X
XLinkedinWhatsAppTelegramTelegram
0
Leia este artigo em:

Caso clínico: coxeiras anormais em leitões lactantes

Em Março de 2021, apareceu uma alta percentagem de claudicações severas em leitões de 12/17 dias.

Descrição da exploração

A exploração é uma instalação convencional de ciclo aberto localizada no Piamonte numa zona com uma alta densidade suína. A exploração mais próxima fica a cerca de 500 metros.

A exploração é composta por cerca de 300 porcas de genética dinamarquesa inseminadas com machos de genética Talent, organizadas em bandas de 35 dias. Os leitões são desmamados aos 26 dias de idade com um peso médio de cerca de 6 kg. A média de nascidos vivos é de 14,3 leitões por parto, 12,3 desmamados com mortalidade de 13,9% na sala de parto. As principais causas de morte incluem as relacionadas ao baixo peso ao nascer de alguns leitões, problemas entéricos esporádicos e estreptococias. 25% da produção fica até aos 30 kg no mesmo sítio 1 e 75% é transferido para o sítio 2 ao desmame.

As nulíparas de substituição chegam 4 veces por ano de uma exploração PRRSv negativa com bom nivel sanitário, um núcleo de GP propriedade do mesmo produtor.

Ao entrar, são alojadas numa sala de quarentena durante 90 dias durante os quais são realizadas as vacinações e a aclimatação.

O plano de vacinação para reprodutores inclui imunização para doença de Aujeszky, PRRSV, gripe, PCV2, Mycoplasma, E. coli, clostridia, rinite atrófica, pleuropneumonia, doença de Glasser, erisipela e parvovírus. Os leitões são vacinados aos 21 dias de idade contra PRRSv, PCV2 e Mycoplasma.

Para a monitorização são realizadas análises de fluidos do processamento (testículos) em cada banda para realizar análises de PRRSv mediante RT-PCR e a exploração não é estável.

As porcas são alojadas em jaulas de gestação para estimulação do cio e inseminação, seguidas de uma fase de recuperação da condição corporal. De seguida, são transferidas para a gestação em grupos, com parques de 6/12 animais, e são alimentados apenas uma vez ao dia para diminuir os conflitos dentro do grupo.

As salas de parto são tradicionais: recinto individual com a porca enjaulada durante todo o período de lactação, pavimento de ripas adequado para leitões e pavimento sólido na zona do ninho. A temperatura na sala é mantida em torno de 24 graus e no ninho 29 graus com lâmpadas infravermelhas durante os primeiros 10 dias de vida dos leitões. Entre o terceiro e o quinto dia de vida, são tratados com ferro e toltrazuril e, ao mesmo tempo, é realizada corte da cauda e castração. As porcas são levadas para a sala de parto cinco dias antes do parto, onde são alimentadas três vezes ao dia e têm bastante água disponível.

Alimentação

O produtor possui uma fábrica de rações onde produz alimentos através da compra de matérias-primas e um núcleo de vitaminas e minerais.

As matérias-primas são controladas para caracterizar os nutrientes e micotoxinas mais comuns. Além de fornecer um suplemento mineral, o núcleo contém um bom nível de vitaminas B, E (110 mg) e polifenóis com função antioxidante.

Os oligoelementos são parcialmente fornecidos na forma orgânica e o valor dos hepatoprotetores colina e betaína é bastante elevado.

As rações são baseadas em milho e soja, mas também incluem altos níveis de cevada e polpa para alcançar, graças também à boa quantidade de farelo de folha larga, níveis significativos de fibra funcional; em particular, isso ocorre na fase anteparto graças ao uso de um alimento específico.

São usados três alimentos ​​para as porcas: lactação, gestação e pré-parto.

Fórmula/análise

Tipo de ração: Gestação
Ingrediente Quantidade %
Milho 30,00
Soja 48 10,00
Bagaço 26,00
Cevada 20,00
Óleo de Soja 1,00
Casca de arroz 5,00
Polpa 3,00
Prémix 5,00
Total 100,00
Características analíticas
Proteína bruta 13,80%
Gordura bruta 4,50%
Fibra bruta 6,10%
Cinzas 6,10%
Energia digestível 2.995
Cálcio 0,90%
Fósforo 0,70%
Lisina total 0,65%
Tipo de rações: lactação plus
Ingredientes Quantidade %
Milho 30,00
Soja 48 18,00
Bagaço 15,00
Cevada 15,00
Óleo de Soja 1,50
Polpa 3,00
Premix energético 8,00
Banha de porco 1,50
Casca de arroz 3,00
Premix 5,00
Total 100,00
Características analíticas
Proteína bruta 16,20%
Gordura bruta 6,50%
Fibra bruta 4,80%
Cinzas 5,90%
Energía digestível 3.290
Cálcio 0,95%
Fósforo 0,70%
Lisina total 1,00%
Tipo de ração: Porca Pré-parto light
Ingredientes Quantidade %
Milho 16,00
Soja 48 7,00
Bagaço 22,50
Cevada 34,00
Premix energético 7,00
Polpa 9,00
Óleo de Soja 0,50
Premix 4,00
Total 100,00
Características analíticas
Proteína bruta 13,10%
Gordura bruta 3,60%
Fibra bruta 6,20%
Cinzas 5,30%
Energía digestível 2.985
Cálcio 0,80%
Fósforo 0,60%
Lisina total 0,75%

Descriçáo do problema

Em Março de 2021, apareceu uma alta percentagem de claudicação severa em leitões de 12/17 dias - cerca de 20% dos animais - com acometimento prevalente da parte distal do membro, edema severo da banda coronária e da sola e, em alguns casos, espalhou-se por todo o casco: foram tratados com antibióticos (amoxicilina) e spray tópico de clortetraciclina com boa resposta e remissão da infecção. Porém, em casos específicos, os tecidos ficavam tão comprometidos que ocasionavam a perda do casco.

Figura 1. Inflamação da banda coronária.

 
Figura 1. Inflamação da banda coronária.  
Figura 2. Lesão plantar em leitão de 15 dias

Figura 2. Lesão plantar em leitão de 15 dias

Figura 3. Perda de cascos em leitão de 15 dias

Figura 3. Perda de cascos em leitão de 15 dias

A primeira hipótese diagnóstica estava relacionada com causas mecânicas e ambientais, sugerindo o aparecimento de feridas complicadas por agentes patogénicos. Os animais foram então monitorizados para procurar evidências adicionais. Ao mesmo tempo, foi introduzido o uso de desinfetantes em pó durante o parto.

Intensificando as observações nas bandas posteriores,foram observadas lesões necróticas e inflamatórias independentes em recém-nascidos envolvendo a almofada plantar, a banda coronária, em alguns casos o umbigo, a cauda e os mamilos.

O conjunto de lesões, que também surgiram precocemente, levou-nos a afastar as causas mecânicas directas e primárias e a suspeitar de uma origem endógena.
Assim, levantou-se a suspeita de que se tratava da recém-identificada síndrome SINS (síndrome da necrose e inflamação suína).

Descriçáo do síndrome

O SINS (Swine Inflammation and Necrosis Syndrome, descrito por G. Reiner et al., 2021) é uma síndrome caracterizada por inflamação e necrose, principalmente dos tecidos mais periféricos, em consequência de lesões na microcirculação (hiperemia e / ou vasoconstrição, edema, trombos, proliferação da íntima, infiltração de granulócitos e macrófagos).

O síndrome é desencadeado pela activação do sistema imunitário e da cascata inflamatória e por inúmeras causas concomitantes que vão desde situações de stress ambiental (termorregulação) e psicológico (competição), qualidade da comida, água e ar ou infecções. Tudo isso pode envolver a libertação na corrente sanguínea de várias moléculas pró-inflamatórias (endotoxinas, micotoxinas, lipopolissacarídeos, padrões moleculares associados a micróbios - MAMP) tanto do próprio corpo como da microbiota intestinal quando são capazes de superar a barreira intestinal e a capacidade desintoxicante do fígado.

As lesões comprometem o bem-estar do animal e o síndrome tem sido relacionado à qualidade da porca. Também podem ser vistos sinais de SINS no desmame e na engorda. (Reiner et al., 2020).

A predisposição genética entre os factores predisponentes para vulnerabilidade a esta síndrome está a ser investigada (Reiner et al., 2021)

Investigações posteriores

1- Foram examinados leitões no terceiro dia de vida a partir de 29 ninhadas em referência ao estudo clínico apresentado por G. Reiner e outros para identificar a prevalência de lesões (Reiner et al., 2019).

Dos 403 leitões avaliados (sem avaliação do grau específico), todos apresentaram lesões localizadas em uma ou mais áreas ao mesmo tempo das quais:

  • 399 (99,1%) na almofada plantar e banda coronária
  • 250 (62,03%) nas bochechas
  • 50 (12,41%) na base das orelhas
  • 17 (4,22%) na cauda
  • 255 (63,28%) no umbigo
  • 44 (10,92%) nos mamilos.
Figura 4. Lesões do umbigo e mamilos

Figura 4. Lesões do umbigo e mamilos

Figura 5. Lesões na base das orelhas

Figura 5. Lesões na base das orelhas

Figura 6. Lesões podais (almofada plantar e banda coronária) aos 4 dias de idade
Figura 6. Lesões podais (almofada plantar e banda coronária) aos 4 dias de idade
Figura 7. Lesões na cauda

Figura 7. Lesões na cauda

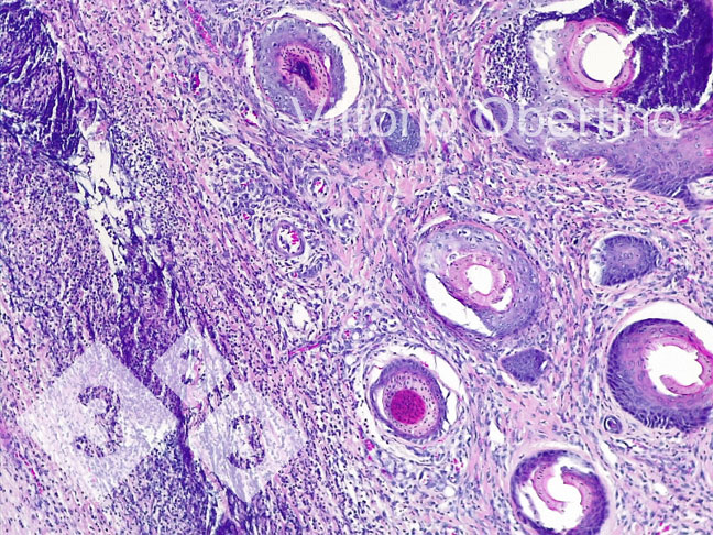
2- Foram enviadas amostras de tecido à Universidade de Torino para verificar se as lesões eram histologicamente compatíveis com as imagens descritas na literatura. (Kuehling et al. 2020).

Figura 8. Umbigo. Área dérmica localmente extendida que consta de fibroplasia com fibroblastos activados e numerosos vasos pequenos e imaturos (tecido de granulação recém formado), infiltrado inflamatorio multifocal com predominio de células linfoplasmacelulares; em algumas estruturas vasculares existe um infiltrado inflamatório granulocítico que rodeia a parede do vaso e a infiltra focalmente (vasculitis leucotariana).

Figura 8. Umbigo. Área dérmica localmente extendida que consta de fibroplasia com fibroblastos activados e numerosos vasos pequenos e imaturos (tecido de granulação recém formado), infiltrado inflamatorio multifocal com predominio de células linfoplasmacelulares; em algumas estruturas vasculares existe um infiltrado inflamatório granulocítico que rodeia a parede do vaso e a infiltra focalmente (vasculitis leucotariana).

Figura 9. Pele. Erosão epitelial focal em que a camada superficial é substituída por abundante material eosinofílico amorfo a granular com restos cariorécticos (necrose) e abundantes granulocitos neutrofílicos degenerados e viáveis. Multifocalmente, o epitélio aparece de moderada a marcadamente hiperplásico com hiperqueratose ortoqueratósica de moderada a severa. Também é observada a presença multifocal de crosta. A derme aparece difusa e moderadamente fibrótica.

Figura 9. Pele. Erosão epitelial focal em que a camada superficial é substituída por abundante material eosinofílico amorfo a granular com restos cariorécticos (necrose) e abundantes granulocitos neutrofílicos degenerados e viáveis. Multifocalmente, o epitélio aparece de moderada a marcadamente hiperplásico com hiperqueratose ortoqueratósica de moderada a severa. Também é observada a presença multifocal de crosta. A derme aparece difusa e moderadamente fibrótica.

3- Foram realizados controlos nos alimentos que não revelaram desvios significativos nos parâmetros nutricionais. A monitorização de micotoxinas encontrou valores muito baixos, apenas os níveis de alcalóide da cravagem apresentaram níveis de possível importância. Foram observados níveis estranhamente altos de fitoestrogénios, mas a origem e o significado ainda não foram explorados.

Figura 10. Teste micotoxinas.

Figura 10. Teste micotoxinas.

4-Foi observada a presença de coprostasia nas porcas em sala de parto e gestação.

5- Esporadicamente foram observadas a presença de alterações cutâneas e edemas a nível mamário em porcas em partos.

Figura 11. Lesáo mamária numa porca lactante.

Figura 11. Lesáo mamária numa porca lactante.

Medidas correctivas

  • Foi introduzido na ração um aditivo de amplo espectro, baseado em agentes de captura e enzimas
  • O nível de fibra foi ligeiramente aumentado e, acima de tudo, sua estrutura foi modificada pela substituição do farelo de folha larga.
  • Foi introduzido um sistema de desinfecção de peróxido para água potável.
  • A palha foi administrada diariamente (100 g por cabeça por dia) na fase de gestação.

Conclusões

Em resumo, à luz dos elementos recolhidos:

  • A presença de lesões clínicas e o quadro histológico.
  • Lesões mamárias e coprostase observadas em porcas.

Confirma-se a suspeita de que se trata de um caso de síndrome de necrose e inflamação suína.

A eficácia das medidas correctivas adoptadas será avaliada nos próximos meses.

Agradecimentos

  • Agradecimento à Universidade de Turim na pessoa da Dra. Raffaella Demaria do Departamento de Ciências Veterinárias.
  • Obrigado à empresa Allevamenti 1910 Andorno pela sua constante colaboração.
  • Obrigado ao Dr. Ettore Bosco pela sua monitorização a nível de campo.

Comentários ao artigo

Este espaço não é uma zona de consultas aos autores dos artigos mas sim um local de discussão aberto a todos os utilizadores de 3tres3
Insere um novo comentário

Para fazeres comentários tens que ser utilizador registado da 3tres3 e fazer login

Não estás inscrito na lista A web em 3 minutos

Um resumo semanal das novidades da 3tres3.com.pt

faz login e inscreve-te na lista

Produtos relacionados na Loja Agro-Pecuária

A loja especializada em suíno
Acoselhamento e serviço técnico
Mais de 120 marcas e fabricantes
Não estás inscrito na lista A web em 3 minutos

Um resumo semanal das novidades da 3tres3.com.pt

faz login e inscreve-te na lista