X
XLinkedinWhatsAppTelegramTelegram
0
1
Czytaj ten artykuł w:

Przypadek kliniczny: kulawizny u prosiąt ssących

W marcu 2021 r. u prosiąt w wieku od 12 do 17 dni nastąpił wzrost występowania poważnych kulawizn u około 20% obecnych prosiąt.

Opis fermy

Farma jest konwencjonalną farmą pozyskująca zwierzęta remontowe z zewnątrz, zlokalizowaną w Piemoncie we Włoszech na obszarze o wysokim zagęszczeniu trzody chlewnej. Najbliższe gospodarstwo oddalone jest o około 500 metrów.

Na fermie jest około 300 loch duńskiej genetyki, które są inseminowane linią rodzicielską Talent, podzieloną na 35-dniowe partie; Prosięta odsadzane są w 26 dniu o średniej wadze około 6 kg. Średnia liczba żywo urodzonych prosiąt wynosi 14,3 prosiąt na oproszenie, 12,3 prosiąt jest odsadzonych a wskaźnik śmiertelności przed odsadzeniem wynosił 13,9%. Głównymi przyczynami upadków są te związane z niską masą urodzeniową niektórych prosiąt, sporadycznymi problemami jelitowymi i infekcją powodowaną przez paciorkowce. Dwadzieścia pięć procent produkcji jest zatrzymywane na miejscu w fermie loch aż do osiągnięcia 30 kg, a 75% jest przenoszone do odchowalni po odsadzeniu.

Loszki remontowe przybywają 4 razy w roku z fermy ujemnej na PRRSv z dobrym stanem zdrowia, z fermy należącej do tego samego producenta.

Przed wprowadzeniem loszki są przetrzymywane w pomieszczeniu do kwarantanny przez 90 dni, podczas których przeprowadzane są szczepienia i aklimatyzacja.

Plan szczepień dla zwierząt hodowlanych obejmuje szczepienia przeciwko chorobie Aujeszky'ego, PRRSV, grypie, PCV2, mykoplazmom, E. coli, Clostridia, ZZZN, pleuropleumonii, chorobie Glassera, różycy i parwowirusowi. Prosięta są szczepione w 21 dniu przeciwko PRRSv, PCV2 i Mycoplasma.

W celu monitorowania w każdej partii przeprowadza się analizę płynów procesowych (technologicznych) (pozyskiwanych z jąder po kastracji) do badań w kierunku PRRSv metodą RT-PCR; ferma nie jest stabilna.

Lochy są trzymane w kojcach ciążowych w celu stymulacji rui i inseminacji, po której następuje faza regeneracji kondycji. Następnie przenosi się je do grup ciążowych w kojcach liczących od 6 do 12 zwierząt i karmi się je tylko raz dziennie, aby ograniczyć konflikty w grupie.

Porodówki są tradycyjne: indywidualne kojce z lochą w blokadzie przez cały okres laktacji, podłoga z rusztów odpowiednia dla prosiąt i podłoga lita w obszarze gniazda. Temperatura w pomieszczeniu utrzymywana jest na poziomie około 24 stopni Celsjusza, podczas gdy gniazdo utrzymywane jest na poziomie 29 stopni za pomocą lamp na podczerwień przez pierwsze 10 dni życia prosiąt. Między trzecim a piątym dniem podawane jest im żelazo i toltrazuril, a jednocześnie wykonuje się obcinanie ogonów i kastrację. Maciory są przyprowadzane do porodówki na pięć dni przed porodem, gdzie są karmione trzy razy dziennie i mają dostęp do dużej ilości wody.

Źywienie

Producent posiada mieszalnie pasz, w której pasza jest produkowana z zakupionych surowców i premiksu witaminowo-mineralnego.

Surowce są testowane w celu scharakteryzowania obecności składników odżywczych i mikotoksyn. Oprócz uzupełniania minerałów, premiks zawiera dobry odpowiedni witamin B, E (110 mg) oraz polifenoli o działaniu przeciwutleniającym.

Pierwiastki śladowe są częściowo dostarczane w formie organicznej, a wartość hepatoprotektantów choliny i betainy jest dość wysoka.

Pasza jest oparta na kukurydzy i soi, ale zawiera również duże ilości jęczmienia i pulpy, aby osiągnąć wysoki poziom funkcjonalnego włókna, również dzięki dużej ilości gęstych otrębów; w szczególności istotne jest to w fazie przedporodowej dzięki zastosowaniu określonej paszy.

W przypadku loch stosuje się trzy rodzaje pasz: laktacyjną, ciążową i przed porodową.

Formuła/analiza

Rodzaj paszy: Ciążowa
Składniki Ilość %
Kukurydza 30.00
Śruta sojowa (48% CP) 10.00
Otręby 26.00
Jęczmień 20.00
Olej sojowy 1.00
Otręby ryżowe 5.00
Łupiny 3.00
Premiks 5.00
Razem 100.00
Charakterystyka analityczna
Białko surowe 13.80%
Tłuszcz surowy 4.50%
Włókno surowe 6.10%
Popiół 6.10%
Energia strawna 2,995
Wapń 0.90%
Fosfor 0.70%
Lizyna całkowita 0.65%
Rodzaj paszy: Laktacja plus
Składniki ilosć %
Kukurydza 30.00
Śruta sojowa (48% CP) 18.00
Otręby 15.00
Jęczmień 15.00
Olej sojowy 1.50
Łupiny 3.00
Premiks wysokoenergetyczny 8.00
Tłuszcz 1.50
Otręby ryżowe 3.00
Premiks 5.00
Razem 100.00
Charakterystyka analityczna
Białko surowe 16.20%
Tłuszcz surowy 6.50%
Włókno surowe 4.80%
Popiół 5.90%
Energia strawna 3,290
Wapń 0.95%
Fosfor 0.70%
Lizyna całkowita 1.00%
Rodzaj paszy: Przedporodowa lekka
Składniki Ilosć %
Kukurydza 16.00
Śruta sojowa (48% CP) 7.00
Otręby 22.50
Jęczmień 34.00
Premiks wysokoenergetyczny 7.00
Łupiny 9.00
Olej sojowy 0.50
Premiks 4.00
Razem 100.00
Charakterystyka analityczna
Białko surowe 13.10%
Tłuszcz surowy 3.60%
Włókno surowe 6.20%
Popiół 5.30%
Energia strawna 2,985
Wapń 0.80%
Fosfor 0.60%
Lizyna całkowita 0.75%

Opis problemu

W marcu 2021 r. u 12-17-dniowych prosiąt (około 20% zwierząt) pojawiła się wysoka częstość występowania poważnej kulawizny, głównie z zajęciem dolnej części kończyny, ciężkim obrzękiem koronki i podeszwy, a niektóre przypadki obejmowały całe racice: leczono je antybiotykiem (amoksycyliną) i miejscowo opryskiwano chlorotetracykliną z dobrą odpowiedzią na leczenie i remisją infekcji. Jednak w niektórych przypadkach tkanki były tak uszkodzone, że róg racicowy oddzielił się od reszty tkanek.

Rysunek 1. Zapalenie pasma wieńcowego

 

Rysunek 1. Zapalenie pasma wieńcowego

 

Rycina 2. Uszkodzenie podeszwy 15-dniowego prosięcia.

Rycina 2. Uszkodzenie podeszwy 15-dniowego prosięcia.

Rycina 3. Utrata racicy u 15-dniowego prosięcia.

Rycina 3. Utrata racicy u 15-dniowego prosięcia.

Pierwsza hipoteza diagnostyczna dotyczyła przyczyn mechanicznych i środowiskowych, sugerując występowanie ran powikłanych patogenami; zwierzęta następnie monitorowano pod kątem dodatkowych czynników. Jednocześnie wprowadzono stosowanie suchej dezynfekcji podczas porodów.

W miarę nasilania się problemu w kolejnych partiach, u świeżo urodzonych świń niezależnie obserwowano zmiany zapalne i martwicze obejmujące poduszkę racicy i koronkę, w niektórych przypadkach pępek, ogon i sutki.

Szereg zmian, które również pojawiły się bardzo wcześnie, skłonił nas do wykluczenia bezpośredniej przyczyny mechanicznej i podejrzenia pochodzenia endogennego.
W związku z tym pojawiło się podejrzenie, że był to przypadek niedawno zidentyfikowanego zespołu SINS (ang. swine inflammation and necrosis syndrome, zespół zapalenia i martwicy u świń).

Opis syndromu

SINS (zespół zapalenia i martwicy u świń, opisany przez G. Reinera i wsp., 2021) to zespół charakteryzujący się stanem zapalnym i martwicą, zwłaszcza najbardziej obwodowych tkanek, w wyniku zmian mikrokrążeniowych (przekrwienie i/lub zwężenie naczyń, obrzęk, skrzepliny, proliferacja błony endothelium, naciek granulocytów i makrofagów).

Zespół jest wywoływany przez aktywację układu odpornościowego i kaskadę zapalną oraz przez liczne współistniejące przyczyny, od stresu środowiskowego (termoregulacja) i psychologicznego (konkurencja), po jakość żywności, wody i powietrza lub infekcje. Wszystko to może wiązać się z uwalnianiem do krwiobiegu różnych cząsteczek prozapalnych (endotoksyny, mykotoksyny, lipopolisacharydy, wzorce molekularne związane z drobnoustrojami – MAMP) zarówno z samego organizmu, jak i z mikrobioty jelitowej, gdy są one w stanie pokonać barierę jelitową i możiwości deaktywacyjne wątroby.

Zmiany chorobowe zagrażają dobrostanowi zwierząt, a syndrom powiązano z jakością lochy. Oznaki SINS można zaobserwować również przy odsadzaniu i tuczu. (Reiner i in., 2020).

Predyspozycje genetyczne są badane wśród czynników predysponujących do podatności na ten zespół (Reiner i wsp., 2021).

Dalsze dochodzenie

1- Trzydniowe prosięta z 29 miotów zostały przebadane w odniesieniu do badania klinicznego przedstawionego przez G. Reinera i in. w celu określenia częstości występowania zmian (Reiner i wsp., 2019).

Spośród 403 ocenianych prosiąt (bez oceny konkretnego stopnia) wszystkie wykazywały zmiany zlokalizowane w jednym lub kilku miejscach jednocześnie:

  • 399 (99,1%) na poduszce kopytowej i koronce
  • 250 (62,03%) na policzkach
  • 50 (12,41%) u nasady uszu
  • 17 (4,22%) na ogonie
  • 255 (63,28%) w pępku
  • 44 (10,92%) na sutkach
Rycina 4. Zmiany na pępku i sutkach.

Rycina 4. Zmiany na pępku i sutkach.

Rycina 5. Zmiany u podstawy uszu.

 

Rycina 5. Zmiany u podstawy uszu.

 

Rycina 6. Uszkodzenia podeszwy (racica i opaska wieńcowa) w wieku 4 dni.

Rycina 6. Uszkodzenia podeszwy (racica i opaska wieńcowa) w wieku 4 dni.

Rysunek 7. Zmiany na ogonie.

Rysunek 7. Zmiany na ogonie.

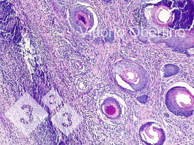
2- Próbki tkanek wysłano do Uniwersytetu w Turynie w celu sprawdzenia, czy zmiany histologiczne były zgodne z obrazami opisanymi w literaturze (Kuehling i wsp. 2020).

Rysunek 8. Pępek. Miejscowo rozległy obszar skóry złożony z fibroplazji z aktywowanymi fibroblastami i licznymi niedojrzałymi małymi naczyniami (nowo utworzona ziarnina), wieloogniskowy naciek zapalny z przewagą lymphoplasmacellular cells; in some vascular structures there is a granulocytic inflammatory infiltrate surrounding the vessel wall and focally infiltrating it (leukocytoclastic vasculitis).

Rysunek 8. Pępek. Miejscowo rozległy obszar skóry złożony z fibroplazji z aktywowanymi fibroblastami i licznymi niedojrzałymi małymi naczyniami (nowo utworzona ziarnina), wieloogniskowy naciek zapalny z przewagą lymphoplasmacellular cells; in some vascular structures there is a granulocytic inflammatory infiltrate surrounding the vessel wall and focally infiltrating it (leukocytoclastic vasculitis).

Rysunek 9. Skóra. Ogniskowa erozja nabłonka, w której warstwa powierzchniowa jest zastąpiona przez obfity, amorficzny lub ziarnisty materiał eozynofilowy ze szczątkami kariorektycznymi (martwicą) i licznymi zdegenerowanymi, żywotnymi granulocytami obojętnochłonnymi. Wieloogniskowo nabłonek wydaje się być od umiarkowanego do znacznego przerostu z umiarkowaną lub ciężką hiperkeratozą ortokeratotyczną. Obserwuje się również wieloogniskową obecność skorupy. Skóra właściwa wydaje się rozlana i umiarkowanie włóknista.

Rysunek 9. Skóra. Ogniskowa erozja nabłonka, w której warstwa powierzchniowa jest zastąpiona przez obfity, amorficzny lub ziarnisty materiał eozynofilowy ze szczątkami kariorektycznymi (martwicą) i licznymi zdegenerowanymi, żywotnymi granulocytami obojętnochłonnymi. Wieloogniskowo nabłonek wydaje się być od umiarkowanego do znacznego przerostu z umiarkowaną lub ciężką hiperkeratozą ortokeratotyczną. Obserwuje się również wieloogniskową obecność skorupy. Skóra właściwa wydaje się rozlana i umiarkowanie włóknista.

3- Przeprowadzono kontrole paszy, które nie wykazały istotnych odchyleń w parametrach żywieniowych. Monitorowanie mikotoksyn wykazało bardzo niskie wartości; tylko poziomy alkaloidów sporyszu wykazywały poziomy o możliwym znaczeniu klinicznym. Zaobserwowano niepokojąco wysokie poziomy fitoestrogenów, ale ich pochodzenie i znaczenie pozostają do zbadania.

Rycina 10. Test mikrotoksyn.

Rycina 10. Test mikrotoksyn.

4- Koprostazę obserwowano u loch na porodówce i w sektorze ciąży.

5- Obecność zmian skórnych i obrzękuwymion była sporadycznie wykrywana u loch karmiących.

Rycina 11. Zmiany sutka u lochy w okresie laktacji.

Rycina 11. Zmiany sutka u lochy w okresie laktacji.

Środki zaradcze

  • Do paszy wprowadzono dodatek o szerokim spektrum działania oparty na sekwestrantach i enzymach.
  • Nieznacznie zwiększono poziom błonnika, a przede wszystkim zmodyfikowano jego strukturę, zastępując śrutę otrębami.
  • Wprowadzono system dezynfekcji nadtlenkowej wody pitnej.
  • W sektorze ciąży wprowadzono codzienne podawanie słomy (100 g na sztukę dziennie)

Wnioski

Podsumowując:

  • Obecność zmian klinicznych i obraz histologiczny.
  • Zmiany w sutkach i koprostazę obserwowane u loch.

Potwierdza się podejrzenie wystąpienia zespołu zapalnego i martwicy świń.

Skuteczność podjętych środków naprawczych zostanie oceniona w nadchodzących miesiącach.

Podziękowanie

  • Uniwersytetu Turyńskiego.Dziękuję dr Raffaelli Demaria reprezentującej Wydział Nauk Weterynaryjnych
  • Dziękuję firmie Allevamenti 1910 Andorno za stałą współpracę.
  • Dziękuję dr Ettore Bosco za jego monitoring w terenie.

Komentarze do artykułu

To miejsce jest przeznaczone do dyskusji między użytkownikami pig333.com a nie do zadawania pytań autorom artykułów
Skomentuj

Dostęp tylko dla użytkowników portalu 3trzy3. Zaloguj się aby dodać komentarz.

Nie jesteś subskrybentem tej zawartości 3trzy3 w 3 minuty

Cotygodniowy newsletter podsumowujący najnowsze informacje z 3trzy3.pl

Zaloguj się i zapisz do subskrypcji

Powiązane produkty w sklepie

Sklep specjalizujący się w branży świń
Doradztwo i serwis techniczny
Ponad 120 marek i producentów
Nie jesteś subskrybentem tej zawartości 3trzy3 w 3 minuty

Cotygodniowy newsletter podsumowujący najnowsze informacje z 3trzy3.pl

Zaloguj się i zapisz do subskrypcji