Aby przeciwdziałać danemu problemowi klinicznemu u dowolnego gatunku zwierząt, konieczne jest ustalenie dokładnej diagnozy choroby. We wszystkich przypadkach badanie kliniczne pacjenta/pacjentów jest podstawą do dalszego rozwoju w zakresie podejścia diagnostycznego.
Nagłe wybuchy chorób stanowią poważne wyzwanie zarówno dla hodowców, jak i lekarzy weterynarii, którzy muszą zidentyfikować i przeciwdziałać przyczynom problemu, aby przywrócić normalną produkcję. W takich okolicznościach lekarz weterynarii staje w roli badacza, ponieważ musi analizować wiele elementów, które mogą przyczynić się do powstania choroby w złożonym scenariuszu obejmującym aspekty związane ze środowiskiem, żywieniem, bezpieczeństwem biologicznym, epidemiologią, obecnością wielu patogenów i interakcją między człowiekiem a świnią.

Choroby występujące w całej populacji mają zwykle podłoże zakaźne lub żywieniowe (toksyczność lub niedobory). Początkowe podejście diagnostyczne zawsze obejmuje dokładne badania kliniczne i epidemiologiczne przeprowadzone przez lekarza weterynarii. Jeśli obraz kliniczny wskazuje na śmiertelność lub ciężką chorobę świń, sekcja zwłok niektórych z nich (tych uważanych za reprezentatywne dla danej choroby) powinna dostarczyć pewnych wskazówek na temat przyczyny lub przynajmniej pozwolić na wykluczenie niektórych czynników etiologicznych.
Sekcja zwłok powinna być przeprowadzona w sposób uporządkowany, systematyczny i kompleksowy.
Obecność zmian chorobowych w większości przypadków może nie wskazywać na konkretne przyczyny, ale pozwala zorientować się w nich lub zawęzić listę diagnostyki różnicowej
Przykładowo, objawy zapalenia płuc wskazują na szereg możliwości etiologicznych; w niektórych przypadkach konieczne jest przeprowadzenie dodatkowych badań (laboratoryjnych).





Analizy laboratoryjne: nie wszystko złoto, co się świeci!
Różne techniki analityczne pomagają zidentyfikować potencjalne patogeny (wirusy, bakterie, pasożyty, grzyby) lub toksyny związane z problemem klinicznym. Obecnie najczęściej stosowane są badania z zakresu biologii molekularnej, takie jak reakcja łańcuchowa polimerazy (PCR) i jej odmiany (jakościowa, ilościowa, dla DNA lub RNA). Dużą zaletą tej techniki jest jej czułość (możliwość wykrycia minimalnych ilości genomu patogenu lub genu kodującego toksynę), ale jest to również jej wada, ponieważ samo wykrycie patogenu lub toksyny w scenariuszu endemicznym nie wystarcza do ustalenia jednoznacznej diagnozy etiologicznej.
Inne techniki laboratoryjne, takie jak izolacja bakterii (w tym antybiogram) są niezwykle przydatne, ponieważ pozwalają na ustalenie diagnozy etiologicznej i umożliwiają przypuszczalnie skuteczne leczenie. Z kolei techniki wykrywania przeciwciał są doskonałymi narzędziami monitorowania, ale nie dają wystarczających możliwości diagnostycznych, ponieważ obecność takich przeciwciał zależy od szczepienia i/lub statusu zakażenia, a także odporności matczynej.
Histopatologia: narzędzie zwiększające spójność i wiarygodność procesu diagnostycznego.
Oprócz tych badań laboratoryjnych, które koncentrują się na określaniu patogenów lub toksyn, to właśnie histopatologia może stanowić istotną podstawę do ustalenia rzeczywistej przyczynowości problemu klinicznego. Innymi słowy, wykrycie konkretnego patogenu lub toksyny musi być spójne z obserwacjami klinicznymi, epidemiologicznymi i zmianami makroskopowymi, a analizy histopatologiczne mogą ostatecznie potwierdzić taką spójność.
Dobrym przykładem przydatności oceny mikroskopowej byłoby wykrycie wirusa metodą PCR w chorobie z objawami oddechowymi, w którym typowe zmiany histologiczne wywołane przez ten czynnik nie występują w płucach (zakładając, że świnia lub grupa świń jest reprezentatywna dla obserwowanej choroby). Taki scenariusz powinien skłonić do zmiany podejrzewanej diagnozy i dalszego badania.
Specjalista chorób świń powinien uważać histopatologię za bardzo cenne narzędzie, co najmniej tak samo ważne jak PCR, izolacja bakterii lub techniki wykrywania przeciwciał. Analizy mikroskopowe pozwalają na diagnozy morfologiczne, które potwierdzają lub zaprzeczają temu, co zostało ustalone za pomocą badań klinicznych, epidemiologicznych lub innych wyników laboratoryjnych, przyczyniając się tym samym do ustalenia prawdopodobnej etiopatogenezy problemu klinicznego. Te całościowe informacje są ważne, ponieważ stanowią swego rodzaju predyktor tego, w jaki sposób środki kontroli i zapobiegania wdrożone w celu przeciwdziałania chorobie mogą zadziałać lub nie.
Pobieranie próbek do badania histopatologicznego (i innych badań laboratoryjnych) jest stosunkowo łatwe, ale wymaga pewnej wiedzy na temat patogenezy choroby, a także pewnych umiejętności technicznych:
- Próbki muszą być pobrane ze świeżych zwłok (najlepiej niedawno padłych lub poddanych eutanazji świń).
- Tkanki należy natychmiast utrwalić poprzez zanurzenie w 10% zbuforowanej formalinie.
- Przesyłanie schłodzonych próbek do analiz histopatologicznych nie jest zalecane, ponieważ występuje pewien stopień autolizy.
- W próbkach, które zostały zamrożone mogą występować artefakty, które utrudniają lub uniemożliwiają interpretację mikroskopową.
- Rozmiar próbki tkanki musi być stosunkowo mały (lub przynajmniej cienki, aby sprzyjać utrwaleniu).
- Próbki powinny zawierać wyraźnie zmienione fragmenty, jak również takie z przypuszczalnie normalną tkanką (rysunek 1).
- W przypadku próbek jelit ważne jest, aby podłużnie otworzyć jelito, aby zapewnić bezpośredni kontakt formaliny z błoną śluzową jelit.
- Jednak tak duży organ jak mózg powinien być utrwalony w całości lub pólkulami; powodem tej procedury jest zapewnienie, że topografia mózgu zostanie utrzymana podczas utrwalania, a następnie patolog może wybrać odpowiednią część, aby spróbować ustalić najbardziej prawdopodobną diagnozę.

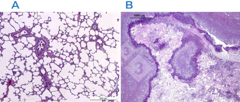
Co ważne, oprócz zwykłej analizy histopatologicznej (opartej na barwieniu hematoksyliną i eozyną, rysunek 2), inne dodatkowe badania patologiczne mogą pomóc w poszukiwaniu czynników etiologicznych.

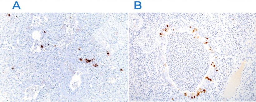
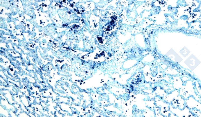
Najczęściej stosowanymi są immunohistochemia (ryc. 3) i hybrydyzacja in situ (ryc. 4), które umożliwiają wykrywanie patogenów w miejscu ich występowania, potwierdzając ich rolę w kontekście klinicznym i patologicznym. Ponadto istnieją inne techniki (barwienia histochemiczne), które nie wystarczają do ustalenia konkretnej etiologii, ale są w stanie wskazać przyczynę (np. barwienie Groccota w celu wykrycia grzybów lub barwienie Grama w celu wykrycia bakterii Gram-dodatnich lub Gram-ujemnych).


Podsumowując, lekarz weterynarii zajmujący się trzodą chlewną, poza przeprowadzaniem badania klinicznego, epidemiologicznego i sekcyjnego, ma wiele możliwości diagnostycznych, w których histopatologia może odgrywać kluczową rolę. Skuteczna komunikacja między klinicystami i patologami zwiększa możliwości diagnostyczne, prowadząc do wcześniejszego i skuteczniejszego rozwiązywania problemów klinicznych.




