Uma grande exploração comercial (>2000 porcas) na China oriental relata uma condição invulgar de opacidade ocular e cegueira em várias ninhadas de leitões em lactação. As porcas estão a comer e a amamentar normalmente. O número de leitões nados-mortos e fracos está ligeiramente acima do normal e a mortalidade antes do desmame é elevada. Cegueira, opacidade corneana e inflamação da área ocular são observadas em alguns porcos de várias ninhadas (imagem 1).

Imagem 1. Porco com opacidade corneal.
Os porcos afectados estão deprimidos, letárgicos e incapazes de mamar. A taxa de aborto é relatada como sendo algo elevada, mas não são observadas tempestades de abortos. O número de porcos mumificados está dentro dos parâmetros normais. Não são relatados outros sinais clínicos. Uma rápida revisão dos dados reprodutivos parece excluir uma possível causa genética, uma vez que as linhas genéticas não relacionadas na exploração parecem ser afectadas de forma semelhante.

O diagnóstico diferencial inclui a doença ocular azul (Orthorubulavírus suíno) e a infecção bacteriana do olho. A doença do olho azul é causada por um paramixovírus e é endémica em algumas partes do México. Provoca sintomas do sistema nervoso central, pneumonia e problemas reprodutivos em suínos reprodutores, incluindo orquite e lesões da córnea em varrascos, mas não foi detectado na China ou em qualquer outro lugar fora do México. O diagnóstico preliminar da doença do olho azul seria feito através da observação de sinais clínicos invulgares e confirmado por PCR e isolamento do vírus.
A deficiência de vitamina A poderia causar lesões oculares graves, mas é bastante improvável nesta grande quinta comercial que alimenta as dietas modernas.
Diagnóstico
Um dos porcos afectados é abatido de forma humanitária e dissecado pelo pessoal da exploração. São enviadas para o laboratório amostras de tecido fresco, fixado com formalina (fígado, gânglios linfáticos, cérebro) e os olhos frescos do leitão na fotografia (fotografia 1).
Para além da lesão ocular, não são observadas lesões macroscópicas pelo pessoal da exploração. O líquido intraorbital aspirado dos olhos parece claro e normal. O esfregaço de líquido ocular crado com coloração de Giemsa revela algumas células mononucleares e algumas bactérias em forma de bastão (bacilos). Algumas Escherichia coli não relevantes estão isoladas do fluido ocular. A possibilidade de uma causa bacteriana está excluída. As amostras fixadas em formalina de nódulos linfáticos, cérebro e fígado são processadas por um método de incorporação rápida de parafina para cortes de tecido que são corados com hematoxilina e eosina (H&E).

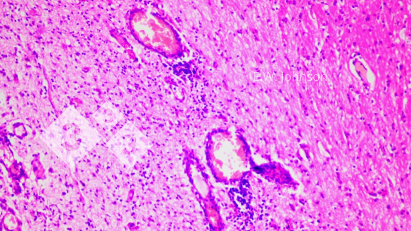
Imagem 2. Manguitos perivasculares e gliose. Cérebro.
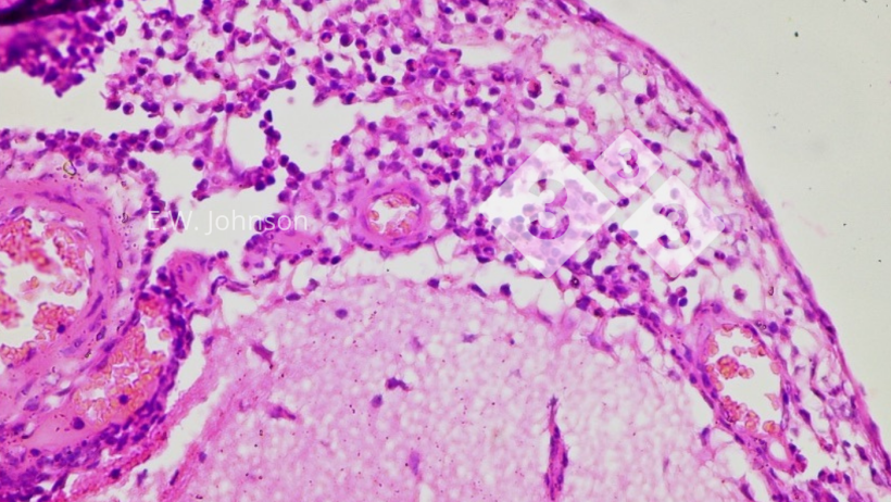
O exame microscópico do cérebro revela meningoencefalite com algemas perivasculares e gliose (imagem 2) e infiltração das meninges com células inflamatórias mononucleares e polimorfonucleares mistas (imagem 3). Imagem 3. Meningite com células mononucleares e algumas células polimorfonucleares. Cérebro.
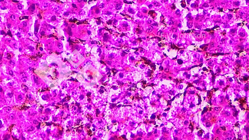
Observam-se necroses focais no fígado e corpos de inclusão intranuclear anfófila nos tecidos que envolvem as áreas de necrose (imagem 4). É feito um diagnóstico presuntivo da Doença de Aujeszky (AD).

Imagem 4. Necrose hepática focal com corpos de inclusão intranucleares anfofílicos ocasionais na zona perinecrótica. Fígado.
PCR do humor vítreo do olho amplifica o ADN do gene US8 ("single short sequence" 8) do alfa-herpesvírus 1 (vírus Aujeszky) codificando a glioproteína E (gE), confirmando a presença do vírus de campo da Doença de Aujeszky(DA). A sequência do fragmento amplificado de US8 revela que o vírus detectado se agrupa clusters de vírus detectados com estirpes de variantes emergentes recentes de DA tipo 2 comuns na China (imagem 5).
Era sabido que a exploração em causa era seropositiva para anticorpos ADVgE. As porcas infectadas anteriormente serão seropositivas a longo prazo para ADV gE e transmitirão anticorpos anti-gE aos seus leitões, tornando-as seropositivas para ADV até às 15 semanas de idade. Portanto, quando as porcas são maioritariamente seropositivas, o teste de anticorpos aos leitões jovens não é útil para o diagnóstico da doença. Podem ser diagnosticados falsos positivos a DA quando a persistência de anticorpos gE maternos não é compreendida.
Resultado
A exploração indicou que, quando as porcas de substituição positivas a PRV entraram na exploração de reprodutoras, a ameaça da Peste Suína Africana alterou a vacinação rotineira contra a pseudoraiva. A falha no programa de vacinação para PRV foi resolvida e a exploração não notificou mais casos semelhantes.
![Imagem 5. Árvore filogenética PhyML - PRV gE que mostra estirpes de tipo1 (semelhante a kaplan/becker), estirpes estirpes clássicas do tipo 2 (semelhantes a Fa/SC/Ea) e de virulência superior do tipo 2 (semelhantes a TJ/hb1201). Casos recentes de PRV, this case [20-1048] e encefalite humana PRV hSD1-2019 cluster with TJ/hb1201.](https://www.3tres3.com/3tres3_common/art/pt/15271/arbol-filogenetico-phyml-prv-ge_247189.png?w=820&q=1&t=1653979446)
Imagem 5. Árvore filogenética PhyML - PRV gE que mostra estirpes de tipo1 (semelhante a kaplan/becker), estirpes estirpes clássicas do tipo 2 (semelhantes a Fa/SC/Ea) e de virulência superior do tipo 2 (semelhantes a TJ/hb1201). Casos recentes de PRV, this case [20-1048] e encefalite humana PRV hSD1-2019 cluster with TJ/hb1201.
Discussão
A Doença de Aujeszky (EA), também conhecida como " pseudoraiva (PRV)", surgiu como uma doença neurológica mortal em rumiantes em 1813 e, frequentemente, era confundida com raiva no gado bovino e cães. Devido a intenso prurido, provocado devido ao dano nervoso no circuito do prurido, a afecção era conhecida como "comichão louca" ou mad itch mas às vezes também era denominada "paralisia bulbar infecciosa". Durante a década de 1930, R. E. Shope relatou que a pseudoraiva na Europa e o mad itch nos Estados Unidos eram a mesma doença e estava muito disseminada e endémica nos porcos da maioria dos países produtores de suínos.
Os porcos são o hospedeiro natural do vírus Aujeszky (ADV). A infecção por ADV pode ser suave e passar quase despercebida ou produzir surtos explosivos com elevada mortalidade. As diferenças na virulência observada do ADV são o resultado da variação da estirpe do vírus, de factores animais e de factores aleatórios.
Sinais de ADV em suínos reprodutores manifestam-se como doenças respiratórias e uma síndrome reprodutiva viral com abortos, morte embrionária, problemas de parto, mumificações, leitões fracos ao nascimento e infertilidade.
Infecção ocular por EA em porcos não reportada previamente
Os leitões com menos de 6 semanas de idade podem apresentar sinais neurológicos, tremores, ataxia, convulsões, diarreia, problemas respiratórios e elevada mortalidade. Os leitões infectados durante a lactação apresentam frequentemente manchas brancas de necrose nas amígdalas, no fígado e por vezes no baço. Os porcos mais velhos apresentam geralmente sinais respiratórios; tosse, dispneia e uma síndrome respiratória generalizada dos porcos quando complicados por problemas coexistentes tais como infecção por micoplasmose, Actinobacillus pleuropneumoniae (App), estreptococo, Peste Suína Clássica (PSC), úlceras gástricas e deficiências de ventilação. Sinais do sistema nervoso central (SNC) ocorrem ocasionalmente em porcos de engorda com AD, mas raramente em animais em idade reprodutiva. Podem ser observadas hemorragias no rim. Os circovírus porcinos tipo 2 (PCV2), CSF, ASF e PRRS devem ser incluídos no diagnóstico diferencial ou podem ser co-infecções.
O ADV é espalhado verticalmente por porcas infectadas de forma persiste, fomites, camiões e instalações sujas e animais reprodutores infectados. Os porcos de engorda infectados espalham facilmente o ADV por via respiratória dentro de um espaço aéreo. A transmissão de aerossóis ao longo de distâncias de vários quilómetros pode ocorrer em ar frio e húmido.
A doença de Aujeszky pode ser vista em outros animais que não porcos, particularmente gado, ovelhas, martas, cães e gatos. Os pintos recém-eclodidos são também susceptíveis. Foram detectados cães resistentes em explorações suinícolas infectadas com ADV, mas geralmente estes animais são susceptíveis e morrem após o aparecimento de sinais no sistema nervoso central.
A Doença de Aujeszky deve ser considerada como uma zoonose?
Os seres humanos são relativamente resistentes. A infecção em humanos é extremamente rara, embora o vírus seja capaz de se replicar em células humanas em cultura. A infecção em humanos tem sido relatada com sinais clínicos ligeiros devido a exposição a gatos e cães, com recuperação de vírus e seroconversão. Recentemente, vários casos humanos graves de encefalite e endoftalmite foram documentados na China entre trabalhadores e veterinários de suínos e operadores de matadouros. Normalmente, algum historial de lesões ou traumas está associado a uma infecção humana tão grave. O vírus detectado em casos humanos recentes de ADV agrupa-se estreitamente com o ADV detectado neste caso (imagem 5)..
Há vacinas boas e eficazes disponíveis?
A vacinação é eficaz para reduzir a gravidade e a propagação do ADV. O ADV pode ser erradicado com a tecnologia actual, mas é endémico em muitas das principais províncias produtoras de porcos da China, com uma prevalência por exploração agrícola próxima dos 60% em áreas de alta densidade de suínos. Tanto as vacinas vivas mortas como as modificadas estão disponíveis na China para utilização na exploração agrícola e a maioria vacina contra a doença de Aujeszky. Tipicamente as vacinas ADV utilizadas em todo o mundo têm uma eliminação no gene gE que as torna avirulentas no caso de vacinas vivas modificadas e confere capacidade DIVA (diferenciação de animais infectados e vacinados). As primeiras vacinas com eliminação pelo gE foram a vacina avirulenta de Bartha (1961) em pequena placa (K) e a vacina de Bucareste (Buk), conhecida como "Norden". As vacinas ADV com supressões parciais ou completas de gE são utilizadas. Utilizada em conjunto com uma estratégia DIVA e saneamento/isolamento com um sistema de produção "All in/All out", a vacina é um instrumento útil para a eliminação e erradicação da Aujeszky. Não induz imunidade esterilizante nem cria uma "bolha mágica" à volta do porco para o proteger de infecções em condições de campo flutuantes. No entanto, as porcas que são repetidamente vacinadas contra o ADV produzem imunidade humoral passiva que protege os seus porcos da infecção até ao período pós-desmame. É pouco provável que as porcas repetidamente vacinadas transmitam o vírus ADV aos seus leitões ou a porcas de substituição não expostas. As vacinas mortas são mais eficazes do que as vacinas vivas modificadas como dose impulsionadora, mas a experiência tem demonstrado que a vacina viva modificada pode ser "suficientemente boa" como impulsionadora em situações em que a vacina morta não está disponível. Quando as porcas de substituição de porcas vacinadas são vacinadas, criadas em efectivos de "Todos dentro/tudo fora" e entram numa exploração de porcas vacinadas, podem permanecer negativas e substituir progressivamente as porcas infectadas. O vírus de Aujeszky foi eliminado de explorações, áreas e países inteiros por este método.
Aujeszky de virulência aumentada
Desde cerca de 2011, têm sido relatadas na China variantes de pseudorabytes de "virulência reforçada". As estirpes "ocidentais" de Aujeszky como Kaplan, Becker e Bartha pertencem ao grupo tipo 1 (figura 5). É de notar que Bartha K-61 tem uma eliminação completa do gE. O vírus "clássico" chinês/asiático de Aujeszky (ADV) {Ea, Fa, SC} é do tipo 2. As estirpes da variante tipo 2 {TJ, hb1201, jsy7-2021,...} estão implicadas em recentes surtos de "virulência exacerbada" da doença de Aujeszky (AD) (com patologia mais grave do que a clássica tipo 2). Aujeszky's de encefalite/oftalmite humana, como a que aparece no GenBank: MT469550 (hSD1-2019), está a aglomerar-se com o vírus 20-1048 detectado neste caso excepcional, bem como com estirpes de virulência reforçada (imagem 5). Parte do aumento da virulência pode dever-se a alterações na glicoproteína gE, de modo a que as vacinas com a eliminação do Bartha não estimulem a imunidade, ou a alterações noutros loci.
A erradicação da doença de Aujeszky (AD) é possível e viável, tem implicações importantes para a sustentabilidade, segurança alimentar e saúde humana e eliminaria uma importante fonte de perdas nas explorações suinícolas.











