
Die Bedeutung der Pathologie in der Schweinediagnostik
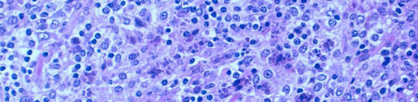
Die Histopathologie kann einen soliden Rahmen für die Identifizierung der tatsächlichen Kausalität eines klinischen Problems bieten.

Die Histopathologie kann einen soliden Rahmen für die Identifizierung der tatsächlichen Kausalität eines klinischen Problems bieten.

Der Nachweis von Lungenläsionen bei geschlachteten Schweinen ermöglicht auch eine Schätzung der wirtschaftlichen Verluste.

Die Erhebung von Schlachtbefunddaten ist eine gängige Methode, um Informationen über Gesundheits- und Produktionsparameter zu erhalten, vor allem in den letzten Lebenswochen eines Schweins.

Wir finden gerade mehr Hinweise auf die mögliche Rolle, die PCV-3 bei bestimmten Fortpflanzungsproblemen spielt.

Schwerwiegende Probleme traten mit dem Genotyp a viel seltener auf als mit dem Genotyp b. Warum hat sich die Häufigkeit dieser Genotypen verändert?

Was hat sich Ihrer Meinung nach in den Jahren seit der Einführung des PCV2-Impfstoffs zur Lösung des immensen Problems, das durch das Circovirus verursacht wurde, geändert und wie wirkt sich dies auf die landwirtschaftlichen Betriebe aus?

Das durchschnittliche Geburtsgewicht von Ferkeln in den 3 Gruppen geimpfter Sauen war statistisch höher als das bei den nicht geimpften Sauen.

Alle auf dem europäischen und nordamerikanischen Markt verfügbaren Impfstoffe beruhen auf einem PCV2a-Genotyp, obwohl die Genotypen PCV2b und PCV2d am weitesten verbreitet sind. Obwohl sich ein hohes Maß an Kreuzimmunität unter diesen drei Genotypen gezeigt hat, wäre es sehr interessant festzustellen, ob die Wirksamkeit des Impfstoffs gegenüber all diesen unterschiedlichen Genotypen gleich ist.

Dieser Artikel befasst sich mit den Faktoren, die zur Bestimmung des optimalen Zeitpunkts für die Impfung gegen PCV2 in Betracht zu ziehen sind und zeigt die Ergebnisse einer Studie, die die Wirksamkeit verschiedener Impfprogramme bei subklinisch mit PCV2 infizierten Ferkeln beurteilt.

Seit kurzem geht man davon aus, dass PCV2 ein Krankheitserreger ist, der bei Schweinen Diarrhö auslöst, und es wurde vorgeschlagen, die PCV2-Darmerkrankung (PCV2-ED) als eigenes Krankheitsbild innerhalb der Erkrankungen, die durch porcine Circoviren induziert werden (PCVDs), zu betrachten.

Die Ergebnisse der Studie zeigen einen wirtschaftlichen Verlust von 13,1 € bzw. 7,5 € pro Schlachtschwein mit einem "hohen" bzw. "mittleren" Virusgehalt an PCV2 im Serum.

Experimentelle Co-Infektionen von Schweinen mit M.hyo und PCV2 führten zu unterschiedlichen Ergebnissen.

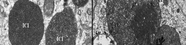
Sowohl in der Umwelt als auch gegenüber der Behandlung mit chemischen und thermischen Verfahren ist das Virus extrem widerstandsfähig.

Es besteht ja kaum Zweifel über die positiven klinischen und ökonomischen Effekte der Impfung bei subklinischen Infektionen der Ferkel, aber...welche Rolle spielt eigentlich die Sau in diesem Szenario?

Neue Erkenntnisse über Ausscheidungs-, Übertragungswege, Risikofaktoren, etc., und Erläuterungen darüber, wie PCV2 ein pathogenes Virus wird.

Der wirksamste Weg zur Vermeidung von Produktionsverlusten durch PCV2 besteht in der Vermeidung der Virämie durch das Induzieren einer passiven oder aktiven Immunität, welche die Zirkulation des Virus in dem Betrieb minimiert.
Willkommen bei 333
Vernetzen Sie sich, tauschen Sie sich aus und interagieren Sie mit der größten Fachgemeinschaft des Schweinesektors.
Wir feiern 207138Nutzer bei 333!
AnmeldenSind Sie schon Mitglied?