Dostępne testy
Reakcja łańcuchowa polimerazy (PCR)
- Wykrywa obecność określonej sekwencji wirusowego kwasu nukleinowego (RNA)
- Rodzaje próbek: tkanki jelitowe, kał, wymazy z odbytu, płyny ustne itp.
- Zalety:
- Bardzo wysoka czułość (możliwość wykrycia niewielkich ilości wirusa)
- Wczesne wykrywanie - ostre przypadki powinny być dodatnie
- Można stosować wiele różnych rodzajów próbek (tkanka jelitowa, kał, wymazy z odbytu, płyny ustne itp.)
- Umiarkowany koszt
- Często można połączyć 10 próbek kału/wymazów lub próbek tkanki jelitowej, aby obniżyć koszty, jednocześnie minimalizując utratę czułości.
- Często nie łączy się płynów ustnych ze względu na oczekiwane wyższe wartości Ct (niższe stężenia wirusa), co może skutkować znaczną utratą czułości.
- Wady:
- Sekwencjonowanie potrzebne do odróżnienia wirusa szczepionkowego od wirusa typu dzikiego
- Zanieczyszczenie środowiska może generować wiele dodatkowych wyników - duże ilości wirusa są wydalane przez zakażone świnie
Test immunoenzymatyczny (ELISA)

- Wykrywa obecność przeciwciał
Rodzaje próbek: surowica, płyny ustne - Zalety:
- Zwierzęta pozostają dodatnie przez kilka tygodni, zwłaszcza IgA w płynach ustnych
- Może być stosowany w przypadkach chronicznych
- Wady:
- Mogą występować różnice w wykrywaniu między różnymi testami
- Zwierzęta stają się dodatnie serologicznie w ciągu 7-14 dni.
- Nie można odróżnić przeciwciał matczynych od poinfekcyjnych
- Nie można odróżnić zakażenia szczepionką od zakażenia wirusem typu dzikiego
- Najlepiej mieć test ELISA, który wykrywa poziomy IgA, szczególnie w przypadku płynów ustnych.
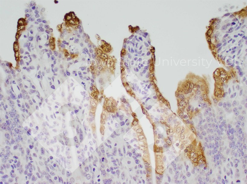
Immunohistochemia (IHC)
- Wykrywa obecność antygenu wirusowego
- Rodzaje próbek: tkanki jelitowe
- Zalety:
- Wykrywa wirusa w miejscu uszkodzenia (dobry dowód związku przyczynowego)
- Potrafi zidentyfikować niskie vs umiarkowane vs wysokie ilości obecnego wirusa

- Wady:
- Należy dostarczyć prawidłową próbkę tkanki
- Wymaga obecności znacznie większej ilości wirusa niż PCR
- Ocena tylko małej próbki tkanki
- U prosiąt kosmki jelitowe są szybko niszczone, co powoduje dramatyczne zmiany w ilości obecnego wirusa (barwienie) w ciągu zaledwie 2 dni.
Immunofluoerscencja (IFA)
- Wykrywa obecność przeciwciał
- Rodzaje próbek: surowica
- Zalety:
- Wysoka czułość wykrywania
- Wady:
- Niewykonalne dla dużej liczby próbek
- Na wyniki ma wpływ izolat wirusa użyty do testu
- Rzetelność wyniku w dużym stopniu zależy od umiejętności technika i różni się znacznie między laboratoriami
Interpretacja wyniku
PCR
- Dodatni - wirus jest obecny. Niedawne szczepienie zmodyfikowanym żywym wirusem może skutkować dodatnimi wynikami PCR. Po zakażeniu wydalane są bardzo duże ilości wirusa (bardzo niskie wartości Ct; jednocyfrowe), zwłaszcza u młodych świń. Wydalanie i skażenie środowiska może występować przez długi czas.
Tabela 1. Duże ilości cząstek wirusa są wydalane z kałem zakażonych prosiąt (jednocyfrowe wartości Ct w PCR), co powoduje duże zanieczyszczenie środowiska.
| PED PCR Ct a liczba kopii genomowych | |
|---|---|
| 42 | 1 |
| 39 | 10 |
| 36 | 100 |
| 32 | 1,000 |
| 29 | 10,000 |
| 26 | 100,000 |
| 22 | 1,000,000 |
| 19 | 10,000,000 |
| 16 | 100,000,000 |
| 12 | 1,000,000,000 |
| 9 | 10,000,000,000 |
| 6 | 100,000,000,000 |
- Ujemny - Ujemny lub wirus mógł zostać przeoczony, jeśli test został przeprowadzony późno po zakażeniu.
ELISA
- Dodatni - przeciwciała matczyne lub wcześniejsza ekspozycja (zwykle > 7-14 dni po ekspozycji) na szczepionkę lub wirusa typu dzikiego.
- Ujemny - Ujemny, zakażenie zbyt wcześnie, aby je wykryć (zwykle musi nastąpić co najmniej 7-14 dni po ekspozycji) lub zbyt długo po zakażeniu (szczególnie w przypadku pomiaru IgG w surowicy).
IHC
- Dodatni - wirus jest obecny w miejscu uszkodzenia.
- Ujemny - Ujemny lub infekcja nastąpiła zbyt późno, aby wykryć wirusa
IFA
- Dodatni - przeciwciała matczyne lub wcześniejsza ekspozycja (> 7-14 dni po ekspozycji) na szczepionkę lub wirus typu dzikiego.
- Ujemny - brak odpowiedzi na szczepionkę lub wirusa typu dzikiego lub infekcja zbyt wczesna do wykrycia (musi nastąpić co najmniej 7-10 dni po ekspozycji)
Możliwe scenariusze
Biegunka prosiąt z bardzo wysoką śmiertelnością w porodówce
- Jelita od 2-5 prosiąt do badań histologicznych i IHC
- Jelita lub zawartość kału / wymazy od 5 prosiąt i badanie jako 1 próbka zbiorcza za pomocą PCR
Loszki z biegunką +/- wymioty
- Pobrać płyny ustne z 2 do 4 różnych kojców i przetestować indywidualnie za pomocą PCR. Nie należy łączyć próbek do badań.
- Pobrać od 10 do 15 wymazów z odbytu od świń z objawami klinicznymi lub losowo i przetestować metodą PCR. Można łączyć w grupy po 5 do testów PCR.
Badanie loszek w izolacji po ekspozycji na żywego wirusa PED z gospodarstwa przed wprowadzeniem do stada
- Nie zaleca się przeprowadzania testów, ponieważ skażenie środowiska będzie wysokie, a loszki będą wykazywały dodatni wynik w badaniu kału lub płynów ustnych przez kilka tygodni, nawet po tym, jak przestaną rozsiewać wirusa i będzie można je bezpiecznie wprowadzić do stada hodowlanego.
Warchlak z ostrą biegunką po odsadzeniu
- Pobrać płyny ustne z 2 do 4 różnych kojców i przetestować indywidualnie za pomocą PCR. Nie należy łączyć próbek do badań.
- Pobrać od 10 do 15 wymazów z odbytu od świń z objawami klinicznymi lub losowo i przetestować metodą PCR. Można łączyć w grupy po 5 do testów PCR.

















