Em condições de campo, os problemas respiratórios em porcos raramente são causados por um único agente patogénico, o comum é que vários agentes patogénicos actuem ao mesmo tempo, que somados ao maneio e condições ambientais inadequadas, dão origem ao processo conhecido como Complexo Respiratório Suíno (CRP).
Na maioria dos casos, estão envolvidos os principais agentes primários que afectam o sistema respiratório: Vírus da Síndrome Reprodutiva e Respiratória Suína (PRRSV), Circovírus Porcino tipo 2 (PCV2) Circovírus Porcino tipo 2), Vírus da Gripe Suína (SIV) e Mycoplasma hyopneumoniae (figura 1), que serão acompanhados por bactérias oportunistas que aproveitam a infecção primária para desenvolver sua acção patogénica, como Pasteurella multocida, Bordetella bronchiseptica ou Glaesserella parasuis, entre outros.


Na figura 1, podemos apreciar como M. hyopneumoniae é o agente que participa na maioria das co-infecções encontradas no pulmão de animais diagnosticados em casos de CRP. Este agente patogénico, que ataca os cilios das células do epitélio de brônquios e bronquiolos, alterando o aparelho mucociliar, também provoca uma hiperplasia do tecido linfóide associado à mucosa respiratória. Ambas as acções favorecem a colonização, proliferação e mecanismos patogénicos de outros agentes, tanto primários como secundários, que afectam o aparelho respiratório do porco. Em diferentes estudos experimentais foi possível verificar que, além de favorecer a acção de outros agentes patogénicos, tende a potenciá-la, de modo que as combinações em que M. hyopneumoniae aparece tendem a ser aquelas que têm as piores consequências para os animais afectados e, portanto, para a rentabilidade da exploração.
Uma das co-infecções mais frequentes em explorações de porcos nos casos de PCR é causada por M. hyopneumoniae e PRRSV (figura 2). Nos casos em que essa co-infecção foi diagnosticada, observou-se correlação positiva entre os animais seropositivos para cada um dos dois agentes, ou seja, a maioria dos animais positivos para PRRSV também são positivos para M. hyopneumoniae. Além disso, foi possível comprovar que M. hyopneumoniae prolonga e incrementa a pneumonia produzida pelo PRRSV, o que pode ser devido a que, nos animais co-infectados com ambos os agentes patogénicos, produz-se um aumento de citoquinas pró-inflamatórias, como IL1-β, IL-8 e TNF-α, que incrementam a reacção inflamatória a nível pulmonar, mas também um aumento na síntese da IL-10, que é uma citoquina anti-inflamatória que inibe e modula a produção de outras citoquinas e que poderia permitir perpetuar o dano a nível pulmonar ao impedir que se desencadeasse uma reacção inflamatória descontrolada. A IL-10 por sua vez também é capaz de modular a resposta imunitária do animal, o que junto com a activação de outros mecanismos, altera a resposta imunitária adaptativa, favorecendo que o agente patogénico possa continuar a exercer a sua acção no pulmão durante mais tempo.

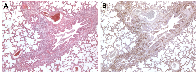
No caso da co-infecção M. hyopneumoniae e PCV2, constactou-se que M. hyopneumoniae aumenta a gravidade das lesões produzidas pelo PCV2 no pulmão e órgãos linfóides, favorecendo uma maior replicação do vírus, bem como a persistência do mesmo nos tecidos (figura 3), aumentando assim a incidência de casos de circovirose sistémica (nome que recebe actualmente o processo denominado PMWS, da sigla inglesa Postweaning Multisystemic Wasting Syndrome).

Em animais co-infectados com M. hyopneumoniae e SIV (Figura 4), foi observado que quando os porcos são infectados com uma estirpe pouco virulenta do vírus de gripe suína após a infecção com M. hyopneumoniae, há um aumento significativo dos sintomas e lesões pulmonares, deduzindo que o micoplasma é capaz de aumentar a virulência dessas estirpes de SIV.

M. hyopneumoniae também aparece frequentemente associada a outras bactérias, sejam agentes primários, como Actinobacillus pleuropneumoniae (figura 5), ou agentes oportunistas, como Pasteurella multocida (figura 6), aumentando a acção destes no pulmão.


Como vimos, quando M. hyopneumoniae aparece em co-infecções ao mesmo tempo que os outros agentes primários da PCR, actua potencializando e prolongando as lesões causadas por estes agentes patogénicos, portanto o seu controlo é essencial para minimizar os efeitos da PCR e reduzir as perdas económicas associadas à doença.









