Wstęp
Ferma jest komercyjną jednostką zlokalizowaną w Północnej Irlandii, typu zamkniętego do końca tuczu, licząca 350 loch.

Jednostka jest wolna od enzootycznego zapalenia płuc (Mycoplasma hyopneumoniae), pleuropneumonii świń (Actinobacillus pleuropneumoniae), grypy świń i PRRS (zespół rozrodczo-oddechowy świń).
Tabela 1. Przedstawia stosowany protokół szczepień.
Tabela 1. Program szczepień
| Szczepionka | Loszki | Lochy | Knury | Prosięta |
|---|---|---|---|---|
| Parwowirus + Różyca + Leptospiroza | Iniekcja 2 ml szczepionki w dniu selekcji i 2 tygodnie przed inseminacją | Iniekcja 2 ml szczepionki 2 tygodnie przed kryciem | Iniekcja 2 ml szczepionki dwukrotnie w ciągu roku | |
| Szczepionka autogeniczna (Streptococcus suis & Staphylococcus hyicus) | 2 ml szczepionki w 65 dni po kryciu i w 95 dniu po kryciu | 2 ml szczepionki w 95 dniu po pokryciu |
Loszki pochodzą z rodzimej hodowli. Knury są wykorzystywane do prowokacji rui. Loszki i lochy kryte są poprzez sztuczną inseminację, nasienie pochodzi z jednego źródła.
Najbliższa, sąsiadująca ferma świń znajduje się w odległości 6 km.
Historia
Właściciel fermy skontaktował się z lekarzem weterynarii zaniepokojony wzrastającą liczbą problemów oddechowych i śmiertelnością tuczników w ciągu poprzednich 3 dni.
Badanie
3.1. Badanie kliniczne
Podczas wizyty na fermie w listopadzie 2017 roku, na fermie znajdowało się wiele świń w wieku od 18 do 24 tygodni z klinicznymi objawami kaszlu (Ryc. 1 i Film 1 i 2) i sinicy dolnych oraz dystalnych części ciała. Koryta z mokrą paszą nie były opróżnione, co wskazywało na spadek apetytu. Kondycja ciała zwierząt była normalna.

Ryc. 1. Kaszląca świnia w kojcu szpitalnym. Pokarm w kojcu szpitalnym to pasza sucha podawana ad libitum.
Film. 1. Kaszląca świnia w kojcu szpitalnym.
Powtórna wizyta na fermie odbyła się 2 tygodnie później w celu pobrania próbek od stada zarodowego, warchlaków i tuczników.
Śmiertelność wśród świń od odsadzenia do końca tuczu przed pojawieniem się choroby wynosiła 3,5%. Wynikała ona głównie z konieczności eutanazji zwierząt z powodu przepukliny i/lub wypadnięcia prostnicy.
3.2. Badania laboratoryjne
Trzy padłe świnie poddano sekcji zwłok na fermie w listopadzie 2017 r. (Ryc. 2).

Ryc. 2. Tucznik z widoczną sinicą dolnych i dystalnych części ciała.
U wszystkich 3 świń poddanych sekcji widoczne były liczne wybroczyny w miąższu płuc. (Ryc. 3). Pobrano próbki i skierowano je do laboratorium do analizy.

Ryc. 3. Liczne wybroczyny w miąższu płuc.
Wyniki badań laboratoryjnych płuc zostały zebrane w Tabeli 2.
Tabela 2. Wyniki badania wycinków płuc pochodzących od 3 padłych świń.
| Badanie bakteriologiczne | Badanie molekularne | |
|---|---|---|
| Płuco 1 | Brak wzrostu. | Ujemne w RT-PCR dla Mycoplasma hyopneumoniae i PRRS. Dodatnie w RT-PCR dla grypy świń typu A (CT:18.1) Podtyp H1N1. |
| Płuco 2 | Brak wzrostu. | Ujemne w RT-PCR dla Mycoplasma hyopneumoniae i PRRS. Dodatnie w RT-PCR dla grypy świń typu A (CT:26.9) Podtyp H1N1. |
| Płuco 3 | Brak wzrostu. | Ujemne w RT-PCR dla Mycoplasma hyopneumoniae i PRRS. Dodatnie w RT-PCR dla grypy świń typu A (CT:31.5) Podtyp H1N1. |
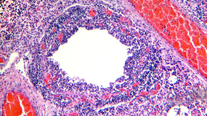
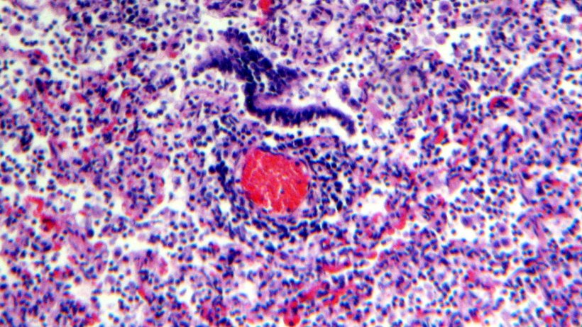
Badanie histologiczne tkanki płuc wykazało naciek limfocytarny na blaszkę właściwą i podśluzówkę oskrzeli. (Ryc. 4 i 5).

Ryc. 4. Oskrzelik - widoczne rozwarstwienie i martwica nabłonka oddechowego, wzdłuż którego widoczny jest naciek limfocytarny na blaszkę właściwą i podśluzówkę.

Ryc. 5. Okołonaczyniowy naciek limfocytarny.
Wyniki badań laboratoryjnych 14 próbek krwi pobranych od warchlaków i tuczników zebrano w Tabeli 3.
Tabela 3. Wyniki laboratoryjne 14 pobranych próbek krwi.
| PRRS (ELISA) | Grypa typ A (ELISA) | Actinobacillus pleuropneumoniae (ELISA) | PCV-2 (ELISA) | Mycoplasma hyopneumoniae (ELISA) | |
|---|---|---|---|---|---|
| 3 x 12 tyg. chore świnie | 3 (-) | 2 (+) 1 (-) |
3 (-) | 3 (-) | 3 (-) |
| 2 x ozdrowieńcy | 2 (-) | 1 (+) 1 (-) |
2 (-) | 2 (-) | 2 (-) |
| 2 x kaszlące prosięta od różnych loch | 2 (-) | 2 (+) | 2 (-) | 2 (-) | 2 (-) |
| 7 x lochy | 7 (-) | 7 (+) | 7 (-) | 7 (-) | 7 (-) |
Próbki pozytywne w kierunku grypy typu A przebadano pod kątem obecności przeciwciał przeciwko podtypom H1N1, H3N2 i H1N2 i pandemicznego podtypu panH1N1 i panH1N2. U chorych zwierząt wykazano bardzo wysokie miano przeciwciał ((≥ 320 do 2560) przeciwko wszystkim tym podtypom, co wskazuje na świeżą infekcję.
4. Diagnostyka różnicowa
W oparciu o badanie kliniczne i laboratoryjne w diagnostyce różnicowej pod uwagę wzięto:
- PRRS (Zespół rozrodczo-oddechowy świń).
- Wirusa Grypy Typ A (Grypa).
- Enzootyczne zapalenie płuc (Mycoplasma hyopneumoniae).
- Pleuropneumonię świń (Actinobacillus pleuropneumoniae).
W oparciu o przebieg choroby i odpowiadające mu wyniki badań klinicznych i laboratoryjnych postawiono rozpoznanie ostrej grypy typu A (wirus grypy typu A, influenza virus type A).
5. Program kontroli
Dla tej fermy stworzono protokół wyjątkowy, na który składało się:
- Masowe szczepienie całego stada zarodowego dwukrotnie w odstępach 3 tygodniowych.
- Szczepienie świń przy odsadzeniu 2 ml komercyjnej szczepionki przeciw grypie, gdy tylko zdiagnozowano infekcję wirusową.
- Podanie wszystkim świniom wraz z karmą 85 ppm tetratu tylwalozyny na tonę przez 20 dni w celu zapobiegnięcia wtórnym infekcjom układu oddechowego.
Po dwukrotnej immunizacji wszystkich świń ze stada zarodowego przeciwko grypie wdrożono następujące postępowanie:
- Dwukrotne szczepienie loszek przed kryciem z zachowaniem 3 tygodniowych odstępów pomiędzy szczepieniami.
- Stado hodowlane otrzymało jednorazową dawkę przypominającą 14 dni przed oproszeniem.
Niestety, w czasie gdy doszło wybuchu choroby, dostępna w kraju szczepionka przeciwko grypie nie zabezpieczała przed pandemicznym podtypem panH1N2. Szczepionka przeciwko pandemicznemu podtypowi została wprowadzona do stada hodowlanego we wrześniu 2018 roku, jako dodatkowe zabezpieczenie.
6. Odpowiedź na program kontroli
Od wybuchu choroby śmiertelność wzrosła z 3,5 % do 11,5 % w momencie szczytowym, czyli po 4 tygodniach. Następnie śmiertelność spadała. Po 10 tygodniach śmiertelność była na poziomie tej z przed wybuchu.
Liczba skutecznych inseminacji spadła z 94% do 86% w przeciągu dwóch miesięcy. Miało to odbicie w spadku urodzeń z 91% do 84% w tym samym okresie czasu. Nie zaobserwowano ronień.
7. Dyskusja
Grypa świń to ostra, zakaźna choroba układu oddechowego wywoływana przez typ A wirusa grypy. Choroba charakteryzuje się nagłym początkiem przebiegającym z kaszlem, dusznością, gorączką i wyczerpaniem organizmu. Następnie dochodzi do szybkiego zdrowienia.
W przebiegu choroby dość szybko pojawiają się zmiany w drogach oddechowych, a następnie szybko one zanikają. W niektórych przypadkach jednak, ciężkie wirusowe zapalenie płuc, może prowadzić do śmierci (Easterday et al., 1999). W tym przypadku zaobserwowano wszystkie powyższe objawy kliniczne.
Grypa świń jest wywoływana przez wirusa grypy A, z rodziny Orthomyxoviridae. Dostepna jest olbrzymia ilość informacji na temat wirusa grypy A z zakresu jego budowy antygenowej, genetycznej, strukturalnej i charakterystyki biologicznej (Murphy et al., 1990; Lamb et al., 1996). Dwie glikoproteiny powierzchniowe wirusa, hemaglutynina (H) i neuraminidaza (N), są najważniejszymi antygenami wywołującymi obronną odpowiedź układu immunologicznego gospodarza. Wykazują one bardzo dużą zmienność.
Badania prowadzone w Północnej Irlandii od 2011 do 2013 roku wykazały, że pandemiczny wirus H1N1 był głównym podtypem izolowanym od świń. Inne podtypy (H1N1, H3N2) występowały z mniejszą częstotliwością (Borobia et al., 2015).
W omawianym przypadku warunki pogodowe sprzyjały rozprzestrzenianiu się wirusa w okresie wystąpienia ogniska choroby. W przeciągu ostatnich 3 miesięcy było wilgotno, panowały zmienne temperatury i okresy silnego wiatru.
Możliwe jest przywleczenie zakażenia przez ludzi lub szpaki (Ryc. 6) lub zakażenie drogą aerogenną wynikającą z sąsiedztwa innych hodowli świń. W tym przypadku prawdopodobne były obie możliwości.

Ryc. 6. Szpaki w bezpośrednim kontakcie ze świniami jedzącymi pokarm pozostały w korytach.
Zachorowalność na grypę świń jest opisywana jako wysoka (blisko 100%), (Taylor, 1995; Easterday et al., 1999), tak jak w opisywanym przypadku. Taylor (1995) i Easterday et al., (1999) notowali smiertelność niższą niż 1 %, chyba, że występowały infekcje współtowarzyszące i/lub świnie były bardzo młode. Niestety w omawianym przypadku, jak opisano powyżej, śmiertelność była wyższa niż 1%.
W literaturze różni autorzy opisywali problemy z rozrodem, oproszeniami i w okresie neonatalnym wynikające z grypy świń (Taylor, 1995; Muirhead et al., 1997; Easterday et al., 1999; Jackson et al., 2007). W tym przypadku widoczne one były tylko w niskiej ilości skutecznych inseminacji i oproszeń.
Podawanie tetratu tylwalozyny w paszy zostało opracowane na podstawie raportów Dr. Davida Browna i Dr. Amandy Stuart z Wydziału Patologii na Uniwersytecie Cambridge. Działanie tego antybiotyku makrolidowego w przypadku PRRSV, w warunkach in vitro, zmniejsza liczbę komórek zainfekowanych, w porównaniu do innego antybiotyku z tej samej grupy - tylozyny. Tylwalozyna zmniejsza również liczbę zainfekowanych komórek w przypadku innych wirusów, włączając wirusy grypy ludzkiej i końskiej (Brown et al., 2006). Co więcej, tylwalozyna wykazuje lepszą akumulację wewnątrzkomórkową i dystrybucję w przebiegu leczenia chorób niż inne makrolidy (Stuart et al., 2007).









