Das Porzine Circovirus Typ 2 (PCV2) ist einer der wirtschaftlich bedeutendsten Krankheitserreger für die Schweineindustrie. Dieses kleine und ubiquitär vorkommende Virus kann eine Vielzahl von Erkrankungen auslösen, die heute zusammenfassend als Porzine Circovirus-bedingte Erkrankungen (PCVDs = engl. für Porcine Circovirus Diseases) bezeichnet werden. Die PCV2-bedingte systemische Erkrankung (PCV-SD = systemic disease; früher als postweaning multisystemic wasting syndrome, PMWS, bekannt) stellt unter den PCVDs die bedeutendste Erkrankung dar. Obwohl eine alleinige Infektion mit PCV2 bereits die komplette Bandbreite der PCV-SD an klinischen Symptomen und Läsionen (Abb. 1) auslösen kann, verläuft die Erkrankung schwerer, wenn eine zeitgleiche Infektion mit anderen Erregern erfolgt. Einer dieser möglichen anderen Erreger ist Mycoplasma hyopneumoniae (M. hyo). M. hyo ist der Hauptverursacher der Enzootischen Pneumonie (EP), einer chronischen Atemwegserkrankung, die hauptsächlich Mastschweine betrifft. Eine broncho-interstitielle Pneumonie mit BALT Hyperplasie (engl. broncho-alveolar lymphoid tissue, Abb. 2) stellt eine typische Läsion bei EP dar. Zusammen mit anderen Krankheitserregern, PCV2 eingeschlossen, spielt M. hyo eine wichtige Rolle beim porcine respiratory disease complex (PRDC). Deshalb ist die Diagnose und Unterbrechung der Interaktionen zwischen diesen beiden Erregern von großer Bedeutung für Schweineproduzenten und Tierärzte weltweit.
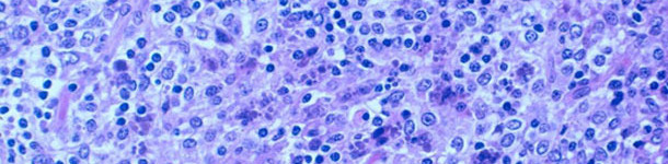
![]() |
![]() |
| Abb. 1: Hgr. Lymphozytendepletion mit granulomatöser Entzündung des Lymphgewebes und intrazytoplasmatischen Einschlusskörperchen. | Abb 2: Broncho-interstitielle Pneumonie mit BALT Hyperplasie (engl. broncho-alveolar lymphoid tissue) verursacht durch eine experimentelle M. hyo Infektion |
In der Praxis wurden häufig Tiere beobachtet, die zeitgleich mit PCV2 und M. hyo infiziert waren. Eine kürzlich durchgeführte Felduntersuchung konnte belegen, dass bezüglich M. hyo seropositive Tiere ein größeres Risiko hatten, einen höheren Schweregrad der PCVD auszubilden. Allerdings sollte in diesem Zusammenhang bedachtwerden, dass eine Infektion oder das Auftreten von Antikörpern gegen diese beiden Erreger nicht zwingend zu einem Zusammenspiel dieser Erreger und damit zur Erkrankung führt. Und deshalb sollten aus Prävalenzstudien auch keine Rückschlüsse in dieser Hinsicht angestellt werden. Daher sollten die die tatsächlichen Auswirkungen einer Co-Infektion unter experimentellen Bedingungen untersucht werden. Allerdings führten experimentelle Co-Infektionen von Schweinen mit M. hyo und PCV2 zu unterschiedlichen Ergebnissen. So wurde bei einer Studie, bei der naive Schweine zunächst mit M. hyo und zwei Wochen später mit PCV2 infiziert wurden, schwerere PCV2-bedingte Läsionen beobachtet als bei einer Monoinfektion. Dieser Anstieg im Schweregrad wurde auf die Fähigkeit von M. hyo, die Proliferation von Makrophagen hochzuregulieren, zurückgeführt. Denn durch das schnelle Wachstum der Makrophagen wird auch eine PCV2 Replikation zusammen mit einer Änderung der Zytokin-mRNA Expression begünstigt werden. Im Gegensatz dazu führte bei einer anderen Studie eine zeitgleiche Infektion mit M. hyo und PCV2 bei seropositiven Schweinen nicht zu solchen synergistischen Effekten. Diese unterschiedlichen Ergebnisse könnten eventuell durch die unterschiedlichen Studiendesigns erklärt werden (Tabelle 1). Demzufolge können PCV2-bedingte Läsionen durch eine M. hyo Infektion zwar vermehrt vorkommen, allerdings spielen noch weitere Faktoren eine Rolle.

Tabelle 1: Unterschiede im Studiendesign bei zwei Co-Infektionsversuchen mit M.hyo und PCV2, die zu unterschiedlichen Ergebnissen führten.
| Opriessnig et al., 2004 | Sibila et al., 2012 | ||
|
Alter der Schweine zum Zeitpunkt der Infektion |
M.hyo | 4 Wochen | 6 Wochen |
| PCV2 | 6 Wochen | 6 Wochen | |
| Herkunft der Tiere | Seronegativ gegenüber beiden Erregern | Seropositiv gegenüber beiden Erregern | |
| Verwendeter Stamm und Dosis des M.hyo Inokulums | Stamm 232 in Gewebe-Homogenat, 105 CCU/ml | Stamm 98 in frischer Kultur, 106 CCU/ 5 ml am 1. Tag und 109 CCU/ 5 ml am 2. Tag | |
Ein vermehrtes Auftreten von PCV2-bedingten Läsionen wurde in verschiedenen Feld- und Laborstudien auf eine Stimulierung des Immunsystems zurückgeführt. Zunächst wurde die Impfung gegen M. hyo als ein solcher Stimulus betrachtet, der diePCV2 Replikation verstärken könnte. Später hielt man eher bestimmte Adjuvantien als den Impfstoff selbst für den Auslöser. Um diese angeblich verstärkte PCV2 Replikation zu vermeiden, wurde empfohlen, gegen M. hyo zu impfen, bevor es zu einer Zirkulation von PCV2 kommt. So konnte z. B. unter experimentellen Bedingungen beobachtet werden, dass eine Impfung gegen M. hyo zwei bis vier Wochen vor einer PCV2 Exposition nicht zu einer Verstärkung der PCV2-SD Läsionen führt.
Bei beiden Erregern haben sich die Impfstrategien mehr oder weniger ähnlich entwickelt: von Impfstoffen, die zweimal verabreicht werden (2-Shot) zu Impfstoffen, die einmal appliziert werden (1-Shot). Überdies führte die Tatsache, dass die Impfung gegen PCV2 und M. hyo zeitlich zusammenfällt, zu der Überlegung, ob die beiden Impfstoffe zeitgleich und ortsgetrennt oder als Kombination verabreicht werden könnten. Diese Vorgehensweise würde die Arbeit und den Stress für die Tiere reduzieren. Allerdings sollte bei solchen Strategien die Wirksamkeit beider Impfstoffe neu überprüft werden. Es mangelt heute aber noch an wissenschaftlich begutachteten Studien, die die Wirksamkeit einer Kombinations- mit einer zeitgleichen und ortsgetrennten Impfung verglichen haben und deshalb sind wissenschaftliche Schlussfolgerungen schwierig zu ziehen.
Nach mehrjähriger Anwendung konnte weltweit gezeigt werden, dass die Impfung gegen PCV2 und M .hyo dabei hilft, das Ausmaß der Läsionen zu reduzieren und die Produktionsparameter zu verbessern. Allerdings deuteten neueste Feldstudien auch darauf hin, dass der Einsatz von Impfstoffen bei Saugferkeln (wie diese beiden Impfstoffe) die Leistung nach dem Absetzen direkt beeinflusst (reduzierte Futteraufnahme und verminderter Zuwachs). Nichtsdestoweniger sollten bei einem erhöhten Erregerdruck die zwar direkten aber nur kurzfristigen negativen Effekte der Impfung gegenüber dem Nutzen und den Vorteilen während des gesamten Produktionszyklus abgewogen werden.




