Les virus sont d'importants agents responsables de maladies qui affectent le système respiratoire du porc. Il s'agit notamment du virus du syndrome dysgénésique et respiratoire porcin (SDRPv), du circovirus porcin de type 2 (PCV2, de l'anglais Porcine Circovirus type 2), des virus de la grippe porcine (SIV, de l'anglais Swine Influenza Virus) et du coronavirus respiratoire porcin (PRCV, de l'anglais Porcine Respiratory Coronavirus). Les trois premiers sont considérés comme des agents primaires, capables de causer des dommages par eux-mêmes, tandis que le quatrième est un agent secondaire, agissant en cas d'infection antérieure par un autre agent primaire ou lorsque l'animal est immunodéprimé.
Le SDRPv est un virus à ARN, appartenant à l'ordre des Nidovirales, famille des Arteriviridae, qui fait actuellement partie du nouveau genre Betaarterivirus (ancien genre Arterivirus). Sa diversité génétique marquée a fait que les deux génotypes du SDRPv (européen et nord-américain) sont actuellement considérés comme deux espèces virales différentes: Betaarterivirus suid 1, correspondant au génotype 1 ou européen (SDRPv-1), dont le prototype est le virus Lelystad (LV ); et Betaarterivirus suid 2, qui correspond au génotype 2 ou nord-américain (SDRPv-2), dont le prototype est la souche VR-2332.
Le SDRPv est capable de moduler et même d'éluder la réponse immunitaire de l'hôte. Ce virus infecte les macrophages alvéolaires, sa principale cellule cible, altérant ses fonctions et provoquant sa mort par nécrose et / ou apoptose, ce qui retarde l'apparition d'une réponse immunitaire adaptative efficace et prédispose l'animal aux infections secondaires.
La forme respiratoire survient principalement chez les porcs en croissance et en engraissement, et les lésions se caractérisent par l'apparition d'une pneumonie interstitielle. Macroscopiquement, les poumons ne s'effondrent pas lorsqu'ils sont retirés de la cavité thoracique, présentant une consistance caoutchouteuse et des taches multifocales avec des zones rougeâtres réparties dans tout le parenchyme pulmonaire (figure 1). Au niveau microscopique, il y a un épaississement des cloisons alvéolaires associé à un infiltrat de lymphocytes et de macrophages, ainsi qu'une hyperplasie et une hypertrophie des pneumocytes de type II (figure 2).


Le PCV2 est un petit virus à ADN simple brin non enveloppé qui appartient au genre Circovirus, au sein de la famille des Circoviridae. C'est l'agent causal d'un certain nombre de maladies connues sous le nom de maladies associées aux circovirus, comprenant la maladie systémique à PCV2 (PCVAD, de l'anglais Porcine Circovirus Associated Disease), classiquement connue sous le nom de Maladie de l'Amaigrissement du Porcelet ou MAP (PMWS, de l'anglais Postweaning Multisystemic Wasting Syndrome), la maladie pulmonaire à PCV2, la maladie digestive à PCV2, l'échec de la reproduction à PCV2 et le syndrome dermatite - néphropathie porcine (PDNS, de l'anglais Porcine Dermatitis and Nephopathy Syndrome).
Le PCV2 se multiplie dans diverses cellules du système immunitaire telles que les macrophages, les cellules dendritiques ou les lymphocytes, provoquant une déplétion lymphoïde et réduisant la capacité de l'hôte à répondre aux agents pathogènes primaires et / ou secondaires.
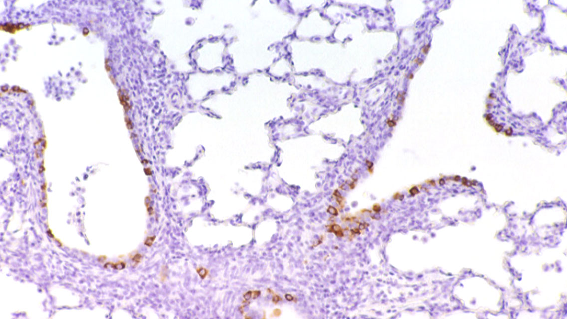
Les lésions pulmonaires causées par le PCV2 sont macro et microscopiquement similaires à celles causées par le SDRPv, car comme celui-ci, il provoque une pneumonie interstitielle et nous devons donc recourir à d'autres techniques de diagnostic telles que l'immunohistochimie (figure 3), l'hybridation in situ ou la PCR afin d'établir le diagnostic. De plus, ce sont deux agents qui sont généralement isolés ensemble car l'infection par le SDRPv est associée à une augmentation de la réplication et de la virulence du PCV2.

Le SIV est un virus polymorphe et enveloppé qui appartient à la famille des Orthomyxoviridae, qui comprend sept genres différents: Influenzavirus A, B, C et D, Isavirus, Quaranjavirus et Thogotovirus. Bien que les genres Influenzavirus A, B, C et D aient été identifiés chez les porcs, la majorité des souches qui causent la grippe ou influenza porcine sont incluses dans les genres Influenzavirus A et C.
Le SIV se réplique dans les cellules épithéliales du système respiratoire (supérieur et inférieur), altérant le fonctionnement de l'appareil mucociliaire, ce qui favorise l'apparition d'infections bactériennes secondaires. La principale lésion qu'elle provoque dans le poumon est une pneumonie broncho-interstitielle, caractérisée macroscopiquement par la présence de lésions cranioventrales ou multifocales diffuses rouge foncé ou marron, d'extension variable, très similaires à celles causées par Mycoplasma hyopneumoniae (figure 4). Au niveau microscopique, il provoque une bronchiolite nécrosante (figure 5) qui s'accompagne de la présence d'infiltrats lymphohistiocytaires péribronchiques et dans les cloisons alvéolaires et d'un exsudat mucopurulent dans les bronchioles.


Le coronavirus respiratoire (PRCV) est une déletion mutante du virus de la gastro-entérite transmissible avec un tropisme spécial pour les voies respiratoires, qui infecte les cellules épithéliales de la cavité nasale, la trachée, les bronches et les bronchioles (figure 6) et les pneumocytes de type I et II. Les lésions pulmonaires sont caractérisées macroscopiquement par la présence de zones de consolidation rouges à brunes avec des bords irréguliers situés principalement dans les lobes moyens et l'accessoire (figure 7). Au niveau microscopique, le schéma lésionnel est similaire à une pneumonie broncho-interstitielle multifocale caractérisée par l'apparition de nécrose des cellules de l'épithélium bronchique et bronchiolaire, une métaplasie squameuse, un infiltrat lymphohistiocytaire péribronchiolaire, périvasculaire et dans les septa qui s'accompagne d'une prolifération de pneumocytes de type II et de la présence de cellules épithéliales nécrotiques et de leucocytes dans la lumière des voies respiratoires et des alvéoles.


Le Complexe Respiratoire Porcin a un caractère multiétiologique, dans lequel le SDRPv, le PCV2 et le SIV jouent un rôle fondamental, car ils entraîneront un retard dans l'établissement de la réponse immunitaire (SDRPv, PCV2) ou une défaillance de la fonctionnalité de l'appareil mucociliaire (SIV).