Istnieją trzy podstawowe grupy rotawirusów, które powodują biegunkę u świń i obejmują one rotawirus A, rotawirus B i rotawirus C. Każda grupa wirusów różni się od siebie i wymaga konkretnych testów zaprojektowanych pod ich kątem. Biegunka świń często obejmuje infekcje wieloma grupami rotawirusów jednocześnie.
Dostępne testy
Zmiany makroskopowe
- Ocenia obecność ścieńczenia ściany jelita cienkiego, co może sugerować obecność choroby.
- Lokalizacja zmian: jelito czcze i kręte
- Zalety:
- Tani i szybki wynik
- Dotyczy wszystkich trzech grup rotawirusów
- Wady:
- Nie jest diagnostyczny - podobne zmiany można znaleźć w przypadku innych chorób, zwłaszcza zakażeń koronawirusem (zakaźne zapalenie żołądka i jelit, epidemiczna biegunka świń i koronawirus delta świń).
- Potrzeba świeżych tkanek (<15 min), ponieważ rozkład radykalnie zmienia wygląd jelita cienkiego.
- Brak możliwości rozróżnienia między różnymi grupami rotawirusów
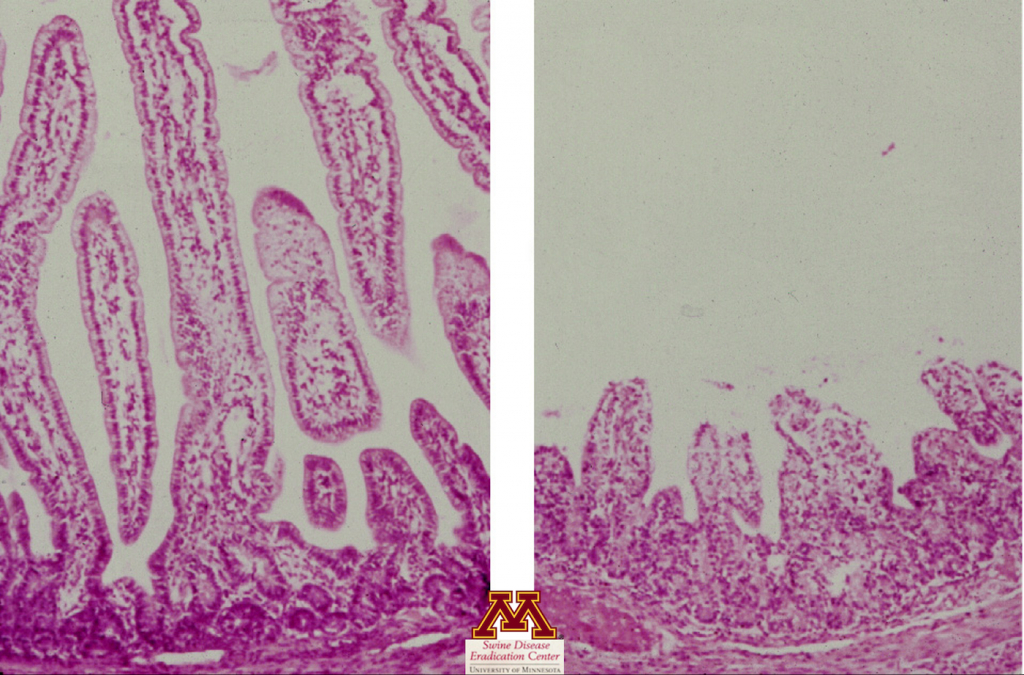
Histopatologia
- Ocenia obecność zmian w tkankach (zanik kosmków jelita cienkiego), które mogą sugerować obecność choroby.
- Rodzaje próbek: tkanka jelita czczego i krętego
- Zalety:
- Potwierdzenie zaniku kosmków jelitowych sugerującego wirusowe zapalenie jelit
- Wady:
- Konieczność utrwalenia tkanek jelit w formalinie w ciągu <15 minut od śmierci świni - Tkanka jelit szybko się rozkłada
Immunohistochemia (IHC)
- Wykrywa obecność antygenu wirusowego
Rodzaje próbek: tkanka jelita czczego i krętego
- Zalety:
- Ostateczna diagnoza: może potwierdzić obecność wirusa z powiązanymi zmianami
- Wady:
- Obecnie dostępne tylko dla rotawirusa A i rotawirusa C (niedostępne dla rotawirusa B).
Reakcja łańcuchowa polimerazy (PCR)
- Wykrywa obecność określonej sekwencji wirusowego kwasu nukleinowego (RNA)
- Rodzaje próbek: tkanki jelita czczego i krętego, wymazy z kału, kał
- Zalety:
- Multiplex PCR może wykrywać różne grupy rotawirusów, w tym rotawirusa A, rotawirusa B i rotawirusa C.
- Wysoka czułość
- Ilościowe oznaczanie PCR
- Umiarkowany koszt
- Często można łączyć próbki kału lub tkanek, aby obniżyć koszty, jednocześnie minimalizując utratę czułości (szczególnie w odniesieniu do znaczenia klinicznego).
- Wady:
- Wysoka czułość - może potwierdzić obecność wirusa, ale nie choroby (wysoka częstość występowania wirusa w środowisku)
Izolacja wirusa
- Izolowanie wirusa zdolnego do replikacji
- Rodzaje próbek: tkanki jelita czczego i krętego, wymazy z kału, kał
- Zalety:
- Izolacja wirusa do wykorzystania w opracowywaniu szczepionek (szczepionki autogenne)
- Wady:
- Drogie
- Długie oczekiwanie na wyniki
- Obecnie dostępne tylko dla rotawirusa A i niedostępne dla rotawirusa B lub rotawirusa C
- Często trudne do wyhodowania (wiele wyników fałszywie ujemnych)
- Pobieranie próbek z terenu do laboratorium może mieć wpływ na przeżywalność wirusa
Test immunoenzymatyczny (ELISA)
- Wykrywa obecność przeciwciał
- Typ próbki: surowica
- Zalety:
- Zwierzęta pozostają dodatnie przez kilka tygodni
Potrafi wskazać ujemne stada
- Wady:
- Wysoka częstość występowania wirusa w środowisku powoduje powszechne narażenie wielu/większości świń.
- Potrzeba testu specyficznego dla każdej grupy rotawirusów
- Brak ochrony krzyżowej między różnymi grupami rotawirusów
Tabela 1. Podsumowanie stosowanych testów w odniesieniu do różnych grup rotawirusów.
| |
Rotawirus A |
Rotawirus B |
Rotawirus C |
Potrafi różnicować grupy? |
| Zmiany makroskopowe |
Tak |
Tak |
Tak |
Nie |
| Histopatologia |
Tak |
Tak |
Tak |
Nie |
| Immunohistochemia (IHC) |
Tak |
No |
Tak |
Tak |
| Reakcja łańcuchowa polimerazy (PCR) |
Tak |
Tak |
Tak |
Tak |
| Izolacja wirusa |
Tak |
Nie |
Nie |
Nie |
| Test immunoenzymatyczny (ELISA) |
Tak |
Nie |
Nie |
Nie |
Interpretacja wyników
Zmiany makroskopowe
- Występują: Wstępne potwierdzenie obecności ścieńczenia jelit
- Brak: Wczesne lub łagodne przypadki mogą nie objawiać się rozległymi zmianami jelitowymi
Histopatologia
- Dodatni: Potwierdzenie choroby, ale nie jej przyczyny
- Ujemny: Wynik ujemny lub zmiany mogły zostać przeoczone w przypadku badania niewłaściwej próbki lub zbyt późno po zakażeniu.
IHC
- Dodatni: Wirus jest obecny w miejscu zmiany
- Ujemny: Wynik ujemny lub wirus mógł zostać przeoczony, jeśli test został przeprowadzony zbyt późno po zakażeniu lub stężenie wirusa jest zbyt niskie ( obecny tylko przez bardzo krótki okres czasu). Nie wykrywa rotawirusa B.
PCR
- Dodatni: Potwierdzenie obecności różnych grup rotawirusów (A, B i C)
- Ujemny: Wynik ujemny, wirus mógł zostać przeoczony, jeśli test został przeprowadzony zbyt późno po zakażeniu lub w przypadku niewłaściwego doboru lub postępowania z próbką.
Izolacja wirusa
- Dodatni: Potwierdzenie obecności wirusa, ale nie choroby
- Ujemny: Ujemny, wirus mógł zostać przeoczony, jeśli badanie nastąpiło zbyt późno po zakażeniu lub po prostu nie był w stanie się namnożyć z powodu innego zanieczyszczenia lub niewłaściwego obchodzenia się z próbką (obecny, ale może być trudny do wyhodowania). Nie wykrywa rotawirusa B ani rotawirusa C.
ELISA
- Dodatni: Wcześniejsza ekspozycja (> 2-4 tygodni) na szczepionkę lub wirus typu dzikiego. Brak związku między dodatnim wynikiem a chorobą.
- Ujemny:
- Ujemny wynik szczepionki lub wirusa typu dzikiego
- Infekcja zbyt wczesna do wykrycia
Możliwe scenariusze
Prosięta noworodki z biegunką (ostrą lub przewlekłą)
- Pobrać próbki kału od 10 lub więcej nieleczonych świń i poddać je testom PCR na obecność rotawirusa A, rotawirusa B i rotawirusa C w pulach po 5 sztuk.
- Sekcja zwłok 1-3 niedawno padłych lub poddanych eutanazji świń. Gruntowna ocena jelita czczego i krętego pod kątem ścieńczenia ściany jelita oraz pobranie próbek i umieszczenie ich w roztworze formaliny do badania histopatologicznego i oceny IHC.
Niedawno odsadzone prosięta z biegunką (ostrą lub przewlekłą)
- Pobrać próbki kału od 10 lub więcej nieleczonych świń i poddać je testom PCR na obecność rotawirusa A, rotawirusa B i rotawirusa C w pulach po 5 sztuk.
- Sekcja zwłok 1-3 niedawno padłych lub poddanych eutanazji świń. Gruntowna ocena jelita czczego i krętego pod kątem ścieńczenia ściany jelita oraz pobranie próbek i umieszczenie ich w roztworze formaliny do badania histopatologicznego i oceny IHC.