A Peste Suína Africana (PSA) é uma doença viral grave que afecta suínos de todas as idades. Nos últimos anos, tem devastado a indústria suína em muitos países. Na realidade, a PSA propaga-se de forma bastante lenta e é possível reduzir o seu alcance geográfico através de medidas adequadas. Um diagnóstico definitivo e precoce é um elemento fundamental para evitar a sua propagação. Um diagnóstico de campo inicial de PSA pode ser feito a partir de sinais clínicos e dados da autópsia.
Sinais clínicos:
Na fase inicial da doença, os animais são frequentemente encontrados mortos de forma hiperaguda, com cianose nas patas, orelhas e extremidades. Frequentemente há febre alta (40 - 42°C); vómito; diarreia, que pode ser sanguinolenta ou negra (foto 1, à direita); depressão; abortos (foto 1, esquerda); secreção nasal sanguinolenta (epistaxe) e aumento das perdas por mortalidade.

As estirpes menos virulentas (ou vacinais) causam uma forma atípica leve e crónica da doença, com poucas mortes. As fêmeas geralmente apresentam doença respiratória crónica e infertilidade crónica. O processo mais longo até mostrar evidências de doença, ou a falta de sinais clínicos observados em suínos com vírus vacinal, é frequentemente interpretado na exploração como um longo período de incubação.
Lesões na necropsia

A severidade das lesões entre animais é variável e geralmente sugere-se que sejam necropsiados vários porcos.
A necropsia deve ser realizada com uma preocupação profissional pela biossegurança, mesmo que não apresente riscos específicos numa exploração já infectada e proporciona informação valiosa que não pode ser obtida com aproximações diagnósticas menos agressivas.
Técnicas laboratoriais
PCR: O diagnóstico de PSA geralmente é verificado por um teste de ácido nucleico positivo e descartando outras causas comuns de lesões semelhantes. A mais comum é a PCR para o gene P72. O pulmão (amostra preferida no laboratório), rins, baço, nódulos linfáticos, soro e sangue são excelentes amostras para PCR. Zaragatoas e fluidos orais são extremamente populares, mas a quantidade de vírus é vários logaritmos menor do que o normalmente encontrado no sangue e nos tecidos, de modo que os falsos negativos são bastante comuns. São usados qPCR de fluorescência e PCR convencional , sendo que a PCR convencional oferece uma rota conveniente para o sequenciamento genético.
Quando se usa deliberadamente uma vacina com gene deletado ou a estirpe do vírus da PSA com gene deletado foi acidentalmente introduzida, os testes de ácido nucleico podem falhar em alguns animais porque a quantidade de vírus produzida é muito menor em comparação com o vírus de campo. No entanto, quando estão disponíveis as amostras de tecido ou sangue apropriadas, a análise de ácido nucleico pode ser realizada para detectar genes deletados do vírus da vacina. Se se obtém um resultado positivo para o gene P72, pode realizar-se PCR para a vacina com o gene eliminado em busca da presença de ADN de MGF 360-505 R e CD2v para determinar se o vírus problema é o de campo ou o da vacina com o gene deleteado.
Loop-mediated isothermal amplification (LAMP): oferece uma alternativa de ácido nucleico rápida, barata, flexível e muito sensível que requere pouco equipamento especializado e parece adequada para análises massivos como a monitorização / detecção no matadouro.
Serologia: pode ser usada para determinar se os animais estiveram expostos ao vírus da PSA quando o tempo desde a infecção até teste tenha sido tão longo como para ter passado o periodo de virémia e de presença de virus nos tecidos, ou se não há boas amostras de necrópsia.
Há diversos kits ELISA disponíveis para procurar a presença de anticorpos contra P72, P 30 e outros antigéneos da PSA. Estes testes são muito usados para identificar e, em geral, eliminar grupos de porcas que tenham sido vacinadas deliberadamente ou que tenham sido expostas acidentalmente ao vírus da vacina ilegal.
Há um teste rápido de captura de antigénios através de ELISA, mas tem muito pouca sensibilidade, pelo que o seu uso se limita geralmente a casos nos quais se deseja um falso negativo rápido.
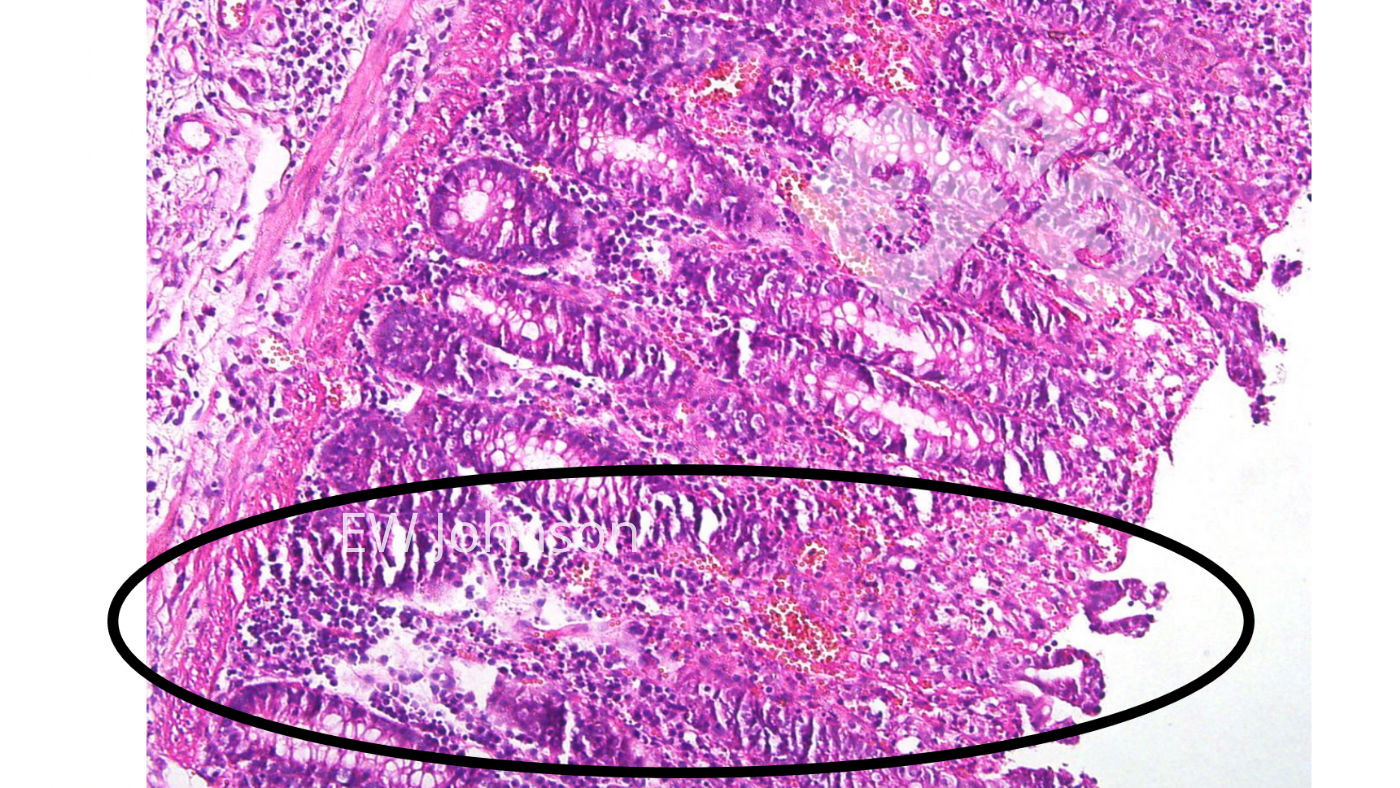
No exame histopatológico é observada uma vasculite generalizada com infarto, hemorragia e trombose em diversos orgãos, particularmente no pulmão, baço, nódulos linfáticos, rins, cérebro e intestino. Há uma destruição linfóide massiva nos nódulos linfáticos e baço e vacuolização dos macrófagos alveolares. É frequente a necrose e a ulceração do epitélio do cólon (foto 4).
O uso da histopatologia para verificar as lesões crónicas típicas da vacina com genes deleteados pode ser muito útil. Os porcos que receberam essas vacinas de PSA frequentemente apresentam lesões vasculares fibrosantes e cicatriciais crónicas activas, incluindo trombos e infartos no intestino, fígado, tecidos linfóides, coração e rins. Os nódulos linfáticos podem apresentar áreas hemorrágicas, com necrose e destruição de linfócitos e áreas com fibrose e cicatrização. Os reprodutores vacinados podem apresentar grandes áreas de necrose e fibrose pulmonar que muitas vezes são confundidas com App crónica. O vírus da vacina pode não matar o porco, mas o porco muitas vezes é incapaz de libertar o vírus da vacina.
Há que recordar que a PCR é uma grande ferramenta, no entanto não é infalível e, na situação actual das explorações, não é 100% precisa. Isto não quer dizer que não seja uma técnica na qual confiar, ao contrário, mas ainda assim os resultados da PCR são os resultados de um teste diagnóstico, não um diagnóstico. A pessoa encarregada de fazer o diagnóstico deve investigar, deve usar todas as ferramentas que estão à sua disposição. Quando há suspeita de PSA, devem ser tomadas medidas de biossegurança, ainda mais do que o habitual. Mas existem várias doenças semelhantes à PSA e além de ter um teste contra PSA, é necessário um diagnóstico da real causa do problema, o que pode exigir mais intervenção e observação do que extrair um nódulo linfático inguinal ou exteriorizar o baço através de uma pequena incisão.