Tanto o Parvovírus suíno (PPV) como o Circovírus suíno (PCV2) estão amplamente disseminados na população mundial de suínos e ambos partilham um forte tropismo celular por tecidos mitoticamente activos como os nódulos linfáticos ou o músculo cardíaco.
Foi estudado que a co-infeção de PCV2 e PPV em nulíparas e multíparas gestantes conduz a um aumento de leitões mumificados e nados-mortos, bem como de recém-nascidos viáveis seropositivos para ambos os vírus. Isto indicaria que as reprodutoras carecem de anticorpos frente às infeções por PCV2 e PPV.

Atualmente as futuras reprodutoras e porcas adultas são rotineiramente vacinadas para as
proteger frente às perdas reprodutivas associadas ao PPV, e cada vez mais a vacinação frente ao PCV2 é também incluída nas reprodutoras a fim de alcançar uma homogeneidade do estado imunitário da exploração e uma imunidade passiva mais sólida nos leitões, o que proporcionaria uma maior proteção frente às falhas reprodutivas derivadas da infeção por PPV e da sua maior virulência quando acompanhada por uma infeção por PCV2.

E que ocorre nas engordas com PPV?
Nos porcos em crescimento, embora a infeção pelo PCV2 e as suas consequências clínicas estejam bem estudadas e definidas, a infeção pelo PPV não está geralmente associada a qualquer quadro sintomatológico e as explorações de engorda raramente são monitorizadas e muito menos são aplicadas estratégias de controlo frente ao PPV nesta fase.
O PPV é um vírus que se replica normalmente no intestino dos porcos sem causar sintomas. No entanto, quando o PPV e o PCV2 co-infectam os porcos, surgem sinais clínicos óbvios. Estas co-infecções de ambos os vírus foram cientificamente referidas tanto em suínos domésticos como em javalis.
O primeiro estudo experimental que demonstrou o efeito potenciador do PPV sobre o PCV2 foi realizado em 1999. Dada a dificuldade de reproduzir um quadro clínico evidente quando os porcos eram infetados com o PCV2, foi mesmo levantada a possibilidade de o PCV2 ser
efectivamente a causa etiológica da Síndrome Multissitémica de Emagrecimento Pós-Desmame (PMWS), no entanto, os ensaios em que os animais foram co-infectados com o PPV mostraram uma sintomatologia mais evidente e grave do PMWS. Os porcos inoculados experimentalmente de forma mista com PCV2 e PPV desenvolvem lesões e apresentam sintomas mais graves do que os suínos infectados apenas com PCV2, com resultados patológicos muito semelhantes aos dos casos de campo do PMWS. Os investigadores reproduziram a maioria das lesões típicas da circovirose suína em porcos gnotobióticos inoculados com material infecioso procedente de porcos com doença adquirida de forma natural. Nestes porcos inoculados experimentalmente detectaram-se tanto PCV2 como PPV, bem como anticorpos específicos frente a ambos.
Antes do aparecimento da vacina contra o PCV2, vários estudos demonstraram a co-infecção por PPV e PCV2 numa percentagem de porcos com circovirose naturalmente adquirida, que variava entre 17,4% num estudo canadiano e 25,6% (33/133) dos casos clínicos de circovirose em que o ADN de PPV foi detectado por hibridação in situ num realizado na Coreia.
O caso particular do PPV e a Epidermite Exsudativa
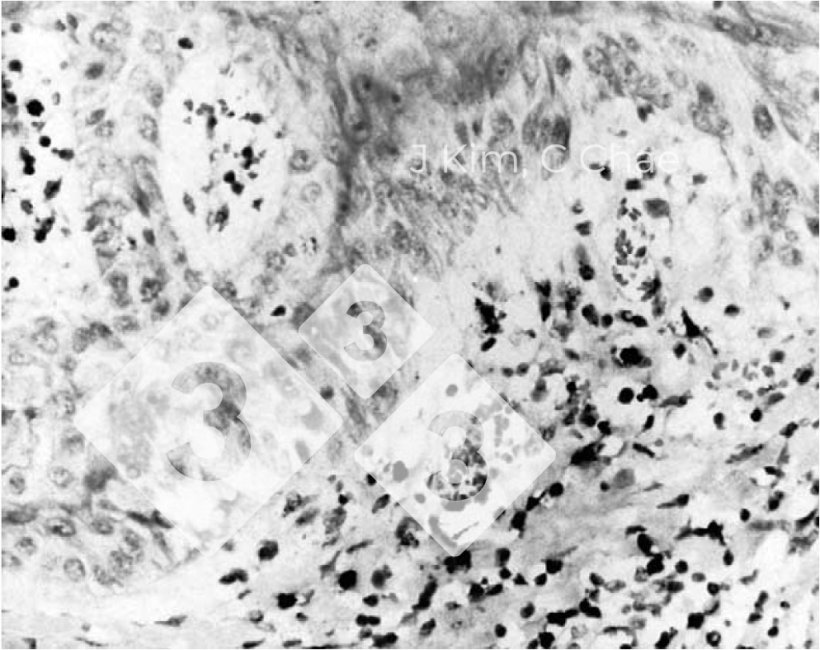
Em 2004, Kim e Chae investigaram exaustivamente 142 secções de pele obtidas de suínos a quem foi diagnosticada epidermite exsudativa. Embora o principal agente causador seja o
Staphylococcus hyicus, a presença do PCV2 foi demonstrada em 8,5% das amostras, a presença do PPV em 11,3% ou a infecção simultânea do PCV2 e do PPV em 42,3% dos tecidos.
Encontrou-se uma marcada positividade conjunta tanto para o PCV2 como para o PPV em todas as áreas inflamatórias na junção dermoepidérmica, na derme superficial e ocasionalmente nos macrófagos dos tecidos linfóides. Isto enfatiza ainda mais a elevada prevalência de infecção simultânea pelo PCV2 e pelo PPV em porcos em crescimento e, neste caso específico, em porcos com epidermite exsudativa.

Estes dados evidenciam que o PPV seja, muito provavelmente, um co-factor significativo nas doenças associadas a Circovirus suíno em condições de campo.

Apesar de se conhecerem as consequências das co-infecções entre os diferentes vírus com o PCV2, principalmente o PRRS e PPV, e que tudo indique que são co-factores importantes na patogénese das doenças associadas ao Circovírus suíno, a maioria dos estudos foi realizada em contextos anteriores ao surgimento das primeiras vacinas contra o PCV2.
Como é que a massificação da vacinação contra o PCV2 alterou o papel das co-infecções?
O controlo da circovirose suína assenta em estratégias de maneio e sobretudo na vacinação massiva e rotineira na maioria das explorações. Em condições de campo, todas as vacinas comerciais contra o PCV2 demonstraram uma elevada eficácia tanto em termos de redução das taxas de mortalidade, como na melhoria dos parâmetros zootécnicos. Estes efeitos benéficos parecem estar claramente relacionados com uma redução da carga vírica e das lesões linfóides específicas induzidas pelo vírus, mas devemos recordar que a vacinação não impede a infecção.

Se em geral a vacinação não impede a infeção, o risco de co-infecções pode estar
substancialmente sub-diagnosticado e ser mais importante do que se poderia pensar, mesmo em animais vacinados contra o PCV2.
De facto, e para simular o que normalmente acontece em condições de campo, foram
desenvolvidos diferentes estudos para avaliar a eficácia das vacinas contra o PCV2, desafiando os animais após a vacinação, tanto com o Circovírus, como com o vírus da PRRS e o Parvovírus Suíno, o que pode nos dar uma indicação da importância desta coinfeção no período de engorda dos suínos.









