Os agentes bacterianos que causam pneumonia no porco podem ser classificados como agentes primários, aqueles capazes de causar lesões por si mesmos, entre os que se destacam o Mycoplasma hyopneumoniae, Actinobacillus pleuropneumoniae, Bordetella bonchiseptica e algumas estirpes de Pasteurella multocida e, como agentes secundários, aqueles que actuam após a infecção prévia de um agente primário ou em estados de compromisso imunológico, entre os que podem ser encontradas a maioria das estirpes de P. multocida, Streptococcus suis, Glaesserella parasuis (anteriormente Haemophilus parasuis) e Trueperella pyogenes.
Entre os agentes primários adquire especial protagonismo M. hyopneumoniae, agente causal da pneumonia enzoótica suína, processo crónico caracterizado por provocar graves perdas económicas nas explorações de porcos associadas à diminuição do ganho médio diário, aumento do índice de conversão e incremento da mortalidade devido a infecções secundárias. Este procarionte, que pertence à classe Mollicutes, caracteriza-se por carecer de parede, ser muito pleomórfico, ter ADN circular bicatenário e cápsula polissacárida com fibrilhas radiais e ser muito difícil de cultivar.

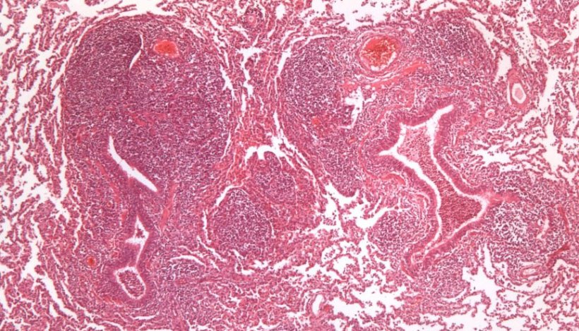
Para levar a cabo a sua acção patogénica une-se aos cílios das células do epitélio respiratório provocando a sua perda e alterando a função do aparelho mucociliar, o que faz com que as secreções pulmonares, partículas inaladas e agentes patogénicos que entram por via aérea não possam ser eliminados e progridam para as vias respiratórias baixas, onde se produz uma complicação do processo respiratório. A nível pulmonar este agente causa uma pneumonia broncointersticial que se caracteriza macroscopicamente pelo aparecimento de áreas de consolidação de cor vermelho, bem delimitadas do resto do parênquima, nas porções crâneo-ventrais do pulmão (figura 1). A nível microscópico observa-se uma hiperplasia do tecido linfóide peribronquial, peribronquiolar e perivascular, muito característica deste processo (figura 2).


O A. pleuropneumoniae (App) é um bacilo gram-negativo encapsulado, de morfologia cocobacilar e do qual existem dois biótipos, o biótipo I, nicotinamida adenina dinucleótido (NAD) dependente e o biótipo II, NAD independente. Existem 18 serótipos, do 1 ao 12 e do 15 ao18 pertencem ao Biótipo I, enquanto que os serótipos 13 e 14 pertencem ao Biótipo II. App produz 4 toxinas, Apx I, II e III, próprias de certas estirpes e Apx IV, comum a todas as estirpes, pelo que esta última toxina é a diana na qual se baseiam vários ensaios de diagnóstico indirecto por ELISA. Esta bactéria coloniza as amígdalas e dai passa ao aparelho respiratório baixo, aderindo aos pneumócitos alveolares, onde segrega as toxinas, que vão ter efeitos hemolíticos e citotóxicos alterando a função das células endoteliais e os fenómenos de fagocitose dos macrófagos alveolares, o que originará a activação da cascata da coagulação, formação de microtrombos e fenómenos de necrose isquémica, que são as responsáveis pela lesão mais característica deste agente patogénico, o aparecimento das zonas de enfarto no pulmão.
O padrão de lesão pulmonar que causa é o de uma broncopneumonia fibrinosa na qual, nos casos hiperagudos e agudos, as lesões são observadas sobretudo nas porções dorsocaudais do pulmão (figura 3), com áreas de necroses por coagulação (infarto) e hemorragias, friáveis e com aspecto marmóreo ao corte. Microscopicamente, consegue apreciar-se a presença de fibrina e leucócitos degenerados na luz dos alvéolos, brônquios e bronquíolos, áreas de necrose e hemorragia de diferente extensão e edema alveolar e intersticial, sendo comum também o aparecimento de pleurite fibrinosa. Estas mesmas lesões podem ser produzidas por algumas estirpes muito virulentas de P. multocida, pelo que será necessário socorrermo-nos da história clínica, apresentação das lesões macroscópicas e análise microbiológico para poder realizar um diagnóstico assertivo.
A. pleuropneumoniae também pode decorrer de forma crónica, na qual a partir das lesões agudas é produzida uma disseminação hematogénica, aparecendo lesões multifocais de cor esbranquiçado e tamanho variável por todo o pulmão.

A maioria das estirpe de P. multocida actuam como agentes secundários e o tipo de lesão que produzem pode variar de broncopneumonia fibrinosa a broncopneumonia catarro-purulenta. No primeiro, é produzido um exsudato de fibrina no alvéolo, acompanhado de deposição de fibrina na superfície da pleura. Além disso, ocorrem focos de necrose de coagulação no pulmão como consequência de fenómenos de trombose nos vasos sanguíneos. Na broncopneumonia catarro-purulenta, aparece um exsudato mucoso ou catarro-purulento no trato respiratório (traqueia, brônquios e bronquíolos) e na luz dos alvéolos (Figura 4). Outro agente causador desse tipo de broncopneumonia, principalmente nas primeiras semanas de vida, é a B. bronchiseptica, lesão que também pode ser acompanhada por processo de rinite atrófica não progressiva.

Agentes bacterianos como T. pyogenes e S. suis podem estar relacionados a processos de pneumonia embólica, associada a processos de onfaloflebite, infecções bacterianas da pele ou cascos (T. pyogenes) ou casos de endocardite mural (S. suis), quadros em que a bactéria atinge o pulmão por via hematogénica a partir dessas lesões. Macroscopicamente, observam-se lesões multifocais distribuídas por todo o pulmão, de cor esbranquiçada e de tamanho que pode variar de 1 mm a 2 cm de diâmetro, rodeadas por halo avermelhado nos casos mais agudos, e que evoluem rapidamente para formação abscesso (figura 5).

Nos casos de pleurite fibrinosa, em que, além da pleura, são observados depósitos de fibrina em outras superfícies serosas, destacam-se três bactérias principais que são a G. parasuis, M. hyorhinis e / ou S. suis. Em muitas ocasiões, estas lesões podem passar despercebidas clinicamente e será no matadouro onde poderemos observar aumentos nas aderências pleurais devido à cronificação desses processos (Figura 6).


Embora a maioria das bactérias que afectam o sistema respiratório sejam agentes oportunistas, dois agentes bacterianos primários, que podem ser considerados entre os mais patogénicos nos porcos, devem ser sempre considerados: M. hyopneumoniae e A. pleuropneumoniae.












