W terenie problemy z oddychaniem u świń rzadko są powodowane przez pojedynczy patogen. Zwykle jednocześnie działa kilka patogenów, co w połączeniu z nieodpowiednim zarządzaniem i warunkami środowiskowymi prowadzi do procesu znanego jako zespół oddechowy świń (PRDC).
W większości przypadków głównym czynnikiem wpływającym na układ oddechowy są zawsze: wirus zespołu rozrodczo-oddechowego świń (PRRSV), cirkowirus świń typu 2 (PCV2), wirus grypy świń (SIV) i Mycoplasma hyopneumoniae (ryc.1), którym towarzyszyć będą bakterie oportunistyczne, wykorzystujące pierwotną infekcję do rozwijania swojego patogennego działania, takie jak między innymi Pasteurella multocida, Bordetella bronchiseptica czy Glaesserella parasuis.

Na rycinie 1 możemy zobaczyć, że M. hyopneumoniae jest czynnikiem odpowiedzialnym za większość koinfekcji stwierdzanych w płucach zwierząt, u których zdiagnozowano PRDC. Ten patogen, który atakuje rzęski komórek nabłonka oskrzeli i oskrzelików, zmieniając układ śluzowo-rzęskowy, powoduje również hiperplazję tkanki limfatycznej związanej z błoną śluzową dróg oddechowych. Oba działania ułatwiają kolonizację, proliferację i patogenne mechanizmy innych pierwotnych i wtórnych czynników wpływających na układ oddechowy świni. Różne badania eksperymentalne wykazały, ułatwia działanie innym patogenom wzmacniając ich patogenny wpływ, tak że kombinacje, w których pojawia się M. hyopneumoniae, są zwykle tymi, które mają najgorsze konsekwencje dla zakażonych zwierząt, a tym samym dla rentowności gospodarstwa .
Jedną z najczęstszych koinfekcji na fermach trzody chlewnej z przypadkami PRDC jest koinfekcja wywoływana przez M. hyopneumoniae i PRRSV (ryc. 2). W przypadkach, w których zdiagnozowano to współzakażenie, zaobserwowano dodatnią korelację między zwierzętami, które są seropozytywne dla każdego z dwóch czynników; innymi słowy, większość zwierząt, u których wykryto PRRSV, jest również pozytywnych dla M. hyopneumoniae. Ponadto udowodniono, że M. hyopneumoniae przedłuża i nasila zapalenie płuc wytwarzane przez PRRSV, co może wynikać z faktu, że u zwierząt jednocześnie zakażonych obydwoma patogenami występuje wzrost ilości cytokin prozapalnych, takich jak IL1- β, IL-8 i TNF-α, które zwiększają odpowiedź zapalną na poziomie płuc; ale występuje również wzrost syntezy IL-10, która jest cytokiną przeciwzapalną, która hamuje i moduluje produkcję innych cytokin i pozwoliłaby na utrwalenie uszkodzenia na poziomie płuc poprzez utrudnianie niekontrolowanej odpowiedzi zapalnej. rozsierdzony. IL-10 jest również zdolna do modulowania odpowiedzi immunologicznej zwierzęcia, która wraz z aktywacją innych mechanizmów zmienia adaptacyjną odpowiedź immunologiczną, umożliwiając patogenowi dłuższe działanie w płucach.

W przypadku koinfekcji M. hyopneumoniae i PCV2 wykazano, że M. hyopneumoniae sprzyja poważnym zmianom chorobowym wywołanym przez PCV2 w płucach i narządach limfoidalnych, powodując większą replikację wirusa, a także jego utrzymywaniu się w tkankach (ryc. 3). Zwiększa w ten sposób częstość występowania chorób ogólnoustrojowych PCV2 (PMWS, czyli poodsadzeniowy wielonarządowy zespół wyniszczający).

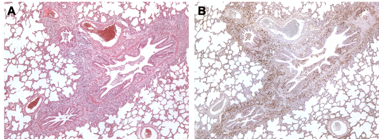
U zwierząt z koinfekcjami M. hyopneumoniae i SIV (ryc. 4) zaobserwowano, że gdy świnie są zakażone szczepem wirusa grypy świń o niskiej zjadliwości, to po zakażeniu M. hyopneumoniae obserwuje się znaczny wzrost objawów klinicznych i zmian w płucach, co sugeruje, że mykoplazma jest zdolna do zwiększania zjadliwości łagodnych szczepów SIV.

M. hyopneumoniae pojawia się również często w powiązaniu z innymi bakteriami, niezależnie od tego, czy są to czynniki pierwotne, takie jak Actinobacillus pleuropneumoniae (ryc. 5), czy czynniki oportunistyczne, takie jak Pasteurella multocida (ryc. 6), wzmacniając ich działanie w płucach.


Jak widzimy, gdy M. hyopneumoniae pojawia się w koinfekcji razem z innymi głównymi czynnikami PRDC, wywołuje ona i przedłuża czas trwania zmian spowodowanych przez te patogeny. Dlatego też jego zwalczanie jest kluczowe dla zminimalizowania skutków PRDC i zmniejszenia strat ekonomicznych związanych z chorobą.