Learn about the primary and secondary agents that affect respiratory health in pigs.


Learn about each of these agents and the various microscopic and macroscopic lesions they cause in the following article.


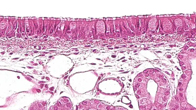
Learn more about the pig respiratory system and its defense mechanisms in the following article.



New insights into tylvalosin in the management of respiratory disease in pregnant sows and piglets
A space where the sector had the opportunity to strengthen alliances and share knowledge on animal health, sustainability, and innovation.


An update on the impact of Mycoplasma hyopneumoniae eradication

An update on macrolide antibiotics in pig production
"Connect with ECO Animal Health on the pig333 social network and become a part of our community!"
Contact :
Contactez-nous en utilisant le formulaire suivant.

