
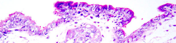
Inseminação artificial de marrã com sémen contaminado com PCV2
A vacinação das marrãs contra a PCV2 antes da IA mostrou uma clara redução da carga viral bem como uma excreção viral muito menor, que era compatível com a protecção fetal.
Notícias, eventos e reportagens da actualidade do sector suinícola
Os eventos relacionados com o sector suinícola existem a nível mundial
Fórum de discussão sobre temas dos suínos
Um resumo semanal das novidades da 3tres3.com.pt
Um boletim periódico de notícias sobre o mundo suinícola
A saúde dos suínos: notícias e artigos sobre PRRS, PCV2, biossegurança, etc., guia de doenças do porco, atlas de patologia, casos clínicos...
Como realizar uma necrópsia num porco, passo a passo, numa forma muito visual e prática.
Toda a informação sobre a Peste Suína Africana (PSA) na 3tres3,com.pt e em links externos
Descrição das doenças e afecções mais importantes nos suínos
Descrição fotográfica das lesões mais significativas dos suínos
Ferramenta para diagnosticar doenças nos suínos
Calcula a quantidade de medicamento a incorporar na água quando usamos um dosificador de fluxo
Um resumo semanal das novidades da 3tres3.com.pt
Preços do porco por países. Produção e comércio de carne de porco. Notícias do mercado do porco e das matérias-primas
As últimas cotações e a evolução histórica dos mercados mais importantes do suíno
Calcula o teu custo de produção, compara-o com o custo de referência e avalia como cada parâmetro afecta o custo de produção total e a margem
Dados e tendências do efectivo, produção e comércio de carne.
Dados de produção e comércio mundial das principais matérias-primas
Um resumo semanal das novidades da 3tres3.com.pt
Artigos sobre nutrição e alimentação de suínos, características das matérias primas e dos aditivos para suínos e preços das matérias-primas
Fichas técnicas das principais matérias-primas e aditivos. Incluem informação de valores nutricionais, produção e comércio, estudos recentes,...
Dados de produção e comércio mundial das principais matérias-primas
Utilize esta ferramenta para diagnosticar problemas com o Índice de Conversão. Clique no diagrama de fluxo ou nos botões dentro do texto para navegar pelas diferentes partes da ferramenta.
Um resumo semanal das novidades da 3tres3.com.pt
Um boletim mensal de notícias sobre a nutrição dos suínos
Artigos sobre genética e reprodução nos suínos: selecção genética, genómica, inseminação artificial, uso de hormonas...
Compare dados produtivos, calcule os lugares de porcas, transição e engorda e visualize as tarefas no calendário consoante cada tipo de MEB.
Calcula a entrada de porcas ao iniciar uma exploração, para aumentar o seu efectivo ou para calcular a reposição de uma exploração em funcionamento
Um resumo semanal das novidades da 3tres3.com.pt
Maneio e gestão das suiniculturas e organização do trabalho em cada uma das fases de produção: maneio na gestação, engorda, maneio em bandas...
Compare dados produtivos, calcule os lugares de porcas, transição e engorda e visualize as tarefas no calendário consoante cada tipo de MEB.
Calcula o teu custo de produção, compara-o com o custo de referência e avalia como cada parâmetro afecta o custo de produção total e a margem
Um resumo semanal das novidades da 3tres3.com.pt
Desenho de instalações e equipamentos para suiniculturas: desenho de pavilhões, climatização, sistemas de alimentação, etc. Comparadores de equipamiento.
Que equipamento necessito para a minha exploração? Apresentamos-te diferentes equipamentos para que possas escolher.
Calculadora da pegada ambiental ao longo da cadeia de valor dos suínos
Um resumo semanal das novidades da 3tres3.com.pt
Aqui encontrarás os autores especializados em suíno que colaboram na 3tres3 com informação do seu curriculum
Giuseppe Sarli nasceu em Abriola, Itália, a 28 de Junho de 1964. Em 1989 licenciou-se em Medicina Veterinária na Universidade de Bolonha, Itália, discutindo a sua tese em encefalomiocardite viral em suínos. Desde 1991 que trabalha como patologista na Faculdade de Medicina Veterinária de Bolonha e, presentemente, é professor. Ensinou Patologia geral veterinária, Oncologia veterinária, Técnicas de diagnóstico Ictiopatologico e histopatologico de doenças piscícolas nas Faculdades de Medicina Veterinária de Teramo e Bolonha. Ensina Histopatologia veterinária e Anatomia patológica veterinária na Faculdade de Medicina Veterinária de Bolonha.
Uma das suas pesquisas actuais incide nas doenças PCV2 nos suínos. Neste tópico trabalha como patologista para suporte diagnóstico e pesquisa, sendo a mais recente dirigida para o papel da PCV2 na patologia reprodutiva suína em modelos experimentais (infecção por PCV2 em sémen exposto em porcas vacinadas e não vacinadas contra PCV2 com o objectivo de determinar fracasso reprodutivo e danos embriónicos/fetais).
Curriculum actualizado: 05-Dez-2013

A vacinação das marrãs contra a PCV2 antes da IA mostrou uma clara redução da carga viral bem como uma excreção viral muito menor, que era compatível com a protecção fetal.
Um resumo semanal das novidades da 3tres3.com.pt
faz login e inscreve-te na lista
Bem-vindo à 3tres3
Ligue-se, partilhe e relacione-se com a maior comunidade de profissionais do sector suinícola.
Já somos 206666 Utilizadores!
Regista-teJá é membro?



