Pasożyty jelitowe - Atlas patologii świń

Gdzie: układ pokarmowy, jelita
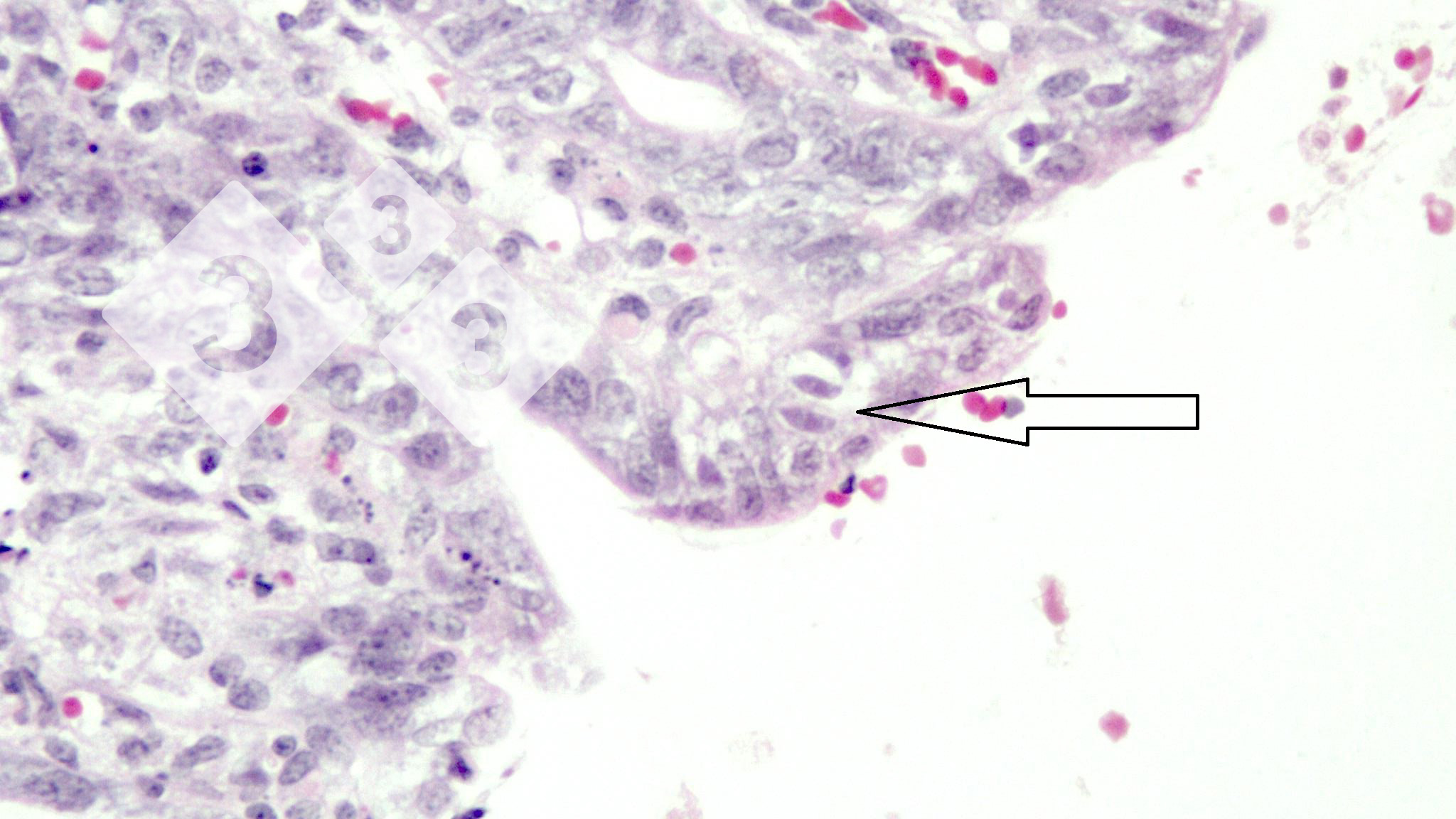
Prawdopodobne przyczyny: Kokcydioza
Te organizmy to Isospora suis, często powodujących kokcydiozę świń. Najczęściej chorują prosięta w wieku 1-2 tygodni, co objawia się ich słabą kondycją. Isospora suis namnaża się w komórkach nowo narodzonych prosiąt przez kilka dni, powodując uszkodzenie błony śluzowej jelit. Choroba zazwyczaj przebiega ciężej w ciepłe dni, ponieważ oocysty przeżywają wtedy dłużej w kale. Odchody chorych prosiąt są miękkie, o konsystencji kremowej lub pastowatej, w kolorze od szarego do żółtego, przypominające pastę do zębów. Na chorowanie narażone są prosięta zarówno od loszek, jak i od starszych loch. W obrazie sekcyjnym można zauważyć, że treść jelit jest pastowata do wodnistej, a wewnętrzna część śluzówki środkowej części jelita cienkiego jest kredowobiała. W badaniu histopatologicznym w próbkach jelita można znaleźć namnożone kokcydia, w kształcie banana, po dwa obok siebie.
Cotygodniowy newsletter podsumowujący najnowsze informacje z 3trzy3.pl
Zaloguj się i zapisz do subskrypcji












































































































































































































































