Wirusy są ważnymi patogenami wpływającymi na układ oddechowy świń. Należą do nich wirus zespołu rozrodczo-oddechowego świń (PRRSV), cirkowirus świń typu 2 (PCV2), wirus grypy świń (SIV) i koronawirus oddechowych świń (PRCV). Pierwsze trzy są uważane za czynniki pierwotne, które same mogą wywołać chorobę, czwarty natomiast jest czynnikiem wtórnym, działającym, gdy doszło do wcześniejszej infekcji innym czynnikiem pierwotnym lub zwierzę ma zaburzoną odporność.
PRRSV jest wirusem RNA należącym do rzędu Nidovirales, rodzina Arteriviridae, który jest obecnie włączony do nowej generacji Betaarterivirus (wcześniej rodzaj Arterivirus). Jego zauważalna różnorodność genetyczna sprawiła, że dwa genotypy PRRSV (europejski i północnoamerykański) zostały uznane za dwa różne gatunki wirusowe: suid Betaarterivirus 1, odpowiadający genotypowi 1 lub europejski (PRRSV-1), którego prototypem jest wirus Lelystad (LV ); i Betaarterivirus suid 2, odpowiadający genotypowi 2 lub północnoamerykańskiemu (PRRSV-2), którego prototypem jest szczep VR-2332.

PRRSV jest w stanie modulować, a nawet unikać odpowiedzi immunologicznej gospodarza. Wirus zakaża makrofagi pęcherzyków płucnych, zmieniając ich funkcję a następnie powodując ich śmierć przez martwicę i / lub apoptozę, co opóźnia początek skutecznej adaptacyjnej odpowiedzi immunologicznej i predysponuje zwierzę do wtórnych infekcji.
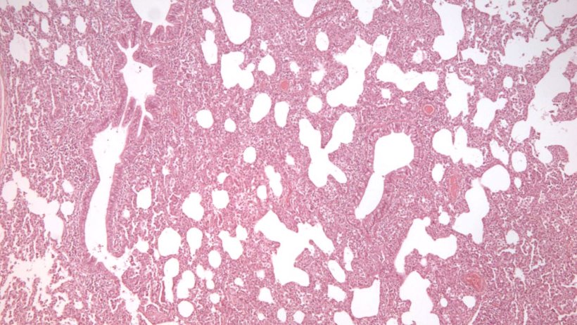
Postać oddechowa występuje głównie u świń rosnących i tucznikach, a zmiany charakteryzują się śródmiąższowym zapaleniem płuc. Makroskopowo płuca nie zapadają się po usunięciu z jamy klatki piersiowej, przyczyną jest gumowatą konsystencją tkanki płucnej i wieloogniskowe niejednolite obszary zaczerwienienia rozmieszczone w miąższu płuc (ryc. 1). Na poziomie mikroskopowym występuje pogrubienie ścian pęcherzyków związane z naciekaniem limfocytów i makrofagów, a także hiperplazja i hipertrofia pneumocytów typu II (ryc. 2).

Rycina 1: Śródmiąższowe zapalenie płuc spowodowane przez PRRSV

Rycina 2: Śródmiąższowe zapalenie płuc, charakteryzuje się pogrubieniem ścian pęcherzyków płucnych przy zakażeniu PRRSV.
PCV2-jest małym, pozbawionym otoczki jednoniciowym wirusem DNA należącym do rodzaju Circovirus i rodziny Circoviridae. Jest czynnikiem wywołującym choroby zwanych chorobami związanymi z cirkowirusem, w tym PCVAD (choroba związana z cirkowirusem świń) - klasycznie znana jako poodsadzeniowy wieloukładowy zespół wyniszczający (PMWS), choroby układu oddechowego związana PCV-2, choroba układu pokarmowego związana PCV-2 , Niewydolność rozrodcza związana PCV-2 oraz zespół skórno-nerkowy (PDNS).
PCV2 namnaża się w różnych komórkach układu odpornościowego, takich jak makrofagi, komórki dendrytyczne lub limfocyty, powodując wyczerpanie limfoidów i zmniejszając zdolność gospodarza do reagowania na pierwotne i / lub wtórne patogeny.
Zmiany w płucach wywołane przez PCV2 są makro- i mikroskopowo podobne do tych spowodowanych przez PRRSV. PCV2 powoduje śródmiąższowe zapalenie płuc, tak jak PRRSV, musimy więc zastosować inne techniki diagnostyczne, takie jak immunohistochemia (ryc. 3), hybrydyzacja in situ lub PCR w celu ustalenia diagnozy. Często te dwa czynniki zakaźne izoluje się razem, ponieważ zakażenie PRRSV wiąże się ze zwiększoną replikacją i wirulencją PCV2.

Rycina 3: Komórki znakowane immunologicznie na PCV2 w płucach
SIV jest polimorficznym wirusem otoczkowym należącym do rodziny Orthomyxoviridae, który obejmuje siedem różnych rodzajów: Influenzawirus A, B, C i D, Isavirus, Quaranjavirus i Thogotovirus. Chociaż u świni zidentyfikowano rodzaje Influenzawirusa A, B, C i D, większość szczepów wywołujących grypę świń jest zaliczana do wirusa grypy rodzajów A i C.
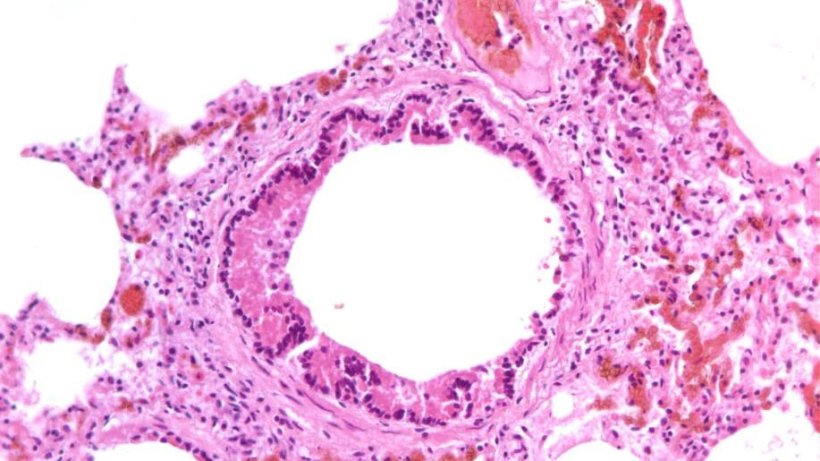
SIV replikuje się w komórkach nabłonkowych górnych i dolnych dróg oddechowych, zmieniając funkcjonowanie układu śluzowo-rzęskowego, co z kolei sprzyja rozwojowi wtórnych infekcji bakteryjnych. Główną zmianą, jaką powoduje w płucach, jest śródmiąższowe zapalenie oskrzeli, charakteryzujące się makroskopowo obecnością rozproszonych, ciemnoczerwonych lub brązowych zmian w płatach czaszkowo-brzusznych lub wieloogniskowych o różnych rozmiarach, bardzo podobnych do tych spowodowanych przez Mycoplasma hyopneumoniae (ryc. 4). Na poziomie mikroskopowym powoduje martwicze zapalenie oskrzelików (ryc. 5), któremu towarzyszy obecność nacieków limfohistiocytarnych okołooskrzelowych w przegrodzie pęcherzykowej i śluzowo-ropny wysięk w oskrzelach.

Rycina 4: Płaty czaszki i środkowe dotknięte śródmiąższowym zapaleniem oskrzeli wywołanym przez SIV

Rycina 5: Martwicze zapalenie oskrzelików powodowane przez zakażenie SIV
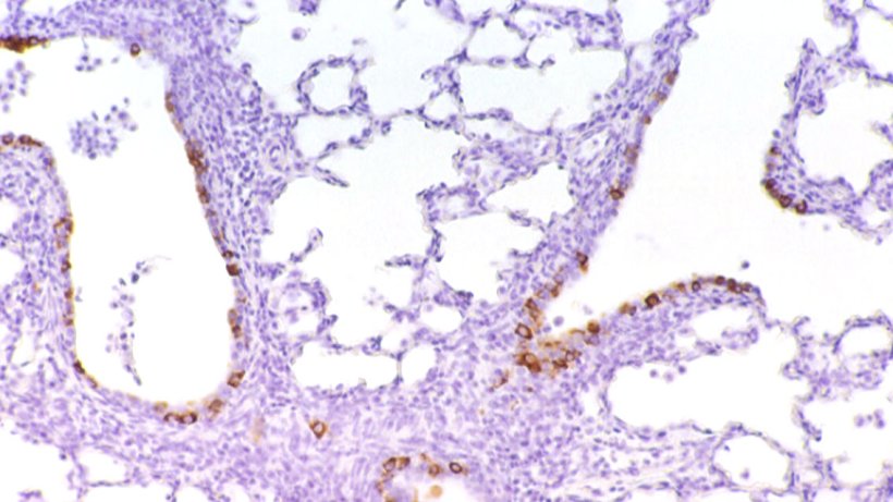
Koronawirus oddechowy świń. (PRCV)jest mutantem delecyjnym wirusa zakaźnego zapalenia żołądka i jelit (TGEV) ze specjalnym tropizmem do dróg oddechowych. Infekuje komórki nabłonkowe jamy nosowej, tchawicy, oskrzeli i oskrzelików (ryc. 6) oraz pneumocyty typu I i II. Zmiany w płucach charakteryzują się makroskopowo obecnością skonsolidowanych czerwonych do brązowych obszarów o nieregularnych granicach zlokalizowanych głównie w płatach środkowych i pomocniczych (ryc. 7).

Mikroskopowo wzór zmian jest podobny do wieloogniskowego zapalenia śródmiąższowego oskrzeli, charakteryzującego się martwicą komórek oskrzeli i nabłonka oskrzelowego oraz metaplazją płaskonabłonkową. Występuje również naciek limfocytów przegrody okołonaczyniowej i pęcherzykowej, któremu towarzyszy proliferacja pneumocytów typu II oraz obecność martwiczych komórek nabłonkowych i leukocytów w świetle dróg oddechowych i pęcherzyków płucnych.

Rycina 6: Komórki znakowane immunologicznie dla PRCV w nabłonku oskrzeli

Rycina 7: Zapalenie śródmiąższowe oskrzeli spowodowane przez PRCV
Zespół oddechowy świń (PRDC) jest chorobą multietiologiczną, a PRRSV, PCV2 i SIV odgrywają podstawową rolę, ponieważ powodują opóźnienie odpowiedzi immunologicznej (PRRSV, PCV2) oraz uszkodzenie funkcjonalności układu śluzowo-rzęskowego (SIV).







