Bis vor einigen Jahren wurde die Impfung gegen das porzine Circovirus Typ 2 (PCV-2) hauptsächlich eingesetzt um einer klinischen Infektion vorzubeugen. Daher fanden vornehmlich die unter den englischen Begriffen zusammengefassten "porcine circovirus diseases (PCVD)" und dort hauptsächlich das "porcine circovirus disease ( PCV2-SD, bekannt als Postweaning Multisystemic Wasting Syndrome)" Beachtung. Schon von Beginn an schienen die Impfstoffe hervorragend zur Kontrolle der Erkrankung geeignet zu sein. Darüber hinaus konnten die Produktionsparameter verbessert werden, wie beispielsweise die Senkung der Mortalitätsrate- und das teilweise auf ein Niveau, das letztmalig vor 20 Jahren erreicht wurde. Da die Wirksamkeit der Impfstoffe als sehr gut erachtet wurde, setzten einige Tierärzte und Landwirte die Impfstoffe nicht nur in Herden mit klinischen Erscheinungen, sondern auch in Herden ohne klinische Erscheinungen ein. Auch in solchen scheinbar gesunden Beständen zeigte sich ein positiver Effekt. Heute, Ende 2013, gibt es bereits umfangreiche Daten zu den Effekten, einer PCV-2-Impfung in subklinisch infizierten Beständen.

![]() |
|
|
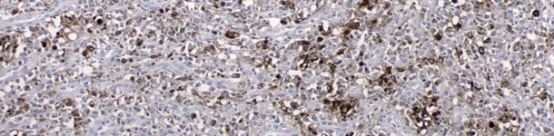
Mittels Immunhistochemie nachgewiesenes PCV-2 Antigen Mittels Immunhistochemie nachgewiesenes PCV-2 Antigen Eine so geringe Anzahl an Virus-infizierten zellen wurde in Eine so hohe Anzahl an Virus-infizierten Zellen wurde in Lymphknoten von subklinisch mit PCV2 infizierten Tieren gefunden Lymphknoten von Tieren mit der systemischen Form der PCVD gefunden |
|
Wie kann man eine subklinische PCV-2-Infektion (PCV2-SI) definieren? Basierend auf den Ergebnissen serologischer Studien wird vermutet, dass PCV-2 Infektionen weltweit verbreitet sind, wohingegen eine klinische Ausprägung sehr viel seltener ist. Andererseits stammen die ersten PCV-2 Befunde in Europa aus dem Jahr 1962 während – rückblickend - die erste Diagnose von PCV2-SD aus den 80-er Jahren stammt.
Daher war und ist unter Einbeziehung aller zur Verfügung stehenden Daten die subklinische Infektion die häufigste Ausprägung von PCV-2. Am Ende steht fest, dass sogar in höchstgradig von PCV-2-SD betroffenen Beständen die Mehrzahl der Schweine subklinisch und nicht klinisch betroffen ist. Daher ist es an dieser Stelle angebracht, eine Definition für für den Begriff "PCV-2-SI" aus diagnostischer Sicht zu formulieren.
Wie in Tabelle 1 ersichtlich stehen eine Reihe von Kriterien zur Diskussion. Es ist richtig, dass eine verminderte Tageszunahme ein negativer Effekt ist, der von verschiedenen Erkrankungen ausgelöst werden kann. Der ein oder andere wird daher einwenden, dass dies ausreicht, um sie den klinischen und nicht den subklinischen Auswirkungen zuzuordnen.Eine verminderte Zunahme wird erst durch wiederholte Gewichtskontrolle offenbar, ist also für das "klinische Auge" durch bloßes Betrachten nicht direkt feststellbar.
Tabelle 1: Klinik und vorgeschlagene Kriterien zur PCV-2-SI Diagnostik.
| Klinik | Diagnostische Kriterien |
| Verminderte tägliche Zunahmen ohne charakteristische klinische Symptome |
1. Fehlen von charakteristischen klinischen Symptomen 2. Keine oder geringgradige histopathologische Läsionen im Gewebe (hauptsächlich im lymphoiden Gewebe 3. geringgradig PCV-2 Antigen in einer geringen Anzahl an (lymphoidem) Geweben 2. und 3. können evtl. durch PCV-2 Nachweismethoden wie die PCR ersetzt werden. |
Die Ferkelimpfung verbessert im subklinischen Fällen die durchschnittliche tägliche Zunahme und die Futterverwertung und reduziert die Mortalitätsrate, die Zahl der Kümmerer sowie die Heterogenität der Schlachtpartien. Die meisten dieser positiven Auswirkungen wurden allerdings nicht alle auf einmal auf einem Betrieb dokumentiert. In jedem Fall sind die positiven Effekte der PCV-2-Impfung bei klinischen Infektionen sehr viel ausführlicher beschrieben so dass im Bereich der subklinischen Infektion weitere Studien folgen sollten.
Erstaunlicherweise gehören zu den wichtigen Daten, die noch fehlen, solche zur Wirtschaftlichkeit der Impfung, vor allem dem "return of investment" bzw. der erwartete Ertrag nach Investition in die Impfung (ROI) .Bis heute gibt es keine umfassende Studie, die eine Aussage über die Höhe des ROI nach Impfung in subklinisch erkrankten Beständen macht, oder ob dieser nur nur unter bestimmten Voraussetzungen erzielt werden kann. Und wenn dies der Fall sein sollte, kennen wir solche Voraussetzungen? Die Antwort ist: nein. Darüber hinaus sind hier sogar diagnostische Aspekte zu beachten, um die Frage nach der Wirtschaftlichkeit der Impfung im subklinischen Fällen beantworten zu können. Wissen wir zum Beispiel, welcher Schwellenwert vor der Impfung beim Nachweis der PCV-2-Viruslast überschritten sein muss, um mit der Impfung einen akzeptablen ROI erzielen zu können? Auch hier ist die Antwort: nein. Diese Frage wird den bestandsbetreuenden Tierarzt nicht unbedingt interessieren, da die Impfraten heute in vielen Ländern zwischen 90 und 100% liegen. Des Teufels Advokat würde sich die Frage stellen, ob durch die Impfung so gut wie aller Bestände mit derselben Impfstrategie das Optimum im Sinne der Wirtschaftlichkeit erzielt werden kann.Vielleicht wird zur Erzielung einer maximalen Effektivität der Impfung in Zukunft eher über maßgeschneiderte Impfprogramme für jeden Betrieb (bester Impfzeitpunkt, Sauenimpfung, Ferkelimpfung oder beides ,etc.) und dem ROI gesprochen.
Schlussendlich wäre es aus wissenschaftlicher Sicht hochinteressant zu wissen, aufgrund welcher Mechanismen Schweine eine klinische oder subklinische PCV-2 Infektionen entwickeln. Verschiedene Studien haben sich mit diesem wichtigen Aspekt beschäftigt, die endgültige Antwort steht aber noch aus.Weiterhin wissen wir einiges über die subklinischen Effekte einer PCV-2-Infektion, aber lange nicht so viel wie über die Effekte, einer PCV-2-SD.
Es gibt Publikationen, die zu dem Ergebnis kommen, dass eine subklinische PCV-2 Infektion zu einer schlechteren Wirksamkeit von zum Infektionszeitpunkt verabreichten Impfungen führt. Demgegenüber konnte in einer anderen Studie kein nachteiliger Effekt einer experimentellen subklinischen PCV-Infektion auf die Immunantwort nach einer Aujeszky-Impfung nachweisen.
Obwohl im Laufe der Jahre in Studien eine Reihe von unterschiedlichen Ergebnissen erzielt wurde, ist man zu der allgemeinen Erkenntnis gelangt, dass PCV-2 die Fähigkeit zur Modulation der Immunantwort besitzt- nicht nur während der offensichtlichen klinischen Erkrankung, sondern auch in subklinischen Fällen.
Es besteht ja kaum Zweifel über die positiven klinischen und ökonomischen Effekte der Impfung bei subklinischen Infektionen der Ferkel, aber...welche Rolle spielt eigentlich die Sau in diesem Szenario? Ist es möglich, dass die Impfung positive Effekte auf subklinische Infektionen bei Sauen hat? Daher wird es Zeit den Vermutungen auf den Grund zu gehen!



