Il rotavirus A è una delle principali cause di diarrea acuta nei suinetti appena nati, causando significativa mortalità, morbilità, riduzione delle prestazioni e perdite economiche. Le precedenti strategie di vaccinazione si sono concentrate sull'induzione dell'immunità attiva e passiva, ma senza molto successo.
I galattooligosaccaridi prebiotici disponibili in commercio sono simili a quelli presenti nel latte dei mammiferi e stimolano lo sviluppo del microbiota e del sistema immunitario nei neonati.

L'obiettivo del presente studio era determinare se l'integrazione alimentare con galattooligosaccaridi durante la gestazione potesse migliorare l'immunità, ridurre l'infezione da rotavirus e modulare il microbiota nelle scrofe e nei loro suinetti neonati in un ambiente di allevamento commerciale con una sfida naturale al rotavirus confermata endemica.
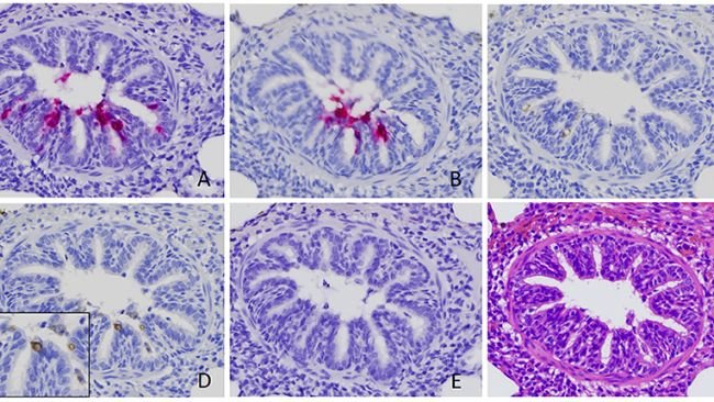
In uno studio controllato randomizzato, le scrofe del gruppo di controllo hanno ricevuto una dieta di lattazione senza integrazione e le scrofe del gruppo sperimentale hanno ricevuto una dieta di lattazione con 30 g/giorno di galattooligosaccaridi aggiunti giornalmente al mangime, sette giorni prima del parto. Campioni di colostro sono stati raccolti dalle scrofe 24 ore dopo il parto e testati per anticorpi specifici contro il rotavirus. I campioni fecali sono stati raccolti da scrofe e suinetti tre giorni dopo il parto, testati per il rotavirus A mediante qPCR e la composizione del microbioma è stata valutata mediante sequenziamento del gene 16s rRNA.
Come risultato, l'integrazione di galattooligosaccaridi durante la gestazione ha aumentato significativamente le IgG e le IgA specifiche del rotavirus nel colostro della scrofa e ha ridotto il numero di campioni fecali positivi al rotavirus dai suinetti. L'abbondanza di potenziali agenti patogeni come Treponema e Clostridiales era maggiore nei campioni fecali delle scrofe non supplementate con galattooligosaccaridi, nei loro suinetti e nei campioni positivi per rotavirus.
Questo studio dimostra che l'integrazione di galattooligosaccaridi durante la gestazione aumenta significativamente le IgG e le IgA specifiche del rotavirus nel colostro della scrofa, riducendo così l'infezione neonatale da rotavirus e sopprimendo i potenziali batteri patogeni nelle scrofe in lattazione e nei loro suinetti neonati.
Lee A, Liang L, Connerton PL, Connerton IF, Mellits KH. Galacto-oligosaccharides fed during gestation increase Rotavirus A specific antibodies in sow colostrum, modulate the microbiome, and reduce infectivity in neonatal piglets in a commercial farm setting. Frontiers in Veterinary Science. 2023; 10. https://doi.org/10.3389/fvets.2023.1118302



