Wstęp
Inaba i in. (1983) byli jednymi z pierwszych autorów, którzy zademonstrowali użyteczność ultrasonografii B-mode w kontroli ciąży loch. W kolejnych latach przeprowadzono wiele badań. W badaniach tych wielokrotnie wykazano wyższość ultrasonografii nad innymi metodami diagnostycznymi, takimi jak obserwacja nawrotów w rui czy badania endokrynologiczne.

Nowsze prace potwierdziły słuszność metody ultrasonograficznej również w wizualizacji struktur jajnikowych w okresie okołoowulacyjnym oraz w diagnostyce patologii jajników.
Podstawa USG, materiały i zastosowanie
Na rynku dostępne są różne typy sond, różniące się kształtem, częstotliwością i rodzajem zastosowania: w weterynarii stosuje się głównie sondy liniowe i sondy sektorowe.
Największą wszechstronność obserwacji dróg rozrodczych lochy daje częstotliwość 5 MHz; jednak w różnych pracach do diagnozy ciąży i badania jajnika używano innych częstotliwości (3,5 Mhz i 7,5 Mhz).
Klasyczna kontrola ciążowa vs kontrola wczesnej ciąży
Sonda o częstotliwości 5 MHz pozwala stwierdzić ciążę już od 20-21 dnia, natomiast przy pomocy ultrasonografu z sondą 7,5 MHz lub dobrego systemu USG z sondą elektroniczną ciążę można wykryć już w 18 dniu.
Wczesna diagnoza ciąży za pomocą sondy 7,5 MHz ma główną zaletę, polegającą na identyfikacji loch niebędących w ciąży i wraz z oceną stanu jajników pozwala na szybkie ponowne wprowadzenie do produkcji loch z powrotem rui, unikając akumulacji nieprodukcyjnych dni; pozwala również na indywidualną ocenę układu moczowo-płciowego w poszukiwaniu ewentualnych nieprawidłowości fizjopatologicznych, przyspieszających decyzje dotyczące leczenia lub ewentualnego uboju.
Badanie USG w celu oceny dojrzewania
Wykazano, że zastosowanie ultrasonografii w ocenie macicy i jajników jest ważnym narzędziem diagnozowania stanu dojrzewania loszek.
Charakterystyczną cechą loszek przed okresem dojrzewania jest obecność wyłącznie małych pęcherzyków (o średnicy 2-5 mm) przy braku ciałek żółtych. Wielkość macicy może być również przydatna w określaniu stanu dojrzewania płciowego układu rozrodczego: Martinat Botté i in. (2003) jako pierwsi ocenili wielkość macicy, definiując „obszar macicy” jako obszar obejmujący wszystkie widoczne części macicy w obrazie ultrasonograficznym.

Kauffold i in. (2004) wykorzystali również rozmiar macicy do oceny stanu dojrzewania, mierząc powierzchnię przekroju poprzecznego macicy w ich maksymalnej i minimalnej średnicy.
Zgodnie z tymi parametrami, loszki z macicą o polu przekroju ≤ 1 cm2 uważa się za przedpokwitaniowe, odwrotnie, loszki o polu przekroju ≥1,2 cm2 uważa się za dojrzewające.
Ocena ultrasonograficzna cyklu jajnikowego
Na początku rui i do 24 godzin przed owulacją pęcherzyki wykazują średnicę od 7 do 9 mm, chociaż istnieje silna zmienność osobnicza (Soede i wsp., 1998).
W pobliżu czasu owulacji pęcherzyki przedowulacyjne zmieniają swój kształt z kulistego na jajowaty / wielokątny. Proces owulacji może trwać kilka godzin, a pęcherzyki przedowulacyjne można zaobserwować w połączeniu z ciałkami krwotocznymi; te ostatnie są wyraźnie rozpoznawalne dzięki ich aspektowi echogenicznemu. Owulację uznaje się za zakończoną, jeśli kolejne badania ultrasonograficzne wykazują zniknięcie wszystkich pęcherzyków przedowulacyjnych lub znaczne zmniejszenie liczby wcześniej obserwowanych pęcherzyków przedowulacyjnych.

Niepłodność i przypadki patologiczne
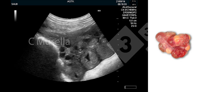
Rozpoznanie pojedynczych lub mnogich torbieli jajnika jest stosunkowo proste, nawet jeśli pełna identyfikacja typu torbieli na podstawie obrazu USG nie zawsze jest pewna.
Jeśli chodzi o struktury macicy, obecność płynu, nie będącą wynikiem ciąży, nasienia lub rui, należy uznać za patologiczną i wskazującą na wysiękowe zapalenie macicy. Obserwacja wysięku za pomocą ultradźwięków jest możliwa tylko wtedy, gdy stan zapalny jest ostry.
Przeciwnie, przewlekłe zapalenie błony śluzowej macicy, które jest najczęstszym rodzajem zapalenia u loch, nie może być jednoznacznie zdiagnozowane za pomocą ultradźwięków.

Wnioski
W ostatnich latach w fermach trzody chlewnej szeroko wdrożono zastosowanie USG; pomimo tego, obecnie główny cel i zastosowanie USG nadal ogranicza się do kontroli ciąży rozpoczynającej się od 21 dni po AI.
Z drugiej strony, dzięki wysokoprecyzyjnemu systemowi USG możliwe jest szczegółowe zbadanie stanu układu rozrodczego, badając w szczególności stan jajników i macicy oraz zapewnienie aktualnego wsparcia weterynarzowi „na farmie” i hodowcy w diagnozowaniu problemów rozrodczych oraz w poprawie użytkowości fermy.








