A foto da semana

Semana de 28-Jul-2022
Que lesão se observa nas vias aéreas e pulmões deste porco de acabamento?

Semana de 21-Jul-2022
Que lesão é esta encontrada ao seccionar a cavidade nasal de um porco com 10 semanas de idade?

Semana de 14-Jul-2022
Qual é a causa do entumescimento deste fígado e baço visto num porco reprodutor adulto?

Semana de 06-Jul-2022
Qual é a etiologia das lesões nos gânglios linfáticos deste porco de uma exploração caseira?

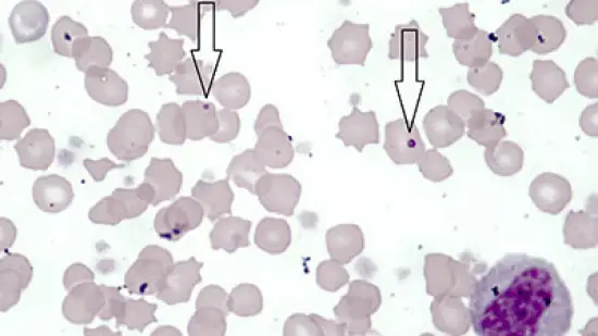
Semana de 30-Jun-2022
Que são estes pequenos organismos de 1µm de diâmetro (setas) dentro dos glóbulos vermelhos nesta nulípara pálida e anémica?

Semana de 23-Jun-2022
Que doença se associa à posição da cabeça deste porco?

Semana de 15-Jun-2022
Qual é a etiologia desta lesão facial?

Semana de 09-Jun-2022
Que lesão tem esta porca que também está coxa?

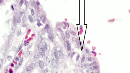
Semana de 01-Jun-2022
O que são os organismos (indicados pela seta) que há dentro da mucosa do intestino delgado deste leitão com diarreia?

Semana de 25-Mai-2022
Que terá provocado esta lesão ulcerada na pele do pescoço?

Semana de 18-Mai-2022
Que lesão apresenta a unha desta porca que está coxa?

Semana de 12-Mai-2022
Qual é a causa destas lesões cutâneas no focinho deste leitão?

Semana de 04-Mai-2022
Qual é a causa desta lesão num porco com 12 semanas de idade e que acabou de morrer?

Semana de 28-Abr-2022
Que lesão é esta ocorrida numa porca reprodutora acabada de morrer?

Semana de 21-Abr-2022
Qual é a causa de morte deste leitão recém-nascido?

Semana de 14-Abr-2022
Qual é a razão mais provável de morte numa ninhada inteira de letões recém-nascidos?

Semana de 06-Abr-2022
Qual é a causa desta lesão num porco criado ao ar livre que morreu com o pescoço e a garganta inflamados?

Semana de 17-Mar-2022
A lesão observada nesta foto é uma...

Semana de 10-Mar-2022
Qual a lesão observada nesta amígdala?

Semana de 03-Mar-2022
A lesão que se observa neste coração corresponde a...

Semana de 23-Fev-2022
Esta colite fibrinosa e ulcerativa NÃO está associada a...

Semana de 16-Fev-2022
Os pontos encarnados que se observam no centro dos lóbulos hepáticos sugerem...

Semana de 10-Fev-2022
Esta porca abortou há uns dias e tem lesões compatíveis com

Semana de 02-Fev-2022
O que se vê neste coração?

Semana de 27-Jan-2022
Qual é a causa desta lesão?

Semana de 20-Jan-2022
Qual das seguintes infecções virales está associada a esta lesão?

Semana de 13-Jan-2022
Qual é a causa desta lesão?