X
XLinkedinWhatsAppTelegramTelegram
0
1
Lesen Sie diesen Artikel in:

Einfache, eiweißhaltige Futtermittel für Mastschweine

Die Wahl der richtigen Proteinquellen für das (Pre-)Starterfutter ist von entscheidender Bedeutung, um die Darmgesundheit zu unterstützen und die Abhängigkeit von Futtermittelzusatzstoffen zu verringern.

Die Futterkosten tragen zu mehr als 70 % der Gesamtkosten der Schweineproduktion bei. In den ersten Monaten des Jahres 2022 sind diese Kosten aufgrund der niedrigen Ernteerträge in Südamerika, der Ungewissheit über den Export von Getreide aus dem Schwarzmeerraum und der steigenden Energiekosten stark angestiegen. Die Rabobank schätzt in ihrem jüngsten Quartalsbericht, dass die Futtermittelkosten im Vergleich zum Vorjahr zwar um 20 % gestiegen sind, in Zukunft allerdings noch weiter steigen dürften (Abb. 1). Folglich sind die Erzeuger versucht, alles aus der Futterzusammensetzung zu entfernen, was als überflüssig betrachtet wird. Darüber hinaus wird die Formulierung von Aufzuchtfutter dadurch erschwert, dass das Verbot pharmakologischer ZnO-Gehalte im Juni für die gesamte EU in Kraft tritt. Dieser Artikel beschreibt die Bedeutung von hochwertigem Eiweiß für die Formulierung eines einfachen (sauberen) Aufzuchtfutters und für die Verringerung der Abhängigkeit von Futterzusätzen zur Verbesserung der Darmgesundheit bei gleichzeitiger Aufrechterhaltung der Futtereffizienz auch ohne hohe ZnO-Gehalte.

Abbildung 1: Vierteljährliche Preisprognose für Futtergetreide, Q1 2015 - Q1 2023 Prognose. Quelle: Rabobank

Abbildung 1: Vierteljährliche Preisprognose für Futtergetreide, Q1 2015 - Q1 2023 Prognose. Quelle: Rabobank

Die Grundlage jedes Aufzuchtfutters: leicht verdauliche Proteine

Aufzuchtfutter macht den kleinsten Teil des Schweinefutters aus, ist aber oft unnötig komplex und teuer. Es hat sich gezeigt, dass einfache Futtermittel in der Aufzuchtphase nicht unbedingt negative Auswirkungen auf das endgültige Schlachtgewicht oder die Fleischqualität haben. Der Schlüssel zum Erfolg ist die Verwendung leicht verdaulicher, hochwertiger Proteinquellen. Absetzferkel haben eine begrenzte Enzymaktivität und können daher nur wenige Proteine verdauen. Dennoch ist ihr Aminosäurebedarf pro Energieeinheit hoch, da in dieser Phase die Eiweißeinlagerung im Vordergrund steht, so dass das Aufzuchtfutter einen höheren Eiweißgehalt aufweisen muss. Wird der Protein- und Aminosäurebedarf mit Futtermittelbestandteilen gedeckt, die einen hohen Gehalt an antinutritiven Faktoren (ANF) aufweisen, sind die Kosten für diese Futtermittelbestandteile gering, ihre Verdaulichkeit aber sehr begrenzt, was das Risiko von Diarrhö und Dysbiose nach dem Absetzen erhöht.

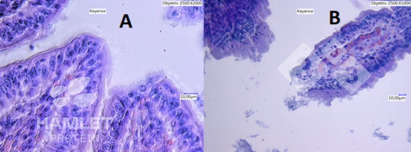
Antinutritive Faktoren umfassen eine Reihe von Substanzen (wie Stachyose, Raffinose, Trypsininhibitoren und β-Conglycinin), die die Verdauung einiger Nährstoffe verringern und eine Entzündungsreaktion auslösen, die zu chronischen Entzündungen des Darms, schlechter Verdauung und geringer Leistungsfähigkeit führt. Insbesondere Soja hat einen hohen Gehalt an antinutritiven Faktoren. Es ist bekannt, dass die Wachstumsleistung und die Darmgesundheit von Ferkeln beeinträchtigt werden, wenn Futtermittel mit hohen Mengen an antinutritiven Faktoren aus Soja verfüttert werden (Abb. 2). Die Verwendung von unbehandeltem oder nur hitzebehandeltem Sojaschrot führt also nicht nur zu Leistungseinbußen, sondern erhöht auch den Bedarf an Lösungen zur Verbesserung der Darmgesundheit wie Futtermittelzusätze oder die Behandlung mit Antibiotika. Was zunächst als wirtschaftlicher Vorteil gedacht war, entpuppt sich am Ende als teure Lösung für die Schweineproduzenten.

Abbildung 2: Elektronenmikroskopische Aufnahme der Schleimschicht des Darms von Ferkeln, die A: mit enzymatisch verarbeitetem Sojaschrot (ESBM) zur Reduzierung des Gehalts an antinutritiven Faktoren (links) und B mit herkömmlichem Sojaschrot gefüttert wurden. In Bild B ist eine deutliche Schädigung zu erkennen. Copyright der Bilder: Hamlet Protein.

Abbildung 2: Elektronenmikroskopische Aufnahme der Schleimschicht des Darms von Ferkeln, die A: mit enzymatisch verarbeitetem Sojaschrot (ESBM) zur Reduzierung des Gehalts an antinutritiven Faktoren (links) und B mit herkömmlichem Sojaschrot gefüttert wurden. In Bild B ist eine deutliche Schädigung zu erkennen. Copyright der Bilder: Hamlet Protein.

Verwendung tierischer Proteine im Aufzuchtfutter

Viele Ernährungswissenschaftler entscheiden sich daher dafür, antinutritive Faktoren zu vermeiden, indem sie hohe Mengen an tierischen Proteinen (die keine pflanzlichen antinutritiven Faktoren enthalten) wie Molkenprotein, Fischmehl und sprühgetrocknetes Schweineplasma in das Aufzuchtfutter aufnehmen. Molkenprotein und Fischmehl sind wahrscheinlich die am häufigsten verwendeten tierischen Proteinquellen im Aufzuchtfutter, da sie reich an Aminosäuren und leicht verdaulich sind.

Sprühgetrocknetes Schweineplasma (SDPP) ist sehr schmackhaft, regt nachweislich die Futteraufnahme an und liefert Immunglobuline. Die Vorteile der Verwendung von sprühgetrocknetem Schweineplasma im Aufzuchtfutter sind von mehreren Autoren gut beschrieben worden. Aufgrund der begrenzten Verfügbarkeit und der hohen Kosten wird es jedoch immer schwieriger, tierische Proteine in das Aufzuchtfutter aufzunehmen. Es ist daher ein Trend zu beobachten, bei der Ernährung der Schweine immer mehr verarbeitete Proteinquellen pflanzlichen Ursprungs einzubeziehen, die den Vorteil haben, leicht verdaulich und arm an antinutritiven Faktoren, aber nicht so kostenintensiv zu sein.

Senkung der Futterkosten durch pflanzliche Proteinquellen

Soja hat ein einzigartiges Aminosäureprofil, kann aber nur dann für junge Ferkel verwendet werden, wenn es richtig verarbeitet wird, um den Gehalt an antinutritiven Faktoren zu reduzieren. Es gibt verschiedene Verfahren zur Verringerung der antinutritiven Faktoren in Sojamehl, die einen unterschiedlichen Gehalt an antinutritiven Faktoren zur Folge haben. Die Entwicklung dieser so genannten Sojaspezialproteine hat es möglich gemacht, tierisches Eiweiß im Aufzuchtfutter teilweise oder vollständig zu ersetzen, ohne die Leistung oder Gesundheit der Tiere zu beeinträchtigen. Ein Beispiel für ein solches Sojaspezialprotein ist enzymatisch behandeltes Sojaschrot. Die Forschung hat gezeigt, dass enzymatisch behandeltes Sojaschrot Fischmehl oder sprühgetrocknetes Schweineplasma im Aufzuchtfutter ersetzen kann, ohne die Leistung der Tiere zu beeinträchtigen.

In der gegenwärtigen Situation extrem hoher Futterkosten wird empfohlen, die Komplexität des Aufzuchtfutters sorgfältig zu prüfen und es auf das Wesentliche zu reduzieren, indem man leicht verdauliche, qualitativ hochwertige Proteinbestandteile benutzt. Die Wahl leicht verdaulicher Proteinquellen ist sehr wichtig, wenn es darum geht, die Komplexität des Aufzuchtfutters zu reduzieren, die Abhängigkeit von (darm-)gesundheitsfördernden Futterzusätzen zu verringern und gleichzeitig die Gesundheit und Leistung der Tiere nicht zu beeinträchtigen. Besondere Aufmerksamkeit sollte dem Gehalt an antinutritiven Faktoren gewidmet werden, um schädliche Auswirkungen auf die Gesundheit zu minimieren und die Wachstumsleistung der Absetzferkel zu fördern.

Kommentare zum Artikel

Dieser Bereich ist nicht dazu bestimmt, Autoren über ihre Artikel zu befragen, sondern bietet Platz für eine offene Diskussion unter den 3tres3.com/de Nutzern.
Schreiben Sie einen neuen Kommentar

Zugang nur für registrierte 333 Nutzer. Um einen Kommentar zu schreiben, müssen Sie eingeloggt sein.

Sie sind nicht in diese Liste eingetragen. 3tres3 in 3 Minuten

Zweiwöchentlicher Newsletter über alle Updates bei 3tres3.com/de

Melden Sie sich an und tragen Sie sich in die Liste ein.

Ähnliche Artikel

Abbildung 2: Durchschnittliche tägliche Futteraufnahme der Ferkel (Gramm/Tag) nach dem Absetzen, nach Heo et al. (2018). Unterschiedliche Exponenten (A, B) in den Balken weisen auf einen großen Unterschied zwischen den verschiedenen Fütterungsstrategien hin (P<0,00).

Absetzfutter

Die Ähnlichkeit zwischen der Zusammensetzung des Futters vor und nach dem Absetzen könnte für die Leistung nach dem Absetzen von größerer Bedeutung sein als die absolute Aufnahmemenge an festem Futter vor dem Absetzen.

Ähnliche Produkte

Das Schweinefachgeschäft
Asistencia telefónica
Mehr als 120 Marken und Hersteller
Sie sind nicht in diese Liste eingetragen. 3tres3 in 3 Minuten

Zweiwöchentlicher Newsletter über alle Updates bei 3tres3.com/de

Melden Sie sich an und tragen Sie sich in die Liste ein.