Czynniki bakteryjne wywołujące zapalenie płuc u świń i zdolne do samodzielnego wywoływania zmian chorobowych można sklasyfikować jako czynniki pierwotne. Należą do nich Mycoplasma hyopneumoniae, Actinobacillus pleuropneumoniae, Bordetella bonchiseptica i niektóre szczepy Pasteurella multocida. Czynniki wtórne to te, które działają po wcześniejszym zakażeniu czynnikiem pierwotnym lub u zwierząt z obniżoną odpornością; wśród nich znajduje się większość szczepów P. multocida, Streptococcus suis, Glaesserella parasuis (dawniej Haemophilus parasuis) i Trueperella pyogenes.
Wśród głównych czynników, M. hyopneumoniae, czynnik wywołujący
enzootyczne zapalenie płuc
, nabiera szczególnego znaczenia, ponieważ powoduje przewlekły proces chorobowy, charakteryzujący się poważnymi stratami ekonomicznymi na fermach trzody chlewnej - związanymi ze zmniejszeniem średniego dziennego przyrostu, zwiększonym współczynnikiem wykorzystania paszy i zwiększoną śmiertelnością z powodu wtórnych infekcji. Ten prokariont należący do klasy Mollicutes, jest wysoce pleomorficzny i charakteryzuje się brakiem ściany komórkowej, kolistym dwuniciowym DNA, polisacharydową otoczką z promienistymi włókienkami i jest bardzo trudny w hodowli.
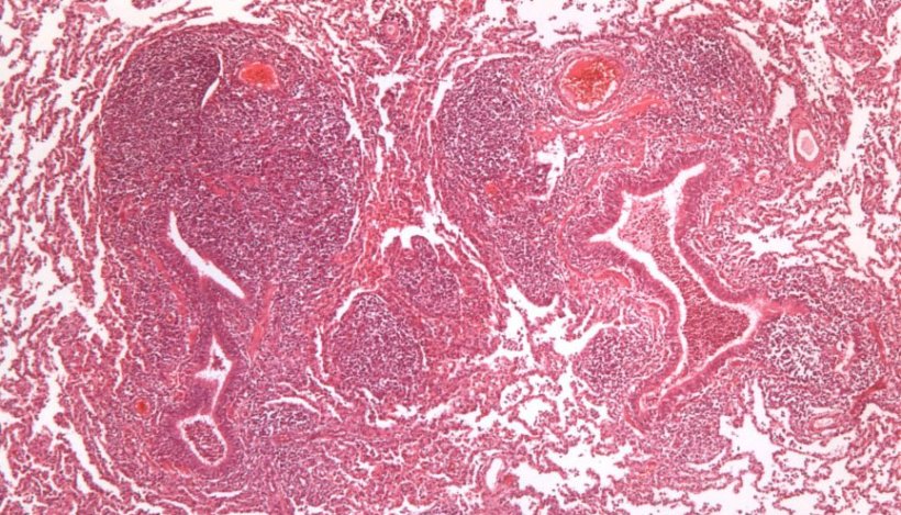
Inicjując swoje patogenne działanie, przyczynia się do rzęsek komórek nabłonka dróg oddechowych, powodując ic utratę i zmianę funkcji układu śluzowo-rzęskowego, co oznacza, że wydzieliny płucne, wdychane cząsteczki i patogeny dostające się do dróg oddechowych nie mogą zostać wyeliminowane, więc przesuwają się w kierunku dolnych dróg oddechowych, utrudniając proces oddechowy. Na poziomie płuc patogen ten powoduje odoskrzelowo-śródmiąższowe zapalenie płuc, które makroskopowo charakteryzuje się pojawieniem się czerwonych obszarów konsolidacji, dobrze wyróżniających się z pozostałej części miąższu, w czaszkowo-brzusznych częściach płuca (ryc.1). Na poziomie mikroskopowym obserwuje się hiperplazję tkanki chłonnej okołoskrzelowej, okołoskrzelowej i okołonaczyniowej, co jest bardzo charakterystyczne dla tego procesu (ryc. 2).

Ryc. 1: Śródmiąższowe zapalenie płuc wywołane przez M. hyopneumoniae.

Ryc. 2: Rozrost tkanki limfatycznej okołooskrzelowej wywołany przez M. hyopneumoniae.
A. pleuropneumoniae (App) jest otoczkową, gram-ujemną bakterią coccobacillus o dwóch biotypach: biotypie I, zależnym od dinukleotydu nikotynamidoadeninowego (NAD) i biotypie II niezależnym od NAD. Istnieje 18 serotypów: 1-12 i 15-18 należą do Biotypu I, a serotypy 13 i 14 do Biotypu II. App produkuje 4 toksyny, Apx I, II i III, które są specyficzne dla niektórych szczepów oraz Apx IV, który jest wspólny dla wszystkich szczepów, dlatego właśnie ta ostatnia toksyna jest celem, na którym opiera się wiele pośrednich testów diagnostycznych ELISA. Bakteria ta kolonizuje migdałki i stamtąd przenosi się do dolnych dróg oddechowych, przylegając do pneumocytów pęcherzykowych, gdzie wydziela toksyny, które mają działanie hemolityczne i cytotoksyczne, zmieniając funkcję komórek śródbłonka; a fagocytoza makrofagów pęcherzykowych doprowadza do aktywacji kaskady koagulacji, powstawania mikrozakrzepów i zjawiska martwicy niedokrwiennej, które są odpowiedzialne za najbardziej charakterystyczne uszkodzenie tego patogenu, czyli pojawienie się obszarów zawałowych w płucach.
Wywoływanym przez nią typem zmian w płucach jest włóknikowe odoskrzelowe zapalenie płuc. W przypadkach nadostrych i ostrych zmiany obserwuje się głównie w grzbietowych częściach płuc (ryc. 3), z obszarami martwicy koagulacyjnej (zawał) i wybroczynami, które są kruche i mają marmurkowaty wygląd po przecięciu. Mikroskopowo, w świetle pęcherzyków płucnych, oskrzeli i oskrzelików można zaobserwować obecność włóknika i zdegenerowanych leukocytów, a także obszary martwicy i wybroczyn o różnej wielkości oraz obrzęki pęcherzykowe i śródmiąższowe, przy czym często występuje również włóknikowe zapalenie opłucnej. Te same zmiany mogą być wywołane przez niektóre bardzo zjadliwe szczepy P. multocida, więc aby pomóc nam w postawieniu asertywnej diagnozy, będziemy potrzebować historii klinicznej, prezentacji zmian makroskopowych i analizy mikrobiologicznej.
A. pleuropneumoniae może również występować przewlekle, kiedy to rozprzestrzenia się drogą krwi z ostrych zmian, a białawe, wieloogniskowe zmiany o różnej wielkości pojawiają się w całym płucu.

Ryc. 3: Zmiana wywołana przez A. pleuropneumoniae
Większość szczepów P. multocida działa jako czynniki wtórne, a rodzaj wywoływanych przez nie zmian może być różny, od włóknikowego odoskrzelowego zapalenia płuc do nieżytowego, ropnego, odoskrzelowego zapalenia płuc. W pierwszym przypadku w pęcherzyku powstaje wysięk fibryny, któremu towarzyszy odkładanie się fibryny na powierzchni opłucnej. Ponadto w płucach powstają miejsca z martwicą koagulacyjną w wyniku zakrzepicy w naczyniach krwionośnych. W nieżytowym, ropnym odoskrzelowym zapaleniu płuc, w drogach oddechowych (tchawicy, oskrzelach i oskrzelikach) oraz w świetle pęcherzyków płucnych pojawia się wysięk śluzowy lub nieżytowo-ropny (ryc.4). Innym czynnikiem wywołującym tego typu odoskrzelowe zapalenie płuc, szczególnie w pierwszych tygodniach życia, jest B. bronchiseptica, któremu może również towarzyszyć proces nie postępującego, zakaźnego zanikowego zapalenia nosa.

Ryc. 4: Ropne odoskrzelowe zapalenie płuc: w obszarze doczaszkowo-brzusznym obserwuje się małe żółtawo-białe obszary (strzałka) odpowiadające pęcherzykom płucnym wypełnionym materiałem ropnym. Obserwuje się również obrzęk śródmiąższowy.
Czynniki bakteryjne, takie jak T. pyogenes i S. suis, mogą być związane z procesami zatorowego zapalenia płuc, związanymi z zapaleniem żył pepkowych, infekcjami bakteryjnymi skóry lub racic (T. pyogenes) lub z przypadkami zapalenia wsierdzia (S. suis ), sytuacje, w których bakterie docierają do płuc drogą krwi z tych zmian. Makroskopowo obserwuje się wieloogniskowe zmiany rozmieszczone w płucach, białawe, o średnicy od 1 mm do 2 cm, otoczone czerwonawą obwódką w najbardziej ostrych przypadkach i szybko rozwijające się w kierunku ropni (ryc. 5).

Ryc. 5: Zatorowe zapalenie płuc wywołane przez T. pyogenes.
W przypadkach, w których oprócz włóknikowego zapalenia opłucnej obserwuje się złogi włóknika na innych powierzchniach surowiczych, wyróżniają się trzy główne bakterie: G. parasuis, M. hyorhinis i / lub S. suis. Zmiany te często mogą pozostać niezauważone klinicznie i to rzeźnia jest miejscem, w którym możemy zaobserwować wzrost częstości wystąpienia zrostów w opłucnej w wyniku przewlekłego zachodzenia tych procesów. (ryc. 6).

Ryc. 6: Odnotowane w rzeźni: włóknikowe zapalenie opłucnej.

Chociaż większość bakterii atakujących układ oddechowy to czynniki oportunistyczne, należy zawsze pamiętać o dwóch głównych czynnikach bakteryjnych, które są uważane za najbardziej patogenne u świń: M. hyopneumoniae i A. pleuropneumoniae.













