Introduction
La production porcine en Chine est en train de subir un important processus de modernisation. Dans la mesure où les contrôles environnementaux deviennent plus stricts et la concurrence accrue, de nombreuses petits élevages disparaissent en même temps que les grandes entreprises se développent et construisent des élevages modernes. Cependant, ces nouvelles exploitations sont confrontées à des problèmes de santé majeurs tels que le SDRP, la maladie d'Aujeszky (MA), la diarrhée épidémique porcine (DEP), la peste porcine classique (PPC), Actinobacilus pleuroneumoniae (App), etc. Ces pathogènes n'ont pas encore été éradiqués en Chine.
Contrairement aux anciens élevages, les nouveaux peuvent subir une pression d'infection respiratoire plus faible en hiver parce qu'ils ont de bons systèmes de ventilation. Malgré cela, le cas que nous décrivons ici est un problème d'App dans une nouvel élevage avec une conception de ventilation moderne.
Description de l'élevage
Il s'agit d'un nouvel élevage naisseur-engraisseur avec 1200 truies , situé dans une zone montagneuse à faible densité porcine et avec des mesures de biosécurité strictes afin de le garder indemne de SDRP, DEP, Aujeszky, PPC, App, pneumonie enzootique, etc. L'élevage était en pleine production à partir de septembre 2017, mais le système de gestion du lisier n'était pas complètement terminé.
Début du cas
Le responsable de l'élevage a contacté le vétérinaire parce qu'il y avait des problèmes durant la gestation décrits comme des toux sèches avec difficulté respiratoire et une augmentation soudaine de la mortalité. Au total, 17 truies gestantes sont mortes du 8 au 10 décembre. Les truies touchées ouvraient la bouche pour respirer avant de mourir (vidéo 1). Une nullipare gestante a présenté une hémorragie nasale et une respiration abdominale (vidéo 2). Presque tous les animaux morts présentaient des hémorragies et des écoulements nasaux purulents (figure 1). Neuf des truies mortes appartenaient aux bandes des semaines 35 et 36 qui étaient logées dans la partie centrale du bâtiment (figure 2). Environ 25% des truies gestantes étaient malades, ne mangeaient pas, avaient de la fièvre jusqu'à 40,5ºC et une respiration abdominale.
Vidéo 1: Truie gestante avec difficulté respiratoire, respiration abdominale et bouche ouverte pour faciliter la respiration.
Vidéo 2: Nullipare gestante avec hémorragie nasale et respiration abdominale.

Résultats des autopsies
L'autopsie de 5 des truies gestantes mortes a été réalisée. Les résultats étaient similaires dans tous les cas: lésions sombres consolidées bien délimitées dans les lobes médian, crânien et caudal du poumon. Deux des truies présentaient une pleurésie fibrineuse et une péricardite (Figure 3). Chez chacune d'entre elles, nous avons trouvé des hémorragies pétéchiales dans le cœur (figure 4). Il y avait des traces de mousse sanguinolente dans la bouche et le nez.

Recherche des facteurs de risque
Avant de décider quelles mesures nous allions mettre en place, nous avons analysé les facteurs de risque des maladies respiratoires,
Animaux: Aucune relation n'a été observée avec le type génétique des truies.
Environnement: les truies en cage de mise-bas ne présentaient aucun signe clinique, tous les animaux atteints étaient logés dans le bâtiment de gestation et, par conséquent, il semblait qu'il y avait un lien clair avec l'installation. La qualité de l'air en maternité était bien meilleure que dans la gestation, où il n'y avait pas de chauffage, ce qui générait un niveau de ventilation inférieur en hiver.
Localisation: Les animaux malades sont concentrés dans la partie centrale du bâtiment gestantes où le niveau de lisier était très élevé, proche du caillebotis, et où le niveau d'ammoniac était suffisamment élevé pour irriter les yeux, alors que le niveau de lisier dans les autres zones n'était pas si haut.
Aliment: L'aliment gestantes a été changé de granulés en farine. Les porchers ont déclaré que ce changement avait augmenté le niveau de poussière dans le bâtiment.
Eau: L'origine de l'eau en gestation était la même qu'en maternité et les tuyaux étaient nettoyés régulièrement.
Diagnostic
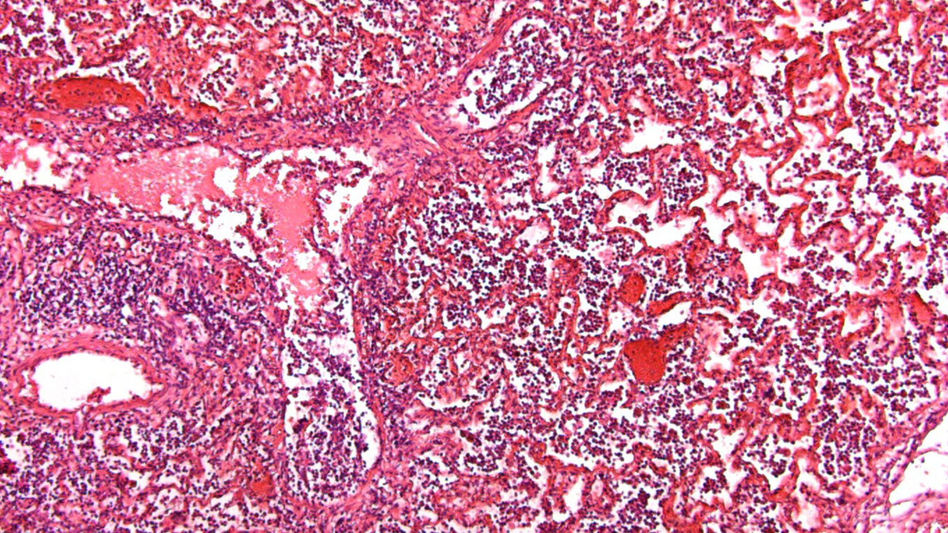
Selon les signes cliniques de fièvre élevée, respiration abdominale, perte d'appétit, présence d'écoulements avec pus / sang dans le nez de toutes les truies mortes et les résultats d'autopsie avec pleurésie et péricardite fibrineuse, le diagnostic préliminaire était App et le traitement a été planifié en conséquence. L'histopathologie du poumon a montré des alvéoles avec accumulation de liquides et cellules inflammatoires, ce qui démontre une pneumonie bactérienne (figure 5). Les résultats bactériologiques de la culture pulmonaire ont confirmé la présence d'App.

Intervention
Traitement antibiotique: Initialement, les porchers ont reçu l'ordre d'injecter du ceftiofur à toutes les truies malades. Puisque la mortalité n'a pas diminué, le vétérinaire a visité l'élevage. Au cours de la visite et après avoir évalué que 25% des truies étaient malades, tous les animaux du bâtiment gestantes ont été immédiatement traités avec du ceftiofur et de la pénicilline les deux jours suivants. Pendant 7 jours, on a administré de l'amoxicilline via l'eau de boisson.
Ventilation: La température du bâtiment a été réduite progressivement de 15ºC à 10ºC pour améliorer la ventilation.
Construction: Le système de gestion du lisier a été terminé bien que sous pression financière et les fosses sous le caillebotis ont été vidées du lisier.
Vaccination: Il a été suggéré l'application masive d'un vaccin contre App pour obtenir un contrôle à long terme. La première dose a été administrée le 17 décembre et le rappel trois semaines plus tard.
Après l'injection massive de ceftiofur pendant la visite du vétérinaire, il n'y a pas eu de nouvelles mortalités de truies à ce jour.
Discussion
Le responsable a contacté le vétérinaire pour la mort subite de 6 truies le 8 Décembre et le plan d'urgence a été mis en place avant de visiter l'élevage, en fonction des signes cliniques qui étaient très évocateurs d'une infection par App. Le plan d'urgence consistait à utiliser le ceftiofur pour traiter tous les animaux atteints et à traiter l'eau avec de l'amoxicilline. Malgré cela, la mortalité des truies est restée incontrôlable et le vétérinaire a visité l'élevage. Et ce fut lors de la visite qu'il se rendit compte que seulement 10 truies environ ont été traitées avec ceftiofur alors que c'était quelques 250 truies gestantes qui étaient malades, 25% de toutes les gestantes.
La raison pour laquelle on n'avait pas traité beaucoup d'animaux malades était non seulement parce que le personnel était inexpérimenté dans l'observation des animaux, mais aussi parce que les employés étaient préoccupés par le coût de ceftiofur, environ 40 RMB par tête ( 6 USD environ).
À mesure que l'industrie porcine chinoise se développe et que de nouveaux élevages sont construites, il y a un grand besoin de formation des travailleurs. En outre, la vision traditionnelle de la gestion sanitaire des exploitations agricoles en Chine consiste à administrer régulièrement de faibles doses d'antibiotiques et à essayer de prévenir les risques et les infections potentielles. Cependant, la résistance aux antibiotiques et les résultats productifs s'aggravent et les coûts des médicaments augmentent.
Comment utiliser les antibiotiques de manière prudente et appropriée dans la production porcine en Chine reste un problème qui doit être résolu.
Conclusions
App n'est pas une nouvelle maladie en Chine et n'est pas le plus pathogène par rapport au SDRP, MA, DEP, PPC, etc. Même ainsi, le grave problème des pertes de production que nous avons vu dans ce cas, et qui aurait pu être évité, démontre le problème fondamental de la formation des nouveaux employés et la nécessité d'établir de bonnes bases pour l'utilisation des médicaments. en Chine.