Introdução
A produção suína na China está a ter um enorme processo de modernização. Na medida em que os controlos ambientais se tornam mais apertados e há mais concorrência, muitas pequenas explorações desaparecem, ao mesmo tempo que as grandes empresas se expandem e constroem explorações modernas. Contudo, estas novas explorações enfrentam problemas sanitários importantes como o PRRS, a Doença de Aujeszky (DA), a Diarreia Epidémica Suína (DES), a Peste Suína Clássica (PSC), Actinobacilus pleuroneumoniae (App), etc. Estes patogénicos ainda não foram erradicados na China.
Diferentemente das explorações antigas, as novas podem ter menor pressão de infecção de doenças respiratórias no Inverno já que têm bons sistemas de ventilação. Apesar disso, o caso que aqui relatamos é um problema de App numa exploração nova com um desenho de ventilação moderno.
Descrição da exploração
Trata-se de uma exploração nova de ciclo fechado com 1200 porcas, localizada numa zona montanhosa com baixa densidade suína e com restritas medidas de biossegurança com o objectivo de a manter livre de PRRS, DEP, Aujeszky, PSC, App, Pneumonia Enzoótica, etc. A exploração encontrava-se em plena produção desde Setembro de 2017, contudo o sistema de gestão do efluente não estava totalmente terminado.
Início do caso
O encarregado da exploração contactou com o veterinário devido a problemas na gestação, que foram descritos como tosse seca com dificuldade respiratória e um aumento repentino da mortalidade. Entre 8 e 10 de Dezembro morreram 17 porcas gestantes. As porcas afectadas abriam a boca para respirar antes de morrer (vídeo 1). Uma nulípara gestante apresentou hemorragia nasal e respiração abdominal (vídeo 2). Quase todos os animies mortos tinham hemorragias e descargas nasais purulentas (figura 1). Nove das porcas mortas pertenciam às bandas da semana 35 e 36 que se alojavam na parte central do pavilhão (figura 2). Aproximadamente 25% das porcas gestantes estava doente, não comiam, apresentavam febre até 40,5ºC e respiração abdominal.
Vídeo 1: Porca gestante com dificuldade respiratória, com respiração abdominal e a boca aberta para facilitar a respiração.
Vídeo 2: Nulípara gestante com hemorragia nasal e respiração abdominal.

Descobertas nas necrópsias
Realizou-se a necrópsia de 5 das porcas gestantes mortas. Os resultados foram similares em todos os casos: lesões consolidadas escuras bem delimitadas nos lóbulos médio, superior e inferior do pulmão. Duas das porcas apresentaram pleurite fibrinosa e pericardite (figura 3). Em todas elas encontrámos hemorragias petequiais no coração (figura 4). Havia restos e espuma sanguinolenta na boca e focinho.

Investigação dos factores de risco
Antes de decidir que medidas seriam levadas a cabo, analisámos os factores de risco das doenças respiratórias,
Animais: Não se viu qualquer relação com o tipo genético das porcas.
Ambiente: As porcas na maternidade não apresentavam sinais clínicos, todos os animais afectados estavam alojados no pavilhão de gestação pelo que parecia haver uma clara relação com as instalações. A qualidade do ar nas maternidades era muito melhor que na gestação, onde não havia aquecimento, o que gerava um menor nível de ventilação no Inverno.
Localização: Os animais doentes concentravam-se na parte central do pavilhão de gestação onde o nível de efluente era muito elevado junto as grelhas e o nível de amoníaco era suficientemente elevado para irritar os olhos, enquanto que o nível do efluente nas outras zonas não era tão elevado.
Ração: Tinha-se mudado a ração de gestação de granulada para farinha. Os trabalhadores disseram que esta mudança tinha aumentado o nível de pó dentro do pavilhão.
Água: A origem da água na gestação era a mesma que na maternidade e a canalização era limpa de forma rotineira.
Diagnóstico
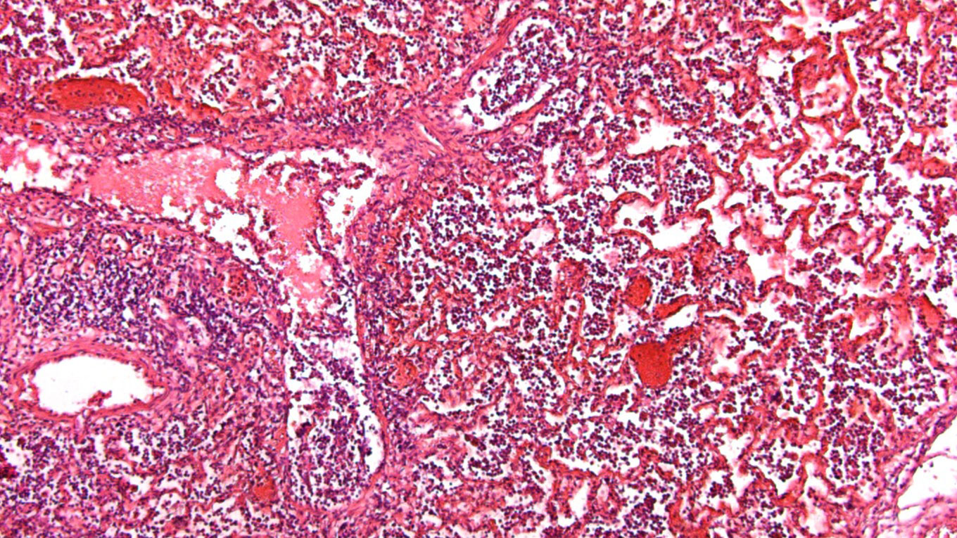
De acordo com os sinais clínicos de febre alta, respiração abdominal, perda de apetite, presença de descargas com pus/sangue no nariz de todas as porcas mortas e nas pleurites e pericardites fibrinosas que se descobriram nas necrópsias, o diagnóstico preliminar foi App e o tratamento foi planeado em consequência deste diagnóstico. A histopatologia do pulmão mostrou alvéolos com acumulação de líquido e células inflamatórias, o que demonstra uma pneumonia bacteriana (figura 5). Os resultados bacteriológicos do cultivo do pulmão confirmaram a presença de App.

Intervenção
Tratamento antibiótico: Inicialmente indicou-se, aos trabalhadores da exploração, que injectassem ceftiofur em todas as porcas doentes. Dado que as mortes não diminuíam, o veterinário visitou a exploração. Durante a visita e após avaliar que 25% das porcas estavam doentes, foram tratados imediatamente todos os animais do pavilhão de gestação com ceftiofur e penicilina nos dois dias seguintes. Durante 7 dias foi administrada amoxicilina via água.
Ventilação: A temperatura do pavilhão reduziu-se de 15ºC para 10ºC gradualmente para melhorar a ventilação.
Construção: O sistema de gestão de efluente foi acabado, ainda que com pressão financeira e as valas do pavilhão foram vazadas de efluente.
Vacinação: Sugeriu-se a aplicação de uma vacina contra a App a todo o efectivo ao mesmo tempo para conseguir um controlo a longo prazo. A primeira dose foi administrada a 17 de Dezembro e a de rappel 3 semanas depois.
Após a injecção em massa com ceftiofur durante a visita do veterinário não houve mais mortes de porcas até hoje.
Discussão
O encarregado contactou o veterinário devido à morte súbita de 6 porcas a 8 de Dezembro e o plano de emergência realizou-se antes deste visitar a exploração, tendo por base os sinais clínicos que eram bastante sugestivos de uma infecção por App. O plano de emergência consistia no uso de ceftiofur para tratar todos os animais afectados e medicar a água com amoxicilina. Apesar disso, a mortalidade das porcas continuava fora de controlo, pelo que o veterinário visitou a exploração. E foi durante a visita quando se deu conta de que só 10 porcas tinham sido tratadas com ceftiofur apesar de serem umas 250 gestantes as que estavam doentes, 25% do total das gestantes.
A razão pela qual não se tinham tratado muitos dos animais doentes não era só pela pouca experiência do pessoal na observação dos animais mas também porque os empregados estavam preocupados com o custo do ceftiofur, cerca de 40 RMB por cabeça (6 USD aprox.)
Na medida em que a suinicultura chinesa vai crescendo e se constroem mais explorações novas, há uma grande necessidade de formação dos trabalhadores. Além disso, a regra geral do maneio sanitário das explorações na China é dar doses baixas de antibióticos de forma rotineira e tentar prevenir os riscos e as infecções potenciais. Contudo, a resistência aos antibióticos e os resultados produtivos são piores e os custos dos medicamentos aumentam.
Como usar os antibióticos de forma prudente e apropriada na suinicultura chinesa é ainda um problema que há que abordar.
Conclusões
A App não é uma doença nova na China nem é a mais patogénica em comparação com o PRRS, a DA, a DES, a PSC, etc. Ainda assim, o grave problema de perdas de produção que vimos neste caso, e que se poderia ter evitado, demonstra o problema de fundo da formação dos novos empregados e a necessidade de estabelecer boas bases para o uso da medicação na China.