Główną rolą układu oddechowego jest wychwytywanie tlenu z powietrza, a także eliminowanie CO2 z katabolizmu tkanek. U świni odgrywa również ważną rolę w procesie termoregulacji, ponieważ świnia nie ma gruczołów potowych. Nadmiar ciepła jest eliminowany przez system ewaporacyjny, związany z przyspieszeniem oddechów na tle termicznym.
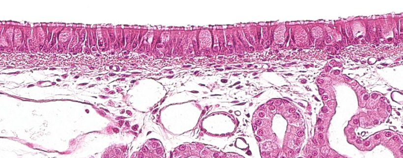
Pierwsza część układu oddechowego, strefa przewodząca lub strefa oddechowa, biegnie od jamy nosowej do ostatnich gałęzi oskrzeli, a także obejmuje zatoki nosowe i przynosowe, które są połączone z jamą nosową, nosogardzielą i krtanią. Wszystkie te struktury rurowe są wyściełane nabłonkiem wielorzędowym urzęsionym z komórkami kubkowymi (ryc. 1), który jest odpowiedzialny za jeden z głównych układów obronnych błony śluzowej dróg oddechowych - układ śluzowo-rzęskowy. Ten system składa się z rzęsek komórek nabłonka oddechowego, wraz z wydzielinami z komórek kubkowych i gruczołów śluzowo- surowiczych, znajdujących się pod błonś śluzoweą dróg oddechowych. Ich główną funkcją jest eliminacja cząstek, które dostają się z wdychanym powietrzem. Gruczoły wydzielają przezroczystą, bogatą w białko ciecz między rzęski, tworząc medium, które ułatwia ruch rzęsek w górę. Śluz wydzielany przez komórki kubkowe osadza się na rzęskach i umożliwia przywieranie do nich wdychanych cząstek. Ruch rzęsek w górę popycha śluz w kierunku górnych dróg oddechowych. Śluz może być następnie połknięty i przedostać się do przewodu pokarmowego, gdzie jest trawiony, lub może być wydalony przez usta i / lub jamę nosową. Bakterie takie jak Mycoplasma hyopneumoniae, która powoduje utratę rzęsek, lub wirusy, takie jak grypa świń lub koronawirus oddechowy, które powodują zniszczenie komórek nabłonkowych, działają patogennie, niszcząc ten system obronny.

Z błoną śluzową dróg oddechowych związane są tkanki limfatyczne związane z oskrzelami (BALT), w których zachodzi interakcja między limfocytami i antygenami zewnętrznych patogenów, powodując specyficzną odpowiedź obronną, unikając w ten sposób ogólnoustrojowej odpowiedzi immunologicznej. Charakteryzuje się to występowaniem humoralnej odpowiedzi immunologicznej przez IgA, które są selektywnie wydzielane na powierzchni błony śluzowej za pomocą aktywnego transportu.

Ryc. 1: Nabłonek wielorzędowy urzęsiony z komórkami kubkowymi, charakterystyczny dla układu oddechowego.
Za oskrzelikami oddechowymi znajduje się część oddechowa, utworzona z pęcherzyków płucnych, które są otoczone cienką ścianą, przez którą przepływa gęsta sieć naczyń włosowatych, w której zachodzi wymiana gazu między powietrzem a krwią.
Nabłonek wyściełający pęcherzyki składa się z dwóch typów komórek, zwanych pneumocytami typu I i typu II (ryc. 2). Pneumocyty typu I to płaskie komórki, które pokrywają większość powierzchni pęcherzyków płucnych, a gazy mogą łatwo przenikać przez ich cytoplazmy. Pneumocyty typu II występują same lub w małych grupach wśród pneumocytów typu I, głównie na krawędziach, gdzie łączą się z przegrodami pęcherzykowymi. Ich morfologia różni się od zaokrąglonej do sześciennej, z niewielką ilością mikrokosmków na wolnej powierzchni. Ich cytoplazma zawiera organelle, zwane ciałkami blaszkowatymi lub cytosomami. Cytosomy wydzielają substancję powierzchniowo czynną na powierzchni pęcherzyków płucnych, która miesza się z cząsteczkami wody, zmniejszając ich spójność, zmniejszając w ten sposób napięcie powierzchniowe płynu pęcherzykowego, zapobiegając zapadaniu się płuc i powodując mniejszy wysiłek wdechowy potrzebny do łatwego wypełnienia pęcherzyków płucnych z powietrzem. Komórki te mają zdolność dzielenia się i różnicowania na pneumocyty typu I, będąc głównym źródłem odnowy komórek. Środek ściany pęcherzykowej zajmuje śródmiąższ, który ma charakter łączny i obsługuje zespoły szerokiej sieci naczyń włosowatych.

Ryc. 2: Schemat ściany pęcherzyka płucnego.
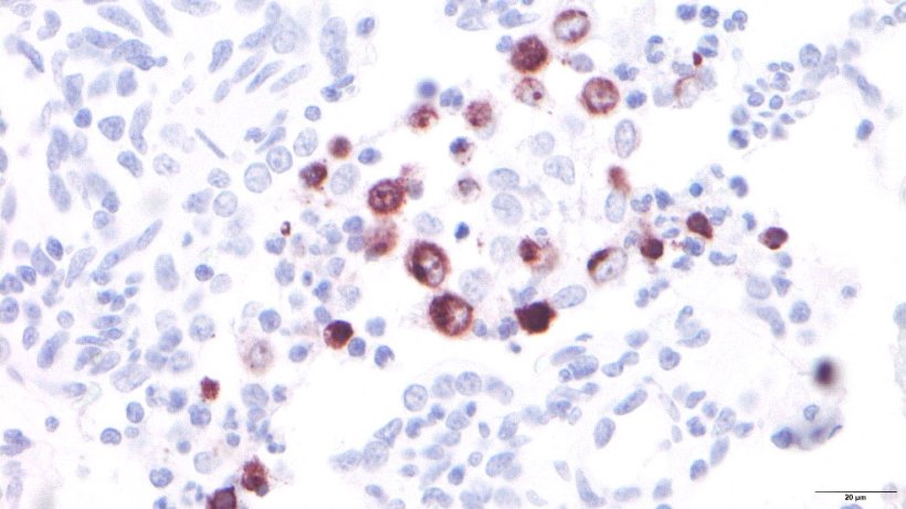
Makrofagi płucne są kolejnym ważnym mechanizmem obrony płuc. Oprócz makrofagów pęcherzykowych, zlokalizowanych w świetle pęcherzyków płucnych, możemy również znaleźć wewnątrznaczyniowe makrofagi płucne, znajdujące się wewnątrz naczyń włosowatych oraz makrofagi śródmiąższowe, znajdujące się w śródmiąższu przegrody (ryc. 2). Te pierwsze bronią światła pęcherzyków płucnych przez fagocytowanie mikroorganizmów i wdychanych cząstek, podczas gdy te drugie są odpowiedzialne za eliminację cząstek lub patogenów, które docierają do płuc przez krew. Populacja makrofagów płucnych jest głównym producentem mediatorów zapalenia, takich jak cytokiny i chemokiny, które mogą być również wydzielane przez inne typy komórek. Główną funkcją tych cząsteczek jest przyciąganie komórek zapalnych, takich jak neutrofile i limfocyty, do miejsca uszkodzenia, służąc w ten sposób jako „system komunikacji” między komórkami biorącymi udział w procesie zapalnym. Wirusy, takie jak wirus zespołu rozrodczo-oddechowego świń (PRRSV), których głównymi celami komórkowymi są makrofagi pęcherzykowe (ryc. 3), zmieniają ich podstawowe funkcje (fagocytoza, prezentacja antygenu i wytwarzanie cytokin) i powodują ich śmierć w wyniku martwicy i / lub apoptozy, co moduluje odpowiedź immunologiczną, powodując opóźnienie pojawienia się skutecznej odpowiedzi adaptacyjnej, sprzyjając w ten sposób pojawieniu się wtórnych infekcji.

Ryc. 3: Makrofagi płucne zainfekowane PRRSV.
Nigdy nie wolno nam zapominać, że pęcherzyk, miejsce, w którym zachodzi wymiana oddechowa, ma kontakt z zewnętrzem, więc integralność aparatu śluzowo-rzęskowego i funkcjonalność makrofagów ma podstawowe znaczenie dla utrzymania homeostazy funkcji oddechowej.









