X
XLinkedinWhatsAppTelegramTelegram
0
1
Leia este artigo em:

Claudicação e a relação com a nutrição

Este artigo revisa o efeito dos componentes da dieta sobre o osso e a osteocondrose, principal causa de claudicação e motivo da eliminação de reprodutores jovens. Portanto, conceitos importantes a serem considerados em dietas de criação de leitoas.

A osteocondrose é uma condição articular degenerativa e não infecciosa que tem um componente hereditário. A patogênese começa com condronecrose isquêmica que evolui para ossificação anormal e possíveis fraturas da cartilagem articular. Pode-se considerar que há oportunidade de melhora na causa inicial (80% de prevalência entre 8 e 12 semanas de idade) ou na progressão (com 60-70% de recuperação às 25 semanas de idade). No entanto, a etiologia não é clara (Olstad et al., 2015) e pode incluir trauma ou fragilidade do colágeno (Laverty e Girard, 2013; Finnøy et al., 2017). Além disso, a seleção genética deve ser aplicada para reduzir a prevalência de OC, embora isso possa inicialmente ser difícil, pois o potencial de crescimento magro está geneticamente associado ao OC (Aasmundstad et al., 2013). Em contrapartida, outros fatores que podem afetar a progressão da doença são pouco conhecidos.

Visão macroscópica da articulação do joelho com lesão de osteocondrose grave no côndilo lateral do fêmur.
Visão macroscópica da articulação do joelho com lesão de osteocondrose grave no côndilo lateral do fêmur.
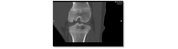
Visão de tomografia computadorizada da mesma lesão. Lesão grave de osteocondrose com ausência de ossificação na região subarticular do côndilo lateral do fêmur.
Visão de tomografia computadorizada da mesma lesão. Lesão grave de osteocondrose com ausência de ossificação na região subarticular do côndilo lateral do fêmur.

O uso dietético de minerais, microminerais ou alguns componentes funcionais (por exemplo, vitaminas) pode modificar a composição e estrutura óssea (Riet et al., 2013). No entanto, sua importância em processos patológicos é controversa. Para o desenvolvimento ósseo, o cálcio (Ca) e o fósforo (P) são muito importantes. Na dieta, é necessária uma relação mínima de Ca:P digestível (1:1) e varia de acordo com o nível de P; por exemplo 1,25:1 se P estiver dentro das recomendações (peso de 50 a 80 kg) NRC (2012). Além disso, as recomendações de Ca para maximizar a mineralização são maiores do que para o crescimento (<1,35:1; Lagos et al., 2018). Sob deficiência de P, a taxa de crescimento e a mineralização óssea são reduzidas, porém, sem efeito sobre a OC.

O enxofre é um mineral necessário para a resistência da cartilagem, participando da união proteoglicana-ácido hialurônico (Myllyharju, 2014), além disso, efeitos terapêuticos estão associados a lesões articulares (Ouattara et al., 2016). Em leitoas, a suplementação de metionina (1,1:1 metionina:lisina) como fonte de enxofre altamente disponível foi associada a uma redução na OC (Frantz et al., 2008). Da mesma forma, e para o magnésio, Counotte et al. (2014) relataram melhorias na OC em potros suplementados com 4 g/d entre 5-12 meses de idade.

Os microminerais (MT) também são elementos essenciais, no entanto, existem diferenças notáveis ​​entre as necessidades de crescimento e as recomendações práticas. De fato, alguns sugerem maiores necessidades de desenvolvimento de ossos e cascos do que de crescimento (por exemplo, perus, Ferket et al., 2009; e porcos, Barneveld e Vandepeer, 2008). No entanto, mais evidências práticas são necessárias. O zinco (Zn) interage com vários componentes da matriz extracelular óssea (por exemplo, osteoblastos, metaloproteinases e fatores de crescimento).

Assim, o aumento de Zn na dieta aumenta o teor de cinzas e a resistência óssea de forma linear (Veum et al., 2009). Da mesma forma, o silício maximiza a formação de colágeno. Suplementando porcos (1.000 mg de silício/kg de ração) foram observadas reduções de OC (Frantz et al., 2008). Por outro lado, embora o manganês participe da síntese de proteoglicanos, ele não afeta o OC. O cobre (Cu) é aparentemente mais importante e catalisa a Cu-lisil oxidase, proporcionando resistência ao colágeno. A suplementação combinada de Cu (250 mg/kg) e Mn (100 mg/kg) melhorou as propriedades biomecânicas da cartilagem e reduziu o OC (Frantz et al., 2008).

Em contraste, Tóth et al. (2016) usaram fontes inorgânicas + orgânicas de MT (150 + 50 g/kg Zn, 50 + 20 mg/kg Cu ​​e 16,5 + 10mg/kg Mn) sem observar efeitos aparentes sobre OC em idades precoces (12 semanas; 100% de prevalência de OC) ou tardia (24 semanas, prevalência de 1,5% de OC). Assim, todos os níveis basais em seus tratamentos pareceram suficientes para reduzir a progressão da OC. Por outro lado, a suplementação de MT semelhante reduziu a incidência de claudicação e melhorou a qualidade óssea (Fabà et al., 2018; 2019).

Esses resultados conflitantes sugerem outras hipóteses mais práticas: o potencial dos MTs pode interagir com o risco inerente ou mecânico de sofrer OC? ou se não, existem interações entre minerais ou outros componentes da dieta (ou seja, antimicrobianos, ZnO, fitato, etc.) que possam causar deficiências temporárias e afetar o CO? De fato, o excesso de Zn pode deslocar a metalotioneína do Cu e a enzima lisil oxidase dependente de Cu), resultando em cartilagem anormal e produção óssea. Questão que é crítica na fase pré-inicial coincidindo com o aparecimento da OC. No entanto, tais interações requerem níveis terapêuticos ou mais elevados de ZnO (Hill et al., 1983).

Outras deficiências, como vitaminas (por exemplo, folacina B), podem ter consequências negativas no desenvolvimento ósseo. A deficiência mais importante é a de vitamina D, que reduz a disponibilidade de Ca e P, afeta o metabolismo ósseo e outras funções fisiológicas (Clarke, 2008). No entanto, os suplementos de vitamina A, B, C, D e E não influenciam a OC (Nakano et al., 1987, Ytrehus et al., 2007).

Altos níveis de açúcares aumentam os picos de insulina e fator de crescimento de insulina. Esses efeitos podem comprometer a atividade dos condrócitos, embora sejam de amplo espectro e não tenham demonstrado aumentar a OC em suínos. Outros suplementos, como sulfato de glucosamina ou glicosaminoglicanos (por exemplo, sulfato de condrito), ou ácidos graxos n-3 foram propostos para melhorar a formação de proteoglicanos e cartilagem, embora nenhum efeito sobre OC tenha sido observado em leitoas (Neil e col., 2005; Frantz et al., 2008).

Está claro que as deficiências nutricionais reduzem a qualidade óssea e podem influenciar a OC. Mas o conflito entre os resultados questiona o potencial dos suplementos nutricionais na OC. Mais pesquisas são necessárias para entender sua patogênese e progressão, especialmente incluindo interações práticas com taxa de crescimento, genética e manejo.

Comentários ao artigo

Este espaço não é um local de consultas aos autores dos artigos, mas sim um local de discussão aberto a todos os usuários da 3tres3.
Insira um novo comentário

Para realizar comentários é necessário ser um usuário cadastrado da 3tres3 e fazer login:

Você não está inscrito na lista A web em 3 minutos

Um resumo semanal das novidades da 3tres3.com.br

Faça seu login e inscreva-se na lista

Artigos relacionados

Você não está inscrito na lista A web em 3 minutos

Um resumo semanal das novidades da 3tres3.com.br

Faça seu login e inscreva-se na lista