Un élevage commercial de grande taille (>2000 truies) dans l'est de la Chine rapporte un trouble inhabituel d'opacité oculaire et de cécité chez plusieurs portées de porcelets de lait. Les truies mangent et tètent normalement. Le nombre de porcelets mort-nés et faibles est légèrement supérieur à la normale et la mortalité avant sevrage est élevée. La cécité, l'opacité cornéenne et l'inflammation de la zone oculaire sont observées chez quelques porcs issus de plusieurs portées (photo 1).

Les porcs atteints sont déprimés, léthargiques et incapables de téter. Le taux d'avortement serait plutôt élevé, mais aucune "tempête" d'avortement n'est observée. Le nombre de porcs momifiés est dans les normes. Aucun autre signe clinique n'est signalé. Un examen rapide des données de reproduction semble exclure une cause génétique possible, car les lignées génétiques non apparentées de l'exploitation semblent être affectées de la même manière.
Le diagnostic différentiel comprend la maladie de l'œil bleu (orthorubulavirus porcin) et l'infection bactérienne de l'œil. La maladie de l'œil bleu est causée par un paramyxovirus et est endémique dans certaines parties du Mexique. Il provoque des symptômes du système nerveux central, une pneumonie et des problèmes de reproduction chez les porcs reproducteurs, notamment une orchite et des lésions cornéennes chez les verrats, mais cet agent n'a pas été détecté en Chine ou ailleurs en dehors du Mexique. Le diagnostic préliminaire de la maladie de l'œil bleu serait établi par l'observation de signes cliniques inhabituels et confirmé par PCR et isolement du virus.
Une carence en vitamine A pourrait provoquer de graves lésions oculaires, mais elle est assez peu probable dans ces grand élevage commercial alimenté avec des régimes modernes.
Diagnostic
L'un des porcs atteints est sacrifié selon les normes bien-être et autopsié par le personnel de l'élevage. Des échantillons de tissus frais, fixés au formol (foie, ganglions lymphatiques, cerveau) et les yeux frais du porcelet de la photo(image 1) sont envoyés au laboratoire.
En dehors de la lésion oculaire, aucune lésion macroscopique n'est observée par le personnel de l'élevage. Le liquide intra-orbitaire aspiré des yeux semble clair et normal. Le frottis de liquide oculaire coloré au Giemsa révèle quelques cellules mononucléaires et quelques bactéries en forme de bâtonnets (bacilles). Quelques Escherichia coli sans particularité sont isolés du liquide oculaire. La possibilité d'une cause bactérienne est écartée. Les échantillons de ganglions lymphatiques, de cerveau et de foie fixés au formol sont traités par une méthode rapide d'inclusion en paraffine pour obtenir des sections de tissus qui sont colorées à l'hématoxyline et à l'éosine (H&E).

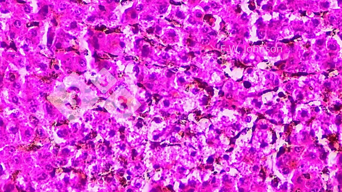
L'examen microscopique du cerveau révèle une méningoencéphalite avec des manchons périvasculaires et une gliose (image 2) et une infiltration des méninges par des cellules inflammatoires mixtes mononucléaires et polymorphonucléaires (image 3).
Une nécrose focale dans le foie et des corps d'inclusion intranucléaires amphophiles sont observés dans le tissu entourant les zones de nécrose (image 4). Un diagnostic présumé de la maladie d'Aujeszky (ADV) est posé. 
La PCR de l'humeur vitrée de l'œil amplifie l'ADN du gène US8 ("single short sequence" 8) du Suid alphaherpesvirus 1 (virus d'Aujeszky) codant pour la glioprotéine E (gE), ce qui confirme la présence du virus terrain de la. Le séquençage du fragment amplifié de US8 révèle que le virus détecté s'apparente à des souches de variants émergents récents de MA de type 2 courants en Chine (image 5).
L'exploitation était connue pour être séropositive pour les anticorps ADVgE. Les truies précédemment infectées seront séropositives à long terme pour l'ADV gE et transmettront des anticorps anti-gE à leurs porcelets, les rendant séropositifs pour l'ADV (MA) jusqu'à l'âge de 15 semaines. Par conséquent, lorsque les truies sont majoritairement séropositives, la recherche d'anticorps chez les jeunes porcelets n'est pas utile pour le diagnostic de la maladie. Des faux positifs ADV peuvent être diagnostiqués lorsque la persistance des anticorps gE maternels n'est pas comprise.
Résultat
L'élevage a indiqué que, lorsque des cochettes positives MA ont pénétré dans l'élevage de reproduction, la menace de la peste porcine africaine a perturbé la vaccination de routine contre la pseudo-rage (maladive d'Aujeszky). L'échec du programme de vaccination contre la MA a été résolu et l'exploitation n'a pas signalé d'autres cas similaires.
![<p>Image 5. Arbre phylogénétique PhyML - PRV gE montrant les souches de type 1 (similaires à kaplan/becker), les souches de type 2 "classiques" (similaires à Fa/SC/Ea) et les souches de type 2 à virulence plus élevée (similaires à TJ/hb1201). Les cas récents de MA, ce cas [20-1048] et le PRV de l'encéphalite humaine hSD1-2019 sont regroupés avec TJ/hb1201.</p>](https://www.3trois3.com/3tres3_common/art/3trois3/15774/arbre-phylogenetique-phyml-prv-ge_247219.png)
Discussion
La maladie d'Aujeszky (MA), également connue sous le nom de "pseudo-rage (PRV)", s'est présentée comme une maladie neurologique mortelle chez les ruminants en 1813 et a souvent été confondue avec la rage chez les bovins et les chiens. En raison des démangeaisons intenses et incontrôlables provoquées par les lésions nerveuses du circuit du prurit, cette affection était connue sous le nom de " démangeaison folle " mais était parfois aussi appelée " paralysie bulbaire infectieuse ". Dans les années 1930, R. E. Shope a signalé que la pseudo-rage en Europe et la maladie de la vache folle aux États-Unis étaient la même maladie et qu'elle était répandue et endémique chez les porcs dans la plupart des pays producteurs de porcs.
Les porcs sont l'hôte naturel du virus d'Aujeszky (ADV). L'infection par l'ADV peut être bénigne et passer presque inaperçue ou produire des épidémies explosives avec une mortalité élevée. Les différences dans la virulence observée de l'ADV sont le résultat de la variation de la souche du virus, de facteurs animaux et de facteurs aléatoires.
Les signes de l'ADV chez les porcs reproducteurs se manifestent par des maladies respiratoires et un syndrome reproducteur viral avec avortements, mort embryonnaire, problèmes de mise bas, momifications, porcelets faibles à la naissance et infertilité.
Infection oculaire par MA non signalée auparavant chez les porcs
Les porcelets âgés de moins de 6 semaines peuvent présenter des signes neurologiques, des tremblements, de l'ataxie, des convulsions, de la diarrhée, une détresse respiratoire et une mortalité élevée. Les porcelets infectés pendant la lactation présentent souvent des taches blanches de nécrose sur les amygdales, le foie et parfois la rate. Les porcs âgés présentent généralement des signes respiratoires : toux, dyspnée et un syndrome respiratoire porcin généralisé lorsqu'ils sont compliqués par des problèmes coexistants tels qu'une infection par mycoplasme, Actinobacillus pleuropneumoniae (App), streptocoques, peste porcine classique (PPC), ulcères gastriques et déficiences de ventilation. Les signes du système nerveux central (SNC) apparaissent occasionnellement chez les porcs d'engraissement atteints de la MA, mais rarement chez les animaux en âge de procréer. Des hémorragies dans les reins peuvent être observées. Le circovirus porcin de type 2 (PCV2), la PPC, la PPA et le SDRP doivent être inclus dans le diagnostic différentiel ou peuvent être des co-infections.
L'ADV se propage verticalement par l'intermédiaire de truies infectées de manière persistante, de fomites, de camions et d'installations sales et d'animaux reproducteurs infectés. Les porcs d'engraissement infectés propagent facilement l'ADV par voie respiratoire dans un espace aérien. La transmission d'aérosols sur des distances de plusieurs kilomètres peut se produire dans l'air froid et humide.
La maladie d'Aujeszky peut être observée chez d'autres animaux que les porcs, notamment les bovins, les ovins, les visons, les chiens et les chats. Les poussins nouvellement éclos sont également sensibles. Des chiens résistants ont été détectés dans des élevages de porcs infectés par l'ADV, mais généralement ces animaux sont sensibles et meurent après l'apparition de signes dans le système nerveux central.
La maladie d'Aujeszky doit-elle être considérée comme une zoonose ?
Les humains sont relativement résistants. L'infection chez l'homme est extrêmement rare, bien que le virus soit capable de se répliquer dans des cellules humaines en culture. L'infection chez l'homme a été signalée avec des signes cliniques légers lors d'une exposition à des chats et des chiens, avec récupération du virus et séroconversion. Récemment, plusieurs cas humains graves d'encéphalite et d'endophtalmie ont été documentés en Chine parmi les travailleurs et vétérinaires du secteur porcin et les opérateurs d'abattoirs. Habituellement, des antécédents de lésion ou de traumatisme sont associés à une infection humaine aussi grave. Le virus détecté dans les cas humains récents de MA est étroitement lié à l'ADV détecté dans ce cas (image 5).
Existe-t-il des vaccins efficaces et de qualité ?
La vaccination est efficace pour réduire la gravité et la propagation de l'ADV. L'ADV peut être éradiqué avec les technologies actuelles, mais il est endémique dans la plupart des grandes provinces chinoises productrices de porcs, avec une prévalence par élevage proche de 60 % dans les zones à forte densité porcine. Des vaccins vivants tués et modifiés sont disponibles en Chine pour une utilisation à l'élevage et la plupart vaccinent contre la maladie d'Aujeszky. En général, les vaccins ADV utilisés dans le monde ont une délétion sur le gène gE qui les rend avirulents dans le cas des vaccins vivants modifiés et leur confère la capacité DIVA (différenciation des animaux infectés et vaccinés). Les premiers vaccins dépourvus de gE ont été le vaccin vivant avirulent à petite plaque (K) de Bartha (1961) et le vaccin de Bucarest (Buk), connu sous le nom de "Norden". Des vaccins ADV avec des délétions partielles ou complètes de gE sont utilisés. Utilisé en conjonction avec une stratégie DIVA et l'assainissement/isolement avec un système de production "tout plein/tout vide", le vaccin est un outil utile pour l'élimination et l'éradication de la maladie d'Aujeszky. Il n'induit pas d'immunité stérilisante et ne crée pas de "bulle magique" autour du porc pour le protéger des infections dans des conditions de terrain fluctuantes. Cependant, les truies qui sont vaccinées de manière répétée contre l'ADV produisent une immunité humorale passive qui protège leurs porcs de l'infection jusqu'à la période post-sevrage. Les truies vaccinées de manière répétée sont peu susceptibles de transmettre le virus ADV à leurs porcelets ou à des cochettes non exposées. Les vaccins tués sont plus efficaces que les vaccins vivants modifiés en tant que dose de rappel, mais l'expérience a montré que le vaccin vivant modifié peut être "suffisamment bon" en tant que rappel dans les situations où le vaccin tué n'est pas disponible. Lorsque des cochettes issues de truies vaccinées sont vaccinées, sont élevées en lots "tout plein/tout videt" et entrent dans un élevage de truies vaccinées, elles peuvent rester négatives et remplacer progressivement les truies infectées. Le virus d'Aujeszky a été éliminé d'élevages, de régions et de pays entiers grâce à cette méthode.
Maladie d'Aujeszky à virulence accrue
Depuis environ 2011, des variantes de pseudo-rage à "virulence accrue" ont été signalées en Chine. Les souches "occidentales" d'Aujeszky telles que Kaplan, Becker et Bartha appartiennent au groupe de type 1 (photo 5). Il convient de noter que la Bartha K-61 présente une délétion complète de gE. Le virus Aujeszky (ADV) chinois/asiatique "classique" {Ea, Fa, SC} est de type 2. Les souches variantes de type 2 {TJ, hb1201, jsy7-2021,...} sont impliquées dans de récents foyers de maladie d'Aujeszky (MA) à "virulence accrue" (avec une pathologie plus sévère que le type 2 classique). Le virus d'Aujeszky provenant d'une encéphalite/ophtalmie humaine, tel que celui présenté dans la banque de données GenBank : MT469550 (hSD1-2019), est regroupé avec le virus 20-1048 détecté dans ce cas exceptionnel, ainsi qu'avec des souches de virulence accrue (image 5). Une partie de la virulence accrue peut être due à des modifications de la glycoprotéine gE, de sorte que les vaccins avec la délétion Bartha ne stimulent pas l'immunité, ou à des modifications d'autres loci.
L'éradication de la maladie d'Aujeszky (MA) est possible et réalisable, elle a des implications importantes pour la durabilité, la sécurité alimentaire et la santé humaine, et elle éliminerait une source majeure de pertes dans les élevages porcins.