
System nawadniania kroplowego dla zwiększenia pobierania wody przez prosięta odsadzone
Jak zwiększyć zużycie wody u prosiąt w okresie 2–3 dni po odsadzeniu, wykorzystując ich naturalną ciekawość.
Wiadomości, wydarzenia i raporty z najważniejszych zdarzeń w branży trzody chlewnej.
Kalendarz zawiera wszystkie wydarzenia dotyczące sektora produkcji świń. Informacje mogą być sortowane w celu ułatwienia wyszukiwania niezbędnych informacji
Cotygodniowy newsletter podsumowujący najnowsze informacje z 3trzy3.pl
Newsletter o trzodzie na Twoim mailu
Zdrowie świń: wiadomości i artykuły o PRRS, PCV2, bioasekuracji, itp., przewodnik po chorobach świń, atlas patologii, przypadki kliniczne…
Obrazowy i praktyczny przewodnik krok po kroku, jak przeprowadzić badanie sekcyjne świni.
Wszystkie informacje na temat afrykańskiego pomoru świń (ASF) na 3trzy3, a także linki zewnętrzne.
Opis najważniejszych chorób świń
Zdjęcia najważniejszych chorób świń
Narzędzie do diagnozowania chorób świń
Kalkulator do obliczania ilości leku do podawania w wodzie do picia.
Cotygodniowy newsletter podsumowujący najnowsze informacje z 3trzy3.pl
Ceny świń w poszczególnych krajach. Produkcja i handel wieprzowiną. Wiadomości dotyczące rynku świń i surowców.
Aktualne ceny świń. Tu możesz znaleźć ceny świń z ponad 20 krajów Europy, Ameryki i Azji.
Dane liczbowe i tendencje w zakresie liczebności trzody chlewnej, produkcji wieprzowiny, rynek wieprzowiny itp.
Globalne dane dotyczące produkcji i handlu dla najważniejszych surowców
Cotygodniowy newsletter podsumowujący najnowsze informacje z 3trzy3.pl
Artykuły dotyczące pasz i żywienia, opis surowców i dodatków do pasz dla trzody chlewnej. Ceny surowców.
Globalne dane dotyczące produkcji i handlu dla najważniejszych surowców
Użyj tego narzędzia do zdiagnozowania problemów z współczynnikiem konwersji paszy. Kliknij na schemat blokowy lub na przyciski w tekście, aby poruszać się po różnych częściach narzędzia.
Comiesięczny newsletter z najnowszymi postępami w żywieniu świń
Artykuły dotyczące genetyki i rozrodu: doskonalenie genetyczne, genomika, sztuczna inseminacja, stosowanie hormonów.
Narzędzie do obliczania współczynnika remontu stada podstawowego.
Cotygodniowy newsletter podsumowujący najnowsze informacje z 3trzy3.pl
Zarządzanie fermą świń, planowanie pracy w każdym z etapów produkcji: zarządzanie na sektorze loch ciężarnych, porodowym, prosiąt odsadzonych i tuczników.
Narzędzie do obliczania współczynnika remontu stada podstawowego.
Cotygodniowy newsletter podsumowujący najnowsze informacje z 3trzy3.pl
Pomieszczenia i sprzęt do hodowli świń: zaprojektowanie pomieszczeń, kontrola środowiska, systemy karmienia itp.
Cotygodniowy newsletter podsumowujący najnowsze informacje z 3trzy3.pl
Zawartość jest klasyfikowana przez tagi, użyj ich, aby znaleźć informacje, których szukasz.

Jak zwiększyć zużycie wody u prosiąt w okresie 2–3 dni po odsadzeniu, wykorzystując ich naturalną ciekawość.

Zmiany biologiczne w układach odpornościowym i jelitowym pojawiają się natychmiast po odsadzeniu, co ma wpływ na wzrost i zdrowie prosiąt.

Odsadzanie jest krytycznym momentem w życiu prosiąt. Okres ten jest niezwykle ważny, a popełnione błędy mogą prowadzić do występowania biegunki i różnicowania się prosiąt.

Jest to dobre rozwiązanie, jeśli kontrola porodów i miotów w pierwszych dniach życia jest dla nas najważniejsza.

Na małych fermach lepiej pogrupować zadania na konkretne dni, dzięki czemu w inne dni będzie mniej pracy. Pozwoli to na wygospodarowanie dni wolnych dla pracowników...

W ostatnich dekadach stopień technicyzacji i rozwoju systemów produkcyjnych na wszystkich poziomach był stały.

Na dużych fermach często odsadza się częściej niż raz w tygodniu. W ten sposób zadania przypadające na każdy dzień tygodnia mogą być bardziej jednolite; w każdy dzień jest mniej- więcej tyle samo pracy.

Oddzielanie prosiąt pochodzących od mamek od prosiąt starszych wspiera prawidłowe zarządzanie.

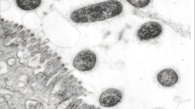
Biegunka poodsadzeniowa (PWD) występuje endemicznie na wielu fermach a częstość jej występowania zmienia się w czasie. Najczęściej jest obserwowana w pierwszym tygodniu po odsadzeniu, a jej objawy mogą być bardzo różne – od łagodnej lub ciężkiej biegunki do nagłej śmierci.

Znaczna część pracy na fermie może być podzielona na 3 główne zadania: odsadzanie, krycie i porody. Dzień wybrany na odsadzanie determinuje dwa pozostałe zadania; pierwsze, krycia, a następnie w konsekwencji i porody (2 "wielkie wydarzenia", od których zależy produkcyjność fermy).

Jak zostało wspomniane w pierwszej części poświęconej planowaniu odsadzeń, po zadecydowaniu jakie lochy bedziemy odsadzać, w dniu odsadzania musimy wziąć pod uwagę kilka czynników...

Decyzja od jakich loch nastąpi odsadzanie w dniu odsadzeń jest bardzo istotna i powinna być dobrze przemyślana.

Enric Marco podsumowuje istotne punkty kontroli biegunek poodsadzeniowych w naszych gospodarstwach.