Getahvirus (GETV), một loại alphavirus chuỗi RNA đơn, lần đầu tiên được phân lập từ muỗi ở Malaysia vào năm 1950. Những con muỗi này có liên quan đến một đồn điền cao su ở Malaysia. Loại virus này được đặt tên theo từ getah trong tiếng Bahasa có nghĩa là “cao su”, hay nhựa mủ của cây cao su. Năm 1978, dịch bệnh GETV bùng phát ở Nhật Bản gây sốt, phát ban và sưng chân ở ngựa đua. Getahvirus phổ biến ở châu Á và tỷ lệ mắc bệnh của nó thường biến đổi, nhìn chung khá thấp nhưng tỷ lệ mắc bệnh đang tăng lên trong những năm gần đây.


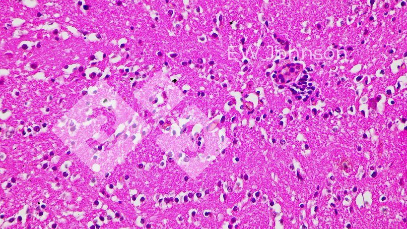
Ca bệnh Getahvirus trên heo đầu tiên chúng tôi quan sát thấy là tại đàn heo 2000 nái sinh sản ở phía bắc Trung Quốc vào đầu mùa thu năm 2022. Các cá thể heo trong nhiều ổ có biểu hiện sốt >40° C, thiếu phối hợp chuyển động, run rẩy, ủ rũ, tiêu chảy và chết (Hình 1). Tất cả heo lúc mới sinh đều có biểu hiện bình thường. Khoảng một nửa số heo trong ổ bị ảnh hưởng bị bệnh trong vài ngày đầu đời. Tỷ lệ chết ở những con heo bị bệnh trong một ổ là gần 100% mặc dù đã được điều trị, trong khi những con heo cùng ổ không bị bệnh vẫn phát triển bình thường và có vẻ khỏe mạnh. Tỷ lệ chết tăng cao (trên mức bình thường dự kiến) vào khoảng 500 con heo trong số khoảng 100 ổ heo đã đẻ và cai sữa. Không phải tất cả ổ đẻ đều bị ảnh hưởng và các ca bệnh chỉ giới hạn ở một chuồng đẻ. Bệnh dường như không lây sang heo con khỏe mạnh. Mổ khám xác heo cho thấy phổi có kết cấu như cao su (viêm phổi kẽ), hạch phổi xuất huyết lan rộng và viêm não xuất huyết có tơ huyết (fibrin) (Hình 2).

Kết quả xét nghiệm PCR âm tính với PRRS, Pseudorabies (PRV, bệnh Aujeszky), circovirus PCV2 và PCV3 trên heo, Dịch tả heo cổ điển (CSF) và Dịch tả heo châu Phi (ASF). Đàn heo trên được biết là không nhiễm PRRS, PRV, CSF và ASF trước sự kiện này. Thực hiện xét nghiệm PCR tìm Getahvirus ở phổi heo con cho kết quả dương tính mạnh. Mô bệnh học cho thấy viêm phổi kẽ nặng (Hình 3) và viêm màng não xuất huyết có tơ huyết (Hình 4). Chẩn đoán bệnh Getahvirus trước và sau khi sinh đã được đưa ra. Trang trại được thông báo rằng căn bệnh này chủ yếu lây truyền qua muỗi và các biện pháp kiểm soát đã được tiến hành. Không có thêm trường hợp nhiễm bệnh hoặc dấu hiệu lâm sàng nào xảy ra tại trang trại và hoạt động sản xuất đã trở lại mức bình thường.


Ca bệnh thứ hai xảy ra tại một trang trại từ đẻ đến cai sữa với 2400 nái ở phía đông miền trung Trung Quốc vào tháng 9 đến tháng 10 năm 2022. Một cơn bão xảy thai ảnh hưởng đến 2 trong số 4 đơn vị sinh sản của trại lúc đầu được cho là do PRRS mặc dù tình trạng đàn là dương tính - ổn định. Cơn bão sẩy thai kéo dài vài tuần, đỉnh điểm là khoảng 20 lứa/tuần bị sảy, chủ yếu là trong khoảng thời gian thai kỳ từ 70 đến 110 ngày (Hình 5).

Một số con động dục trở lại bất thường cũng được quan sát thấy. Một số heo nái biểu hiện biếng ăn nhẹ với một hoặc hai ngày bỏ ăn. Tỷ lệ chết của heo nái thấp đến mức không đáng kể. Không có dấu hiệu đáng kể nào khác xảy ra trong đàn. Hội chứng sẩy thai muộn/sinh non khiến virus PRRS trở thành mối nghi ngờ chính. Kết quả xét nghiệm PCR tìm PRRS là âm tính, và xét nghiệm PCR lặp lại đối với bào thai bị sẩy và máu heo nái bị sẩy thai là âm tính với PRRS, CSF, PCV2, PCV3, PRV, CSF và ASF. PCR trên phổi và dịch ngực của bào thai bị sẩy và máu của heo nái bị sẩy thai cho kết quả dương tính khá mạnh với Getahvirus bằng rt-PCR. Kết quả chẩn đoán nhiễm Getahvirus dẫn đến sẩy thai. Trang trại báo cáo có một số lượng lớn muỗi và ruồi Culicoid đã gây bệnh cho heo nái. Các biện pháp khắc phục đã được thực hiện để kiểm soát muỗi và vấn đề đã được giải quyết.
Ca bệnh thứ ba ảnh hưởng đến hoạt động chăn nuôi quy mô lớn vài nghìn heo nái từ đẻ đến cai sữa ở phía bắc miền trung Trung Quốc diễn ra vào cuối mùa thu năm 2022 với tình trạng sẩy thai tăng mạnh. Mối lo ngại về một đợt sẩy thai lớn có thể xảy ra. Trang trại có sức khỏe cao âm tính với PRV, ASF, CSF và PRRS. Xét nghiệm PCR dịch khoang ngực và phổi của bào thai cho kết quả dương tính mạnh với Getahvirus và âm tính với các bệnh địa phương và xuyên biên giới phổ biến khác bao gồm PRRS, CSF, PRV, ASF, PCV2 và PCV3. Không có dấu hiệu đáng kể nào khác xảy ra trong đàn và việc sẩy thai chấm dứt nhờ việc kiểm soát muỗi và ruồi cũng như thời tiết chuyển lạnh đã kết thúc của mùa các loài chân đốt biết bay này.
Chúng ta có nên lo lắng về Getahvirus?
Năm 2022 đánh dấu cuộc chạm trán đầu tiên của chúng ta với Getahvirus. Lúc đầu, một nhân viên trong phòng thí nghiệm đã tìm ra nó nhờ một phát hiện tình cờ về một dải lỗi không xác định trên gel PCR. Trình tự của dải này cho thấy cDNA của virus Getah, sau đó điều này được xác minh bằng các mẫu gốc bằng các đoạn mồi được thiết kế phù hợp.
“Siêng năng là mẹ của may mắn.” – Cervantes
Chúng tôi cảm thấy may mắn khi nhân viên của mình phát hiện những điều như vậy và được tự do để thể hiện bản thân trong công việc của mình.
“Tự do là một trong những món quà quý giá nhất mà thiên đường ban tặng cho con người.” – Sancho, Don Quijote
Getahvirus trước đây đã được báo cáo trên ngựa, cáo, gia súc nhai lại và heo ở Trung Quốc. Một cuộc khảo sát gần đây ở Trung Quốc cho thấy GETV có ở 3% muỗi và 1% heo. Đã có báo cáo về hội chứng sinh sản do virus và tỷ lệ chết xung quanh giai đoạn sinh ở heo do Getahvirus, tỷ lệ nhiễm virus khá cao (~50% số heo) và kháng thể kháng lại bênh này có một số vùng và hoàn toàn không có ở những vùng khác. Bệnh trên ngựa ở Nhật Bản đã được quan tâm đến mức cần có một loại vắc-xin chết để phòng ngừa. Tỷ lệ chết cao ở cáo và sốt nhẹ ở gia súc nhai lại do GETV đã được quan sát thấy. Các trường hợp ở người với biểu hiện sốt và chuyển đổi tình trạng huyết thanh với virus này đã được quan sát, nhưng sự nhiễm bệnh ở người nhìn chung được cho là không có triệu chứng. Có 4 loại getahvirus chính, trong đó loại III là quan trọng nhất ở Trung Quốc hiện nay. Một số loài muỗi và ruồi khác nhau được cho là có khả năng lây lan virus. Về mặt thực nghiệm, virus có thể lây truyền qua đường miệng-mũi bằng môi trường tế bào nuôi cấy virus nhưng hiện tại người ta tin rằng virus phát tán rất ít nên hiếm khi có đủ liều gây lây truyền ngang từ heo sang heo. Cho đến nay, các báo cáo từ các trang trại đều ủng hộ quan điểm cho rằng động vật chân đốt là vật truyền bệnh chính của GETV. Các quy trình an toàn sinh học nội bộ tại các trang trại và lịch sử ca bệnh khiến cho ống tiêm và kim tiêm bẩn khó có khả năng lây truyền bệnh trong những trường hợp này, nhưng có vẻ như các quy trình lấy máu không an toàn và tái sử dụng kim tiêm có thể trở thành một yếu tố lây truyền, vì đã quan sát thấy lượng virus trong máu cao ở heo nái và heo con bị nhiễm bệnh.
Ở những khu vực được biết là có GETV tồn tại (Trung Quốc và Châu Á), có thể nên đưa nó vào chẩn đoán phân biệt các vấn đề sinh sản, tử vong xung quanh giai đoạn sinh, cùng với “các nghi ngờ thông thường”, đó là Viêm não B Nhật Bản (JEV), parvovirus trên heo (PPV), PRV, PRRS, CSF, ASF, PCV2/3, stress nhiệt, bệnh do quản lý, vô sinh theo mùa, v.v. và sự tương tác giữa chúng. Các trang trại chăn nuôi heo thường nằm ở vùng hẻo lánh, có mật độ muỗi và ruồi tự nhiên cao. Các hố phân và nước đọng xung quanh trang trại heo có thể tạo điều kiện cho muỗi sinh sôi. Viêm não B Nhật Bản (JEV) là một loại Flavovirus lây truyền qua muỗi thường gây ra hội chứng sinh sản do virus ở heo nái hậu bị và heo nái tơ. JEV cũng có thể gây thoái hóa tinh hoàn (viêm tinh hoàn) nghiêm trọng ở heo đực. Hầu hết các trang trại chăn nuôi heo ở Trung Quốc và châu Á đều đang tiêm phòng JEV và Parvovirus, do đó tránh được những di chứng nghiêm trọng về sinh sản. Vắc-xin ba giá ngừa GETV, PPV và nhiều chủng JEV có thể cần thiết trong tương lai.



