X
XLinkedinWhatsAppTelegramTelegram
0
Czytaj ten artykuł w:

Główne koinfekcje układu oddechowego świń

Mycoplasma hyopneumoniae bierze udział w większości koinfekcji układu oddechowego świń. Jak ona oddziałuje na organizm i czym to skutkuje?

W terenie problemy z oddychaniem u świń rzadko są powodowane przez pojedynczy patogen. Zwykle jednocześnie działa kilka patogenów, co w połączeniu z nieodpowiednim zarządzaniem i warunkami środowiskowymi prowadzi do procesu znanego jako zespół oddechowy świń (PRDC).

W większości przypadków głównym czynnikiem wpływającym na układ oddechowy są zawsze: wirus zespołu rozrodczo-oddechowego świń (PRRSV), cirkowirus świń typu 2 (PCV2), wirus grypy świń (SIV) i Mycoplasma hyopneumoniae (ryc.1), którym towarzyszyć będą bakterie oportunistyczne, wykorzystujące pierwotną infekcję do rozwijania swojego patogennego działania, takie jak między innymi Pasteurella multocida, Bordetella bronchiseptica czy Glaesserella parasuis.

Ryc 1: Kombinacje koinfekcji stwierdzonych w przypadkach PRDC, zdiagnozowanych w ciągu ostatnich czterech lat przez Wydział Anatomii Patologicznej Wydziału Nauk Weterynaryjnych Uniwersytetu w Murcji.

Ryc 1: Kombinacje koinfekcji stwierdzonych w przypadkach PRDC, zdiagnozowanych w ciągu ostatnich czterech lat przez Wydział Anatomii Patologicznej Wydziału Nauk Weterynaryjnych Uniwersytetu w Murcji.

Na rycinie 1 możemy zobaczyć, że M. hyopneumoniae jest czynnikiem odpowiedzialnym za większość koinfekcji stwierdzanych w płucach zwierząt, u których zdiagnozowano PRDC. Ten patogen, który atakuje rzęski komórek nabłonka oskrzeli i oskrzelików, zmieniając układ śluzowo-rzęskowy, powoduje również hiperplazję tkanki limfatycznej związanej z błoną śluzową dróg oddechowych. Oba działania ułatwiają kolonizację, proliferację i patogenne mechanizmy innych pierwotnych i wtórnych czynników wpływających na układ oddechowy świni. Różne badania eksperymentalne wykazały, ułatwia działanie innym patogenom wzmacniając ich patogenny wpływ, tak że kombinacje, w których pojawia się M. hyopneumoniae, są zwykle tymi, które mają najgorsze konsekwencje dla zakażonych zwierząt, a tym samym dla rentowności gospodarstwa .

Jedną z najczęstszych koinfekcji na fermach trzody chlewnej z przypadkami PRDC jest koinfekcja wywoływana przez M. hyopneumoniae i PRRSV (ryc. 2). W przypadkach, w których zdiagnozowano to współzakażenie, zaobserwowano dodatnią korelację między zwierzętami, które są seropozytywne dla każdego z dwóch czynników; innymi słowy, większość zwierząt, u których wykryto PRRSV, jest również pozytywnych dla M. hyopneumoniae. Ponadto udowodniono, że M. hyopneumoniae przedłuża i nasila zapalenie płuc wytwarzane przez PRRSV, co może wynikać z faktu, że u zwierząt jednocześnie zakażonych obydwoma patogenami występuje wzrost ilości cytokin prozapalnych, takich jak IL1- β, IL-8 i TNF-α, które zwiększają odpowiedź zapalną na poziomie płuc; ale występuje również wzrost syntezy IL-10, która jest cytokiną przeciwzapalną, która hamuje i moduluje produkcję innych cytokin i pozwoliłaby na utrwalenie uszkodzenia na poziomie płuc poprzez utrudnianie niekontrolowanej odpowiedzi zapalnej. rozsierdzony. IL-10 jest również zdolna do modulowania odpowiedzi immunologicznej zwierzęcia, która wraz z aktywacją innych mechanizmów zmienia adaptacyjną odpowiedź immunologiczną, umożliwiając patogenowi dłuższe działanie w płucach.

Ryc 2. Koinfekcja M. hyopneumoniae i PRRSV w płucach świń. Niezapadnięte płuco z czerwono-brązowymi obszarami zmian rozmieszczonych w miąższu, typowe zmiany PRRS, które jednocześnie posiadają czerwonawe obszary konsolidacji w okolicy czaszkowo-brzusznej, wywoływane przez M. hyopneumoniae.

Ryc 2. Koinfekcja M. hyopneumoniae i PRRSV w płucach świń. Niezapadnięte płuco z czerwono-brązowymi obszarami zmian rozmieszczonych w miąższu, typowe zmiany PRRS, które jednocześnie posiadają czerwonawe obszary konsolidacji w okolicy czaszkowo-brzusznej, wywoływane przez M. hyopneumoniae.

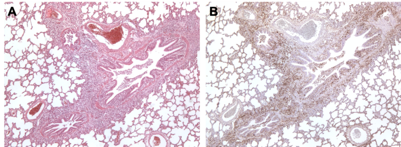
W przypadku koinfekcji M. hyopneumoniae i PCV2 wykazano, że M. hyopneumoniae sprzyja poważnym zmianom chorobowym wywołanym przez PCV2 w płucach i narządach limfoidalnych, powodując większą replikację wirusa, a także jego utrzymywaniu się w tkankach (ryc. 3). Zwiększa w ten sposób częstość występowania chorób ogólnoustrojowych PCV2 (PMWS, czyli poodsadzeniowy wielonarządowy zespół wyniszczający).

Ryc 3. Koinfekcja M. hyopneumoniae i PCV2 w płucach świń. A: Obszar okołoskrzelowej hiperplazji limfatycznej spowodowanej przez M. hyopneumoniae. B: Duża ilość antygenu PCV2 w tym samym obszarze rozrostu limfoidalnego.

Ryc 3. Koinfekcja M. hyopneumoniae i PCV2 w płucach świń. A: Obszar okołoskrzelowej hiperplazji limfatycznej spowodowanej przez M. hyopneumoniae. B: Duża ilość antygenu PCV2 w tym samym obszarze rozrostu limfoidalnego.

U zwierząt z koinfekcjami M. hyopneumoniae i SIV (ryc. 4) zaobserwowano, że gdy świnie są zakażone szczepem wirusa grypy świń o niskiej zjadliwości, to po zakażeniu M. hyopneumoniae obserwuje się znaczny wzrost objawów klinicznych i zmian w płucach, co sugeruje, że mykoplazma jest zdolna do zwiększania zjadliwości łagodnych szczepów SIV.

Ryc 4. Płuco świni ze współzakażeniem M. hyopneumoniae i SIV. Czerwone obszary konsolidacji w części czaszkowo-brzusznej płuca i kilka mniejszych obszarów w płacie przeponowym. Występują tu zarówno zmiany powodowane przez M. hyopneumoniae, jak i SIV, co uniemożliwia ich makroskopowe rozróżnienie.

Ryc 4. Płuco świni ze współzakażeniem M. hyopneumoniae i SIV. Czerwone obszary konsolidacji w części czaszkowo-brzusznej płuca i kilka mniejszych obszarów w płacie przeponowym. Występują tu zarówno zmiany powodowane przez M. hyopneumoniae, jak i SIV, co uniemożliwia ich makroskopowe rozróżnienie.

M. hyopneumoniae pojawia się również często w powiązaniu z innymi bakteriami, niezależnie od tego, czy są to czynniki pierwotne, takie jak Actinobacillus pleuropneumoniae (ryc. 5), czy czynniki oportunistyczne, takie jak Pasteurella multocida (ryc. 6), wzmacniając ich działanie w płucach.

Ryc 5: Koinfekcja M. hyopneumoniae i A. pleuropneumoniae w płucach świń. Doczaszkowo-środkowe obszary konsolidacji o czerwono-brązowym zabarwieniu, wywołane zakażeniem M. hyopneumoniae oraz owalna zmiana ze zwłóknieniem opłucnej i krwotoczną okolicą w płacie przeponowym, odpowiadająca przewlekłemu stadium po powstaniu martwicy wywołanej przez A. pleuropneumoniae.

Ryc 5: Koinfekcja M. hyopneumoniae i A. pleuropneumoniae w płucach świń. Doczaszkowo-środkowe obszary konsolidacji o czerwono-brązowym zabarwieniu, wywołane zakażeniem M. hyopneumoniae oraz owalna zmiana ze zwłóknieniem opłucnej i krwotoczną okolicą w płacie przeponowym, odpowiadająca przewlekłemu stadium po powstaniu martwicy wywołanej przez A. pleuropneumoniae.

Ryc 6. Koinfekcja M. hyopneumoniae i P. multocida w płucach świń. Obszary czerwono-brązowej konsolidacji czaszkowo-brzusznej, uniesione w stosunku do pozostałej części miąższu płuc, są zgodne z obrazem zmian wywołanych przez P. multocida. W płacie czaszkowym i obrzeżach czaszkowo-brzusznych płata ogonowego znajdują się czerwonawe zagłębienia konsolidacji, które odpowiadają zmianom wywołanym przez M. hyopneumoniae.

Ryc 6. Koinfekcja M. hyopneumoniae i P. multocida w płucach świń. Obszary czerwono-brązowej konsolidacji czaszkowo-brzusznej, uniesione w stosunku do pozostałej części miąższu płuc, są zgodne z obrazem zmian wywołanych przez P. multocida. W płacie czaszkowym i obrzeżach czaszkowo-brzusznych płata ogonowego znajdują się czerwonawe zagłębienia konsolidacji, które odpowiadają zmianom wywołanym przez M. hyopneumoniae.

Jak widzimy, gdy M. hyopneumoniae pojawia się w koinfekcji razem z innymi głównymi czynnikami PRDC, wywołuje ona i przedłuża czas trwania zmian spowodowanych przez te patogeny. Dlatego też jego zwalczanie jest kluczowe dla zminimalizowania skutków PRDC i zmniejszenia strat ekonomicznych związanych z chorobą.

Komentarze do artykułu

To miejsce jest przeznaczone do dyskusji między użytkownikami pig333.com a nie do zadawania pytań autorom artykułów
Skomentuj

Dostęp tylko dla użytkowników portalu 3trzy3. Zaloguj się aby dodać komentarz.

Nie jesteś subskrybentem tej zawartości 3trzy3 w 3 minuty

Cotygodniowy newsletter podsumowujący najnowsze informacje z 3trzy3.pl

Zaloguj się i zapisz do subskrypcji

Powiązane artykuły

Powiązane produkty w sklepie

Sklep specjalizujący się w branży świń
Doradztwo i serwis techniczny
Ponad 120 marek i producentów
Nie jesteś subskrybentem tej zawartości 3trzy3 w 3 minuty

Cotygodniowy newsletter podsumowujący najnowsze informacje z 3trzy3.pl

Zaloguj się i zapisz do subskrypcji