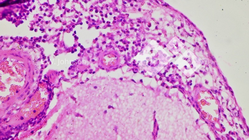
Uma grande granja comercial (> 2.000 matrizes) no leste da China relata um distúrbio incomum de opacidade ocular e cegueira em vários leitões lactentes. As matrizes se alimentam e amamentam normalmente. O número de leitões natimortos e fracos está ligeiramente acima do normal e a mortalidade pré-desmame é alta. Cegueira, opacidade da córnea e inflamação da área ocular são observadas em alguns leitões de várias leitegadas (imagem 1).


Os suínos afetados estão deprimidos, letárgicos e incapazes de mamar. A taxa de aborto é relatada como sendo um pouco alta. O número de suínos mumificados está dentro dos parâmetros normais. Nenhum outro sinal clínico é relatado. Uma rápida revisão dos dados reprodutivos parece descartar uma possível causa genética, já que linhas genéticas não relacionadas na granja parecem ser afetadas da mesma forma.
O diagnóstico diferencial inclui doença do olho azul (Orthorubulavirus suíno) e infecção bacteriana do olho. A doença do olho azul é causada por um paramixovírus e é endêmica em partes do México. Causa sintomas no sistema nervoso central, pneumonia e problemas reprodutivos em suínos reprodutores, incluindo orquite e lesões na córnea em javalis, mas não foi detectado na China ou em qualquer lugar fora do México. O diagnóstico preliminar da doença do olho azul seria feito pela observação de sinais clínicos incomuns e confirmado por PCR e isolamento do vírus.
A deficiência de vitamina A pode causar sérios danos aos olhos, mas é altamente improvável nesta grande granja comercial que alimenta os animais com dietas modernas.
Diagnóstico
Um dos suínos afetados foi sacrificado e dissecado pela equipe da granja. Amostras de tecidos frescos e fixados em formalina (fígado, linfonodos, cérebro) e os olhos frescos do leitão da foto (imagem 1) foram enviados ao laboratório.
Além da lesão ocular, nenhuma lesão grave foi observada pela equipe da granja. O fluido intraorbital aspirado dos olhos parece claro e normal. O esfregaço do fluido ocular corado por Giemsa revela algumas células mononucleares e algumas bactérias em forma de bastonete (bacilos). Algumas Escherichia coli foram isoladas do fluido ocular. A possibilidade de uma causa bacteriana é descartada. As amostras de linfonodo, cérebro e fígado fixadas em formalina foram processadas por um método rápido de inclusão em parafina para seções de tecido coradas com hematoxilina e eosina (H&E).
O exame microscópico do cérebro revela meningoencefalite com manguito perivascular e gliose (imagem 2) e infiltração das meninges com células inflamatórias mononucleares e polimorfonucleares mistas (imagem 3).

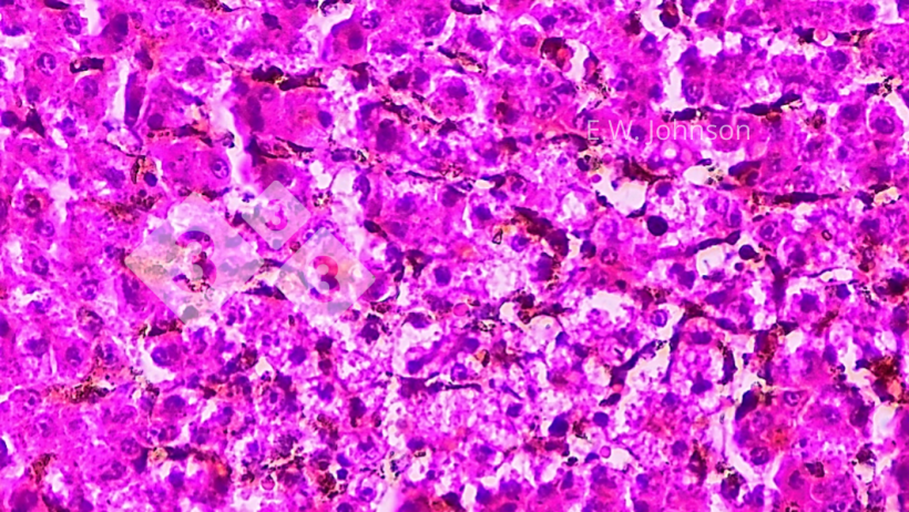
Necrose focal é observada no fígado e corpos de inclusão intranucleares anfofílicos no tecido ao redor das áreas de necrose (imagem 4). É feito um diagnóstico presuntivo de Doença de Aujeszky (DA).

A PCR do humor vítreo do olho amplifica o DNA do gene US8 (“short unique sequence” 8) do Suid alphaherpesvirus 1 (vírus Aujeszky) que codifica a glioproteína E (gE), que confirma a presença do vírus de campo. O sequenciamento do fragmento amplificado de US8 revela que os clusters de vírus detectados com cepas variantes emergentes recentemente do tipo 2 DA comuns na China (imagem 5).
A granja é conhecida por ser soropositiva para anticorpos DAVgE. Matrizes previamente infectadas são soropositivas para DAV gE a longo prazo e transmitem anticorpos anti-gE para seus leitões, tornando-as soropositivos para DAV até 15 semanas de idade. Portanto, quando as matrizes são maioritariamente soropositivas, o teste de anticorpos em leitões jovens não é útil para o diagnóstico da doença. DAs falso-positivos podem ser diagnosticados quando a persistência de anticorpos maternos gE não é compreendida.
Resultado
A granja indicou que quando as matrizes DAV-positivas entraram na granja, a ameaça da peste suína africana interrompeu a vacinação de rotina contra a pseudo-raiva. A falha no programa de vacinação para DAV foi resolvida e a granja não registrou mais casos semelhantes.
![Imagen 5. Árvore filogenética PhyML - PRV gE mostrando cepas tipo 1 (kaplan/becker-like), cepas "clássicas" tipo 2 (Fa/SC/Ea-like) e cepas tipo 2 de maior virulência (TJ/hb1201-like). Casos recentes de PRV, este caso [20-1048] e encefalite humana PRV hSD1-2019 são agrupados com TJ/hb1201.](https://www.3tres3.com/3tres3_common/art/br/2342/arvore-filogenetica-phyml-prv-ge_247183.png?w=820&q=1&t=1653979446)
Discussão
A doença de Aujeszky (DA), também conhecida como "pseudoraiva (PRV)", foi relatada como uma doença neurológica fatal em ruminantes em 1813 e muitas vezes foi confundida com raiva em bovinos e cães. Devido à coceira intensa e incontrolável causada por danos nos nervos, a condição era conhecida como "coceira louca", mas às vezes também era chamada de "paralisia bulbar infecciosa". Durante a década de 1930, R. E. Shope relatou que a pseudo-raiva na Europa e a coceira louca nos Estados Unidos eram a mesma doença e era generalizada e endêmica em suínos na maioria dos países produtores de suínos.
O suíno é o hospedeiro natural do vírus de Aujeszky (DAV). A infecção por DAV pode ser leve e passar quase despercebida ou produzir surtos explosivos com alta mortalidade. As diferenças na virulência observada do DAV são o resultado da variação na cepa do vírus, fatores animais e fatores aleatórios.
Os sinais de DAV em suínos reprodutores se manifestam como doença respiratória e síndrome reprodutiva viral com abortos, morte embrionária, problemas de parto, mumificação, leitões fracos ao nascimento e infertilidade.
Infecção ocular por DA em suínos não relatada anteriormente
Os leitões com menos de 6 semanas de idade podem apresentar sinais neurológicos, tremores, ataxia, convulsões, diarreia, dificuldade respiratória e mortalidade elevada. Leitões infectados durante a lactação geralmente apresentam focos brancos de necrose nas amígdalas, fígado e às vezes no baço. Os suínos mais velhos geralmente apresentam sinais respiratórios; tosse, dispnéia e síndrome respiratória suína generalizada quando complicada por problemas coexistentes, como infecção por micoplasmose, Actinobacillus pleuropneumoniae (App), estreptococos, peste suína clássica (PSC), úlceras gástricas e má ventilação. Os sinais do sistema nervoso central (SNC) ocorrem ocasionalmente em suínos de crescimento com DA, mas raramente em animais em idade reprodutiva. Hemorragias podem ser vistas no rim. Circovírus suíno tipo 2 (PCV2), LCR, PSA e PRRS devem ser incluídos no diagnóstico diferencial ou podem ser coinfecções.
O DAV é disseminado verticalmente através de matrizes persistentemente infectadas, fômites, caminhões e instalações sujas e animais reprodutores infectados. Suínos espalham facilmente o DAV pela via respiratória dentro de um espaço aéreo. A transmissão de aerossol em distâncias de vários quilômetros pode ocorrer em ar frio e úmido.
A doença de Aujeszky pode ser vista em outros animais que não suínos, particularmente bovinos, ovelhas, martas, cães e gatos. Pintos recém-nascidos também são suscetíveis. Cães resistentes foram detectados em granjas de suínos infectados com DAV, mas esses animais geralmente são suscetíveis e morrem após o aparecimento de sinais no sistema nervoso central.
A doença de Aujeszky deve ser considerada uma zoonose?
Os humanos são relativamente resistentes. A infecção em humanos é extremamente rara, embora o vírus seja capaz de se replicar em células humanas cultivadas. Infecção em humanos com sinais clínicos leves tem sido relatada a partir de exposição a cães e gatos, com recuperação do vírus e soroconversão. Recentemente, vários casos graves de encefalite e endoftalmite humana foram documentados na China entre trabalhadores de suínos, veterinários de suínos e operadores de frigoríficos. Geralmente, algum histórico de lesão ou trauma está associado a uma infecção humana tão grave. O vírus detectado em casos recentes de DAV em humanos agrupa-se de perto com o DAV detectado neste caso (imagem 5).
Existem vacinas boas e eficazes disponíveis ?
A vacinação é eficaz na redução da gravidade e disseminação do DAV. O DAV pode ser erradicado com a tecnologia atual, mas é endêmico em muitas das principais províncias produtoras de suínos da China, com uma prevalência por granja próxima de 60% em áreas de alta densidade de suínos. Vacinas mortas e vivas modificadas estão disponíveis na China para uso em granjas e a maioria realiza a vacinação contra Aujeszky. Normalmente, as vacinas DAV utilizadas em todo o mundo possuem uma deleção no gene gE que as torna avirulentas no caso de vacinas vivas modificadas e que confere capacidade DAIV (diferenciação de animais infectados e vacinados). As primeiras vacinas deletadas de gE foram a vacina viva de placa pequena (K) avirulenta de Bartha (1961) e a vacina de Bucareste (Buk), conhecida como "Norden". As vacinas DAV com deleções parciais ou completas de gE são usadas. Usada em conjunto com uma estratégia DAIV e isolamento com um sistema de produção "All In/All Out", a vacina é uma ferramenta útil para a eliminação e erradicação de Aujeszky. Não induz imunidade esterilizante ou cria uma "bolha mágica" em torno do suíno para protegê-lo da infecção em condições de campo. No entanto, as matrizes que são repetidamente vacinadas contra o DAV produzem imunidade humoral passiva que protege seus leitõe da infecção até o período pós-desmame. É improvável que as matrizes vacinadas repetidamente transmitam o vírus DAV aos seus leitões ou marrãs não expostas. As vacinas mortas são mais eficazes do que as vivas modificadas como reforço, mas a experiência mostrou que a vacina viva modificada pode ser "boa o suficiente" como reforço em situações em que a vacina morta não está disponível. Quando matrizes são vacinadas, criadas em lotes "All In/All Out" e entram em uma granja de matrizes vacinadas, elas podem permanecer negativas e substituir progressivamente as matrizes infectadas. O vírus de Aujeszky foi eliminado em granjas, áreas e países inteiros com este método.
Aujeszky de maior virulência
Desde cerca de 2011, variantes de "virulência aprimorada" da pseudo-raiva foram relatadas na China. As linhagens "ocidentais" de Aujeszky como Kaplan, Becker e Bartha pertencem ao grupo tipo 1 (imagem 5). Observe que Bartha K-61 tem uma deleção completa de gE. O vírus Aujeszky "clássico" da China/Ásia (ADV) {Ea, Fa, SC} é do tipo 2. As cepas variantes do tipo 2 {TJ, hb1201, jsy7-2021,...} estão implicadas em surtos recentes da doença de Aujeszky (AD) de "virulência aumentada" (com patologia mais grave que o tipo 2 clássico). Aujeszky de encefalite/oftalmite humana, como a mostrada no GenBank: MT469550 (hSD1-2019), está agrupando com o vírus 20-1048 detectado neste caso excepcional, bem como com cepas de maior virulência (imagem 5). Parte do aumento da virulência pode ser devido a alterações na glicoproteína gE, para a qual as vacinas com deleção de Bartha não estimulam a imunidade, ou a alterações em outros loci.
A erradicação da doença de Aujeszky (DA) é possível e viável, tem implicações importantes para a sustentabilidade, segurança alimentar e saúde humana, e eliminaria uma importante fonte de perdas nas granjas de suínos.



