Afrykański pomór świń to ciężka choroba wirusowa świń w każdym wieku. W ostatnich latach wyniszczył przemysł trzody chlewnej w wielu różnych krajach. ASF w rzeczywistości rozprzestrzenia się raczej powoli i możliwe jest ograniczenie jego geograficznego rozprzestrzeniania się poprzez odpowiednie działania. Wczesna ostateczna diagnoza jest kluczowym elementem, aby uniknąć rozprzestrzeniania się tej choroby. Wstępną diagnostykę terenową afrykańskiego pomoru świń można przeprowadzić na podstawie objawów klinicznych i wyników sekcji zwłok.
Objawy kliniczne:

W początkowej fazie choroby często stwierdza się upadki zwierząt z zasinieniem nóg, uszu i dystalnych części ciała (np. uszy, ogon). Często występuje wysoka gorączka 40 - 42°C, wymioty, biegunka, która może być krwista lub czarna (zdjęcie 1, po prawej), apatia, poronienia (zdjęcie 1, lewe), krwista wydzielina z nosa (krwawienie z nosa) i narastająca liczba upadków.

Fot. 1. Ronienie i krwista biegunka u loch
Szczepy o niskiej zjadliwości (szczepionkowe) powodują łagodną, przewlekłą, nietypową postać choroby z niewielką liczbą upadków. Samice generalnie wykazują przewlekłą chorobę układu oddechowego i przewlekłą niepłodność. Dłuższy czas do wystąpienia widocznej choroby lub brak zaobserwowanych objawów klinicznych u świń z przewlekłym wirusem szczepionkowym jest często interpretowany przez gospodarstwo jako długi okres inkubacji.
Zmiany sekcyjne
- Nagłośnia i tchawica mogą być zaczerwienione i na ogół występuje śródmiąższowe zapalenie płuc z obrzękiem międzypłatowym. Czasami występują zmiany włóknikowo-martwicze w opłucnej płucnej przypominające APP.
- Może występować włóknikowe zapalenie mięśnia sercowego i zapalenie osierdzia, a w klatce piersiowej i jamie brzusznej może pojawić się nadmierna ilość krwistego lub surowiczo-krwistego płynu.
- Krezkowe węzły chłonne, a zwłaszcza węzły żołądkowo-wątrobowe, mogą być powiększone, obrzęknięte, a na przeciętej powierzchni mogą wydawać się martwiczo-krwotoczne (fot. 2).
- Śledziona może być powiększona z licznymi zawałami lub może być zasadniczo normalna.
- Wątroba często zawiera wybroczyny.
- W nerkach można stwierdzić liczne zawały, plamki i wybroczyny (fot. 3). Może wystąpić dobrze widoczny obrzęk okołonerkowy. Dno żołądka jest często mocno zaczerwienione i uszkodzone, a okrężnica może być wypełniona krwią. Nie jest niczym niezwykłym znalezienie miejscowych wybroczyn na narządach jamy brzusznej.
- W mózgu może być widoczne włóknikowe zapalenie opon mózgowych.

Fot. 2. Wybroczyny i martwica w węźle żołądkowo-wątrobowym

Fot. 3. Obrzęk i zmiany wybroczynowe w nerkach
Nasilenie zmian chorobowych u świń jest zmienne i ogólnie sugeruje się, aby wykonać sekcję u wielu świń.
Sekcja powinna być przeprowadzana z zachowaniem profesjonalnych zasad bezpieczeństwa biologicznego, ale nie wprowadza ona wyjątkowych zagrożeń chorobowych do zakażonego gospodarstwa i dostarcza cennych informacji, które nie są osiągalne przy mniej agresywnych metodach diagnostycznych.
Techniki laboratoryjne
PCR: Rozpoznanie ASF jest zwykle weryfikowane przez pozytywny wynik testu na obecność kwasów nukleinowych i wykluczenie innych częstych przyczyn podobnych zmian. Najczęstszym z nich jest PCR na obecność genu P72. Płuco (preferowana próbka w naszym laboratorium), nerka, śledziona, węzeł chłonny, surowica i krew są doskonałymi próbkami do badania PCR. Wymazy z jamy ustnej i płyny ustne są niezwykle popularne, ale ilość wirusa jest kilka logów mniejsza niż to, co zwykle znajduje się we krwi i tkankach, więc wyniki fałszywie ujemne są dość powszechne. Do testów stosuje się fluorescencyjny qPCR i konwencjonalny PCR. Konwencjonalny PCR oferuje wygodną drogę do sekwencjonowania genów.
W przypadku celowego zastosowania szczepionki z delecją genową lub przypadkowego wprowadzenia wariantu szczepu wirusa z delecją genową, badanie kwasów nukleinowych może zakończyć się niepowodzeniem u niektórych zwierząt, ponieważ ilość zreplikowanego wirusa jest znacznie niższa w porównaniu z wirusem terenowym typu dzikiego. Jednakże, jeśli dostępne są dobre próbki tkanki lub krwi, można wykonać test kwasu nukleinowego na obecność usuniętych genów wirusa szczepionkowego. Po uzyskaniu pozytywnego wyniku testu na obecność genu P72, można przeprowadzić test PCR na obecność DNA z MGF 360-505 R i CD2v w celu ustalenia, czy problematyczny wirus jest wirusem terenowym, czy też wirusem szczepionkowym pozbawionym pewnych genów.
Izotermiczna amplifikacja za pośrednictwem pętli (LAMP) oferuje szybką, tanią, elastyczną i niezwykle czułą alternatywę dla kwasu nukleinowego, która nie wymaga wiele specjalistycznego sprzętu i wydaje się być preferowana do testów masowych, takich jak monitorowanie/przesiewowe w ubojni.
Serologia może być wykorzystana do ustalenia, czy zwierzęta zostały wystawione na kontakt z wirusem ASF, gdy czas od zakażenia do badania był na tyle długi, że minął okres wiremii i obecności wirusa w tkankach lub jeśli nie są dostępne dobre próbki z sekcji zwłok.
Dostępnych jest wiele zestawów ELISA do poszukiwania obecności przeciwciał przeciwko P72, P30 i innym antygenom ASF. Takie zestawy testowe są często używane przy uboju grup loch, aby stwierdzić, czy zostały celowo zaszczepione lub były przypadkowo wystawione na działanie nielegalnego wirusa szczepionkowego.
Istnieje szybki test ELISA z wychwytywaniem antygenu, ale ma on bardzo niską czułość, a jego użycie jest na ogół ograniczone do tych przypadków, w których pożądany jest szybki wynik fałszywie ujemny.

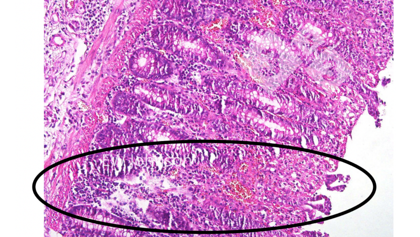
W badaniu histopatologicznym stwierdza się uogólnione zapalenie naczyń z zawałem, krwotokiem i zakrzepicą wielu narządów, zwłaszcza płuc, śledziony, węzłów chłonnych, nerek, mózgu i jelit. Dochodzi do masowego zniszczenia węzłów chłonnych i śledziony oraz wakuolizacji makrofagów pęcherzykowych. Często występuje martwica i owrzodzenie nabłonka okrężnicy (fot. 4).

Fot. 4. Zakrzepica naczyń, zawał, owrzodzenie błony śluzowej okrężnicy
Zastosowanie histopatologii do weryfikacji typowych przewlekłych zmian po szczepionce delecyjnej może być bardzo przydatne. Świnie, które otrzymały te szczepionki przeciwko ASF, zwykle mają przewlekły proces gojenia i zmiany naczyniowe o charakterze włóknienia, zakrzepy i zawały w jelitach, wątrobie, tkankach limfatycznych, sercu i nerkach. Węzły chłonne mogą mieć obszary krwotoczne, martwicy i uszkodzeń limfoidalnych oraz strefy włóknienia i gojenia. Szczepione zwierzęta hodowlane mogą mieć rozległe strefy martwicy i zwłóknienia płuc, które często są mylone z przewlekłym APP. Wirus szczepionkowy może nie zabić świni, ale świnia często nie jest w stanie pozbyć się wirusa szczepionkowego.
Należy pamiętać, że PCR to świetne narzędzie, ale nie jest niezawodne i, w odniesieniu do rzeczywistej sytuacji w gospodarstwie, nie jest w 100% dokładne. To nie znaczy, że PCR jest zawodny. Au contraire... ale nadal wyniki PCR są wynikami testów diagnostycznych, a nie diagnozą. Diagnosta jest badaczem i powinien wykorzystać wszystkie dostępne mu narzędzia. Gdy podejrzewa się ASF, jak zawsze wskazana jest szczególna troska o bezpieczeństwo biologiczne. Istnieje jednak wiele chorób podobnych do ASF i oprócz negatywnego testu na ASF wymagana jest diagnoza rzeczywistej przyczyny problemu, co może wymagać większej interwencji obserwacyjnej niż wysunięcie węzła pachwinowego lub wysunięcie śledziony na zewnątrz przez nacięcie wielkości dziurki od klucza.






















