição dos suínos
Artigos sobre genética e reprodução nos suínos: selecção genética, genómica, inseminação artificial, uso de hormonas...
Compare dados produtivos, calcule os lugares de porcas, transição e engorda e visualize as tarefas no calendário consoante cada tipo de MEB.
Calcula a entrada de porcas ao iniciar uma exploração, para aumentar o seu efectivo ou para calcular a reposição de uma exploração em funcionamento
Um resumo semanal das novidades da 3tres3.com.pt
Maneio e gestão das suiniculturas e organização do trabalho em cada uma das fases de produção: maneio na gestação, engorda, maneio em bandas...
Compare dados produtivos, calcule os lugares de porcas, transição e engorda e visualize as tarefas no calendário consoante cada tipo de MEB.
Calcula o teu custo de produção, compara-o com o custo de referência e avalia como cada parâmetro afecta o custo de produção total e a margem
Um resumo semanal das novidades da 3tres3.com.pt
Desenho de instalações e equipamentos para suiniculturas: desenho de pavilhões, climatização, sistemas de alimentação, etc. Comparadores de equipamiento.
Que equipamento necessito para a minha exploração? Apresentamos-te diferentes equipamentos para que possas escolher.
Calculadora da pegada ambiental ao longo da cadeia de valor dos suínos
Um resumo semanal das novidades da 3tres3.com.pt
Aqui encontrarás os autores especializados em suíno que colaboram na 3tres3 com informação do seu curriculum
Licenciada em Medicina Veterinária (2012) e Mestrada em Ciências Veterinárias (2016) pela Universidade de Concepción, Chile. Durante o ano de 2018 a 2019 colaboradora honorária no departamento de Patologia e Medicina Preventiva da Universidade de Concepción, apoiando na realização de necropsias e diagnóstico histopatológico. Actualmente doutoranda no Departamento de Anatomía e Anatomía Patológica Comparadas na Universidade de Córdoba, Espanha.
Curriculum actualizado: 05-Mar-2020

Como complemento ao curso de necrópsia, produzimos uma série de vídeos sobre diferentes processos em porcos.

Após a interpretação das lesões, é necessário proceder à recolha de amostras.
Se clicar em qualquer parte da imagem, pode avançar. Utilizando a seta para a esquerda, podemos retroceder e, utilizando o ícone do quadrado no canto inferior direito, podemos ver a apresentação em ecrã completo.

No quinto volume do manual, tratamos do exame dos órgãos da cavidade abdominal.

No quarto artigo do manual, tratamos do exame dos órgãos da cavidade torácica.

Enquanto nos dois primeiros capítulos abordámos a necropsia em decúbito lateral, neste terceiro capítulo explicaremos como efetuar a necropsia em decúbito supino.

Nesta segunda parte, abordaremos a extração do conjunto língua-traqueia-pulmões-coração. Extrairemos os órgãos da cavidade abdominal, tanto do aparelho digestivo como do aparelho urinário e genital. Na cabeça, acederemos aos cornetos nasais, ao cérebro e ao cerebelo.

Iniciamos uma nova secção, coordenada pela equipa de anatomia patológica da Universidade de Córdoba, que nos mostrará, de uma forma muito visual e prática, como realizar uma necropsia a um porco.

Qual o real efeito da pneumonia no rendimento económico da exploração? Qual a semelhança entre a pneumonia e o stress por calor?

M. hyopneumoniae participa na maioria das co-infecções do complexo respiratório suíno. Como funciona e que efeitos tem?

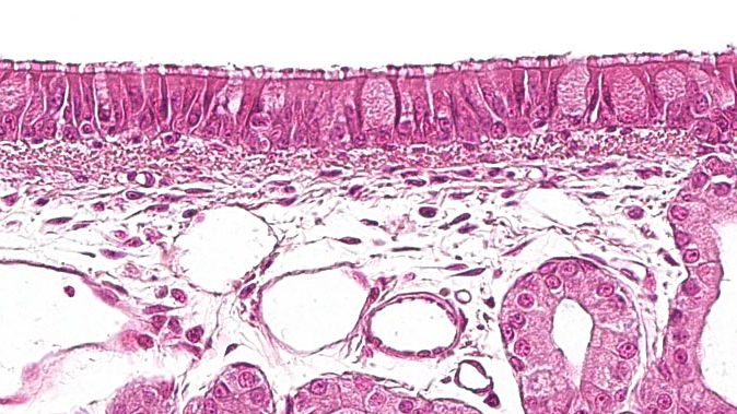
Este artigo descreve as principais lesões que caracterizam as principais pneumonias bacterianas em porcos. Embora a maioria sejam agentes oportunistas, existem dois agentes bacterianos primários que são capazes de causar lesões por conta própria.

Este artigo analisa as diferentes lesões micro e macroscópicas causadas pelos vírus de PRRS, PCV2, o vírus da gripe suína e o coronavirus respiratório suíno.

Que tipo de células compõem o sistema de defesa respiratória em porcos? Como é que se organizam e se comunicam entre si?
Um resumo semanal das novidades da 3tres3.com.pt
faz login e inscreve-te na lista
Bem-vindo à 3tres3
Ligue-se, partilhe e relacione-se com a maior comunidade de profissionais do sector suinícola.
Já somos 206995 Utilizadores!
Regista-teJá é membro?




